|
Literature for DOID 1826: epilepsy
Xenbase Articles
(
|
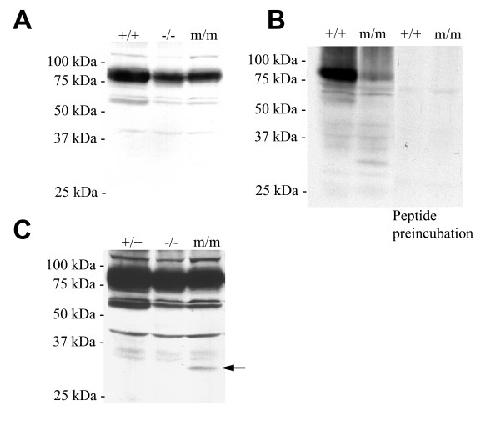
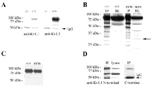
A truncated Kv1.1 protein in the brain of the megencephaly mouse: expression and interaction.,
Persson AS,Klement G,Almgren M,Sahlholm K,Nilsson J,Petersson S,Arhem P,Schalling M,Lavebratt C,
BMC Neurosci. November 23, 2005; 6:1471-2202.
|
| Functional polymorphisms in the human beta4 subunit of nicotinic acetylcholine receptors., Liang Y,Salas R,Marubio L,Bercovich D,De Biasi M,Beaudet AL,Dani JA, Neurogenetics. February 1, 2005; 6(1):1364-6745. |
|
Molecular motions of the outer ring of charge of the sodium channel: do they couple to slow inactivation?,
Xiong W,Li RA,Tian Y,Tomaselli GF,
J Gen Physiol. September 1, 2003; 122(3):1540-7748.
|
|
Truncation of the GABA(A)-receptor gamma2 subunit in a family with generalized epilepsy with febrile seizures plus.,
Harkin LA,Bowser DN,Dibbens LM,Singh R,Phillips F,Wallace RH,Richards MC,Williams DA,Mulley JC,Berkovic SF,Scheffer IE,Petrou S,
Am J Hum Genet. February 1, 2002; 70(2):1537-6605.
|
| [Cellular mechanism of seizure discharge and its normalization by a herbal mixture prescription "saikokeishito-ka-shakuyaku" (SK)]., Sugaya A, Yakugaku Zasshi. May 1, 2001; 121(5):1347-5231. |
| Molecular cloning and chromosomal localization of the key subunit of the human N-methyl-D-aspartate receptor., Karp SJ,Masu M,Eki T,Ozawa K,Nakanishi S, J Biol Chem. February 15, 1993; 268(5):1083-351X. |
| A functional null mutation of SCN1B in a patient with Dravet syndrome., Patino GA,Claes LR,Lopez-Santiago LF,Slat EA,Dondeti RS,Chen C,O'Malley HA,Gray CB,Miyazaki H,Nukina N,Oyama F,De Jonghe P,Isom LL, J Neurosci. August 26, 2009; 29(34):1529-2401. |
| An epilepsy/dyskinesia-associated mutation enhances BK channel activation by potentiating Ca2+ sensing., Yang J,Krishnamoorthy G,Saxena A,Zhang G,Shi J,Yang H,Delaloye K,Sept D,Cui J, Neuron. June 24, 2010; 66(6):0896-6273. |
| A neuroprotective role for polyamines in a Xenopus tadpole model of epilepsy., Bell MR,Belarde JA,Johnson HF,Aizenman CD, Nat Neurosci. April 1, 2011; 14(4):1546-1726. |
|
KCNJ10 mutations display differential sensitivity to heteromerisation with KCNJ16.,
Parrock S,Hussain S,Issler N,Differ AM,Lench N,Guarino S,Oosterveld MJ,Keijzer-Veen M,Brilstra E,van Wieringen H,Konijnenberg AY,Amin-Rasip S,Dumitriu S,Klootwijk E,Knoers N,Bockenhauer D,Kleta R,Zdebik AA,
Nephron Physiol. January 1, 2013; 123(3-4):1660-2137.
