Literature for DOID 768: retinoblastoma
(

Denotes literature images)
|
Kinetic properties of nuclear transport conferred by the retinoblastoma (Rb) NLS.,
Hu W,Kemp BE,Jans DA,
J Cell Biochem. July 1, 2005; 95(4):0730-2312.
|
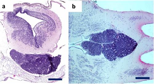
CRISPR/Cas9 mediated knockout of rb1 and rbl1 leads to rapid and penetrant retinoblastoma development in Xenopus tropicalis.,
Naert T,Colpaert R,Van Nieuwenhuysen T,Dimitrakopoulou D,Leoen J,Haustraete J,Boel A,Steyaert W,Lepez T,Deforce D,Willaert A,Creytens D,Vleminckx K,
Sci Rep. October 14, 2016; 6:2045-2322.
|
TALENs and CRISPR/Cas9 fuel genetically engineered clinically relevant Xenopus tropicalis tumor models.,
Naert T,Van Nieuwenhuysen T,Vleminckx K,
Genesis. January 1, 2017; 55(1-2):1526-968X.
|
|
CRISPR/Cas9 disease models in zebrafish and Xenopus: The genetic renaissance of fish and frogs.,
Naert T,Vleminckx K,
Drug Discov Today Technol. August 1, 2018; 28:1740-6749.
|
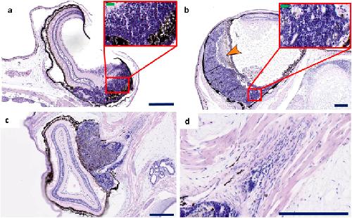
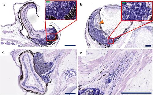
RBL1 (p107) functions as tumor suppressor in glioblastoma and small-cell pancreatic neuroendocrine carcinoma in Xenopus tropicalis.,
Naert T,Dimitrakopoulou D,Tulkens D,Demuynck S,Carron M,Noelanders R,Eeckhout L,Van Isterdael G,Deforce D,Vanhove C,Van Dorpe J,Creytens D,Vleminckx K,
Oncogene. March 1, 2020; 39(13):0950-9232.
|