|
Literature for DOID 2531: hematologic cancer
Xenbase Articles
(
|
RBL1 (p107) functions as tumor suppressor in glioblastoma and small-cell pancreatic neuroendocrine carcinoma in Xenopus tropicalis.,
Naert T,Dimitrakopoulou D,Tulkens D,Demuynck S,Carron M,Noelanders R,Eeckhout L,Van Isterdael G,Deforce D,Vanhove C,Van Dorpe J,Creytens D,Vleminckx K,
Oncogene. March 1, 2020; 39(13):0950-9232.
|
|
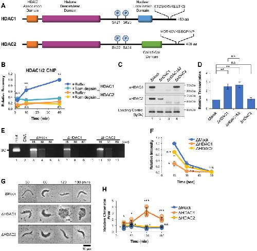
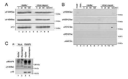
Transcription suppression is mediated by the HDAC1-Sin3 complex in Xenopus nucleoplasmic extract.,
Quaas CE,Lin B,Long DT,
J Biol Chem. November 1, 2022; 298(11):1083-351X.
|