|
|
Mutations in the voltage-gated potassium channel gene KCNH1 cause Temple-Baraitser syndrome and epilepsy.,
Simons C,Rash LD,Crawford J,Ma L,Cristofori-Armstrong B,Miller D,Ru K,Baillie GJ,Alanay Y,Jacquinet A,Debray FG,Verloes A,Shen J,Yesil G,Guler S,Yuksel A,Cleary JG,Grimmond SM,McGaughran J,King GF,Gabbett MT,Taft RJ,
Nat Genet. January 1, 2015; 47(1):1546-1718.
|
|
Nav1.1 modulation by a novel triazole compound attenuates epileptic seizures in rodents.,
Gilchrist J,Dutton S,Diaz-Bustamante M,McPherson A,Olivares N,Kalia J,Escayg A,Bosmans F,
ACS Chem Biol. May 16, 2014; 9(5):1554-8937.
|
|
Genetically induced dysfunctions of Kir2.1 channels: implications for short QT3 syndrome and autism-epilepsy phenotype.,
Ambrosini E,Sicca F,Brignone MS,D'Adamo MC,Napolitano C,Servettini I,Moro F,Ruan Y,Guglielmi L,Pieroni S,Servillo G,Lanciotti A,Valvo G,Catacuzzeno L,Franciolini F,Molinari P,Marchese M,Grottesi A,Guerrini R,Santorelli FM,Priori S,Pessia M,
Hum Mol Genet. September 15, 2014; 23(18):1460-2083.
|
| Polyunsaturated fatty acids are potent openers of human M-channels expressed in Xenopus laevis oocytes., Liin SI,Karlsson U,Bentzen BH,Schmitt N,Elinder F, Acta Physiol (Oxf). September 1, 2016; 218(1):1748-1716. |
| The search for NKCC1-selective drugs for the treatment of epilepsy: Structure-function relationship of bumetanide and various bumetanide derivatives in inhibiting the human cation-chloride cotransporter NKCC1A., Lykke K,Töllner K,Feit PW,Erker T,MacAulay N,Löscher W, Epilepsy Behav. June 1, 2016; 59:1525-5069. |
|
Gain-of-function defects of astrocytic Kir4.1 channels in children with autism spectrum disorders and epilepsy.,
Sicca F,Ambrosini E,Marchese M,Sforna L,Servettini I,Valvo G,Brignone MS,Lanciotti A,Moro F,Grottesi A,Catacuzzeno L,Baldini S,Hasan S,D'Adamo MC,Franciolini F,Molinari P,Santorelli FM,Pessia M,
Sci Rep. September 28, 2016; 6:2045-2322.
|
| Mutations in GABRB3: From febrile seizures to epileptic encephalopathies., Møller RS,Wuttke TV,Helbig I,Marini C,Johannesen KM,Brilstra EH,Vaher U,Borggraefe I,Talvik I,Talvik T,Kluger G,Francois LL,Lesca G,de Bellescize J,Blichfeldt S,Chatron N,Holert N,Jacobs J,Swinkels M,Betzler C,Syrbe S,Nikanorova M,Myers CT,Larsen LH,Vejzovic S,Pendziwiat M,von Spiczak S,Hopkins S,Dubbs H,Mang Y,Mukhin K,Holthausen H,van Gassen KL,Dahl HA,Tommerup N,Mefford HC,Rubboli G,Guerrini R,Lemke JR,Lerche H,Muhle H,Maljevic S, Neurology. January 31, 2017; 88(5):1526-632X. |
| Antidepressant, anticonvulsant and antinociceptive effects of 3'-methoxy-6-methylflavone and 3'-hydroxy-6-methylflavone may involve GABAergic mechanisms., Karim N,Khan I,Ahmad N,Umar MN,Gavande N, Pharmacol Rep. October 1, 2017; 69(5):1734-1140. |
| Rare GABRA3 variants are associated with epileptic seizures, encephalopathy and dysmorphic features., Niturad CE,Lev D,Kalscheuer VM,Charzewska A,Schubert J,Lerman-Sagie T,Kroes HY,Oegema R,Traverso M,Specchio N,Lassota M,Chelly J,Bennett-Back O,Carmi N,Koffler-Brill T,Iacomino M,Trivisano M,Capovilla G,Striano P,Nawara M,Rzonca S,Fischer U,Bienek M,Jensen C,Hu H,Thiele H,Altmüller J,Krause R,May P,Becker F,Balling R,Biskup S,Haas SA,Nürnberg P,van Gassen KLI,Lerche H,Zara F,Maljevic S,Leshinsky-Silver E, Brain. November 1, 2017; 140(11):1460-2156. |
| Clinical spectrum and genotype-phenotype associations of KCNA2-related encephalopathies., Masnada S,Hedrich UBS,Gardella E,Schubert J,Kaiwar C,Klee EW,Lanpher BC,Gavrilova RH,Synofzik M,Bast T,Gorman K,King MD,Allen NM,Conroy J,Ben Zeev B,Tzadok M,Korff C,Dubois F,Ramsey K,Narayanan V,Serratosa JM,Giraldez BG,Helbig I,Marsh E,O'Brien M,Bergqvist CA,Binelli A,Porter B,Zaeyen E,Horovitz DD,Wolff M,Marjanovic D,Caglayan HS,Arslan M,Pena SDJ,Sisodiya SM,Balestrini S,Syrbe S,Veggiotti P,Lemke JR,Møller RS,Lerche H,Rubboli G, Brain. September 1, 2017; 140(9):1460-2156. |
| A De Novo Mutation in the Sodium-Activated Potassium Channel KCNT2 Alters Ion Selectivity and Causes Epileptic Encephalopathy., Gururaj S,Palmer EE,Sheehan GD,Kandula T,Macintosh R,Ying K,Morris P,Tao J,Dias KR,Zhu Y,Dinger ME,Cowley MJ,Kirk EP,Roscioli T,Sachdev R,Duffey ME,Bye A,Bhattacharjee A, Cell Rep. October 24, 2017; 21(4):2211-1247. |
| Gain-of-function HCN2 variants in genetic epilepsy., Li M,Maljevic S,Phillips AM,Petrovski S,Hildebrand MS,Burgess R,Mount T,Zara F,Striano P,Schubert J,Thiele H,Nürnberg P,Wong M,Weisenberg JL,Thio LL,Lerche H,Scheffer IE,Berkovic SF,Petrou S,Reid CA, Hum Mutat. February 1, 2018; 39(2):1098-1004. |
|
Clinical and molecular characterization of KCNT1-related severe early-onset epilepsy.,
McTague A,Nair U,Malhotra S,Meyer E,Trump N,Gazina EV,Papandreou A,Ngoh A,Ackermann S,Ambegaonkar G,Appleton R,Desurkar A,Eltze C,Kneen R,Kumar AV,Lascelles K,Montgomery T,Ramesh V,Samanta R,Scott RH,Tan J,Whitehouse W,Poduri A,Scheffer IE,Chong WKK,Cross JH,Topf M,Petrou S,Kurian MA,
Neurology. January 2, 2018; 90(1):1526-632X.
|
|
Functional variants in HCN4 and CACNA1H may contribute to genetic generalized epilepsy.,
Becker F,Reid CA,Hallmann K,Tae HS,Phillips AM,Teodorescu G,Weber YG,Kleefuss-Lie A,Elger C,Perez-Reyes E,Petrou S,Kunz WS,Lerche H,Maljevic S,
Epilepsia Open. August 5, 2017; 2(3):2470-9239.
|
| The Effects of 4-Hydroxybenzoic Acid Identified from Bamboo (Dendrocalamus asper) Shoots on Kv1.4 Channel., Zhang J,Mohamad FH,Wong JH,Mohamad H,Ismail AH,Mohamed Yusoff AA,Osman H,Wong KT,Idris Z,Abdullah JM, Malays J Med Sci. February 1, 2018; 25(1):1394-195X. |
| Rare coding variants in genes encoding GABAA receptors in genetic generalised epilepsies: an exome-based case-control study., May P,Girard S,Harrer M,Bobbili DR,Schubert J,Wolking S,Becker F,Lachance-Touchette P,Meloche C,Gravel M,Niturad CE,Knaus J,De Kovel C,Toliat M,Polvi A,Iacomino M,Guerrero-López R,Baulac S,Marini C,Thiele H,Altmüller J,Jabbari K,Ruppert AK,Jurkowski W,Lal D,Rusconi R,Cestèle S,Terragni B,Coombs ID,Reid CA,Striano P,Caglayan H,Siren A,Everett K,Møller RS,Hjalgrim H,Muhle H,Helbig I,Kunz WS,Weber YG,Weckhuysen S,Jonghe P,Sisodiya SM,Nabbout R,Franceschetti S,Coppola A,Vari MS,Kasteleijn-Nolst Trenité D,Baykan B,Ozbek U,Bebek N,Klein KM,Rosenow F,Nguyen DK,Dubeau F,Carmant L,Lortie A,Desbiens R,Clément JF,Cieuta-Walti C,Sills GJ,Auce P,Francis B,Johnson MR,Marson AG,Berghuis B,Sander JW,Avbersek A,McCormack M,Cavalleri GL,Delanty N,Depondt C,Krenn M,Zimprich F,Peter S,Nikanorova M,Kraaij R,van Rooij J,Balling R,Ikram MA,Uitterlinden AG,Avanzini G,Schorge S,Petrou S,Mantegazza M,Sander T,LeGuern E,Serratosa JM,Koeleman BPC,Palotie A,Lehesjoki AE,Nothnagel M,Nürnberg P,Maljevic S,Zara F,Cossette P,Krause R,Lerche H, Lancet Neurol. August 1, 2018; 17(8):1474-4465. |
| Lack of response to quinidine in KCNT1-related neonatal epilepsy., Numis AL,Nair U,Datta AN,Sands TT,Oldham MS,Patel A,Li M,Gazina E,Petrou S,Cilio MR, Epilepsia. October 1, 2018; 59(10):1528-1167. |
| S4-S5 linker movement during activation and inactivation in voltage-gated K+ channels., Kalstrup T,Blunck R, Proc Natl Acad Sci U S A. July 17, 2018; 115(29):1091-6490. |
| A novel GABAergic dysfunction in human Dravet syndrome., Ruffolo G,Cifelli P,Roseti C,Thom M,van Vliet EA,Limatola C,Aronica E,Palma E, Epilepsia. November 1, 2018; 59(11):1528-1167. |
|
The VAMP-associated protein VAPB is required for cardiac and neuronal pacemaker channel function.,
Silbernagel N,Walecki M,Schäfer MK,Kessler M,Zobeiri M,Rinné S,Kiper AK,Komadowski MA,Vowinkel KS,Wemhöner K,Fortmüller L,Schewe M,Dolga AM,Scekic-Zahirovic J,Matschke LA,Culmsee C,Baukrowitz T,Monassier L,Ullrich ND,Dupuis L,Just S,Budde T,Fabritz L,Decher N,
FASEB J. November 1, 2018; 32(11):1530-6860.
|
|
Atom-by-atom tuning of the electrostatic potassium-channel modulator dehydroabietic acid.,
Silverå Ejneby M,Wu X,Ottosson NE,Münger EP,Lundström I,Konradsson P,Elinder F,
J Gen Physiol. May 7, 2018; 150(5):1540-7748.
|
|
Coadministered cannabidiol and clobazam: Preclinical evidence for both pharmacodynamic and pharmacokinetic interactions.,
Anderson LL,Absalom NL,Abelev SV,Low IK,Doohan PT,Martin LJ,Chebib M,McGregor IS,Arnold JC,
Epilepsia. November 1, 2019; 60(11):1528-1167.
|
|
Epilepsy-associated mutations in the voltage sensor of KCNQ3 affect voltage dependence of channel opening.,
Barro-Soria R,
J Gen Physiol. February 4, 2019; 151(2):1540-7748.
|
|
KCNC1-related disorders: new de novo variants expand the phenotypic spectrum.,
Park J,Koko M,Hedrich UBS,Hermann A,Cremer K,Haberlandt E,Grimmel M,Alhaddad B,Beck-Woedl S,Harrer M,Karall D,Kingelhoefer L,Tzschach A,Matthies LC,Strom TM,Ringelstein EB,Sturm M,Engels H,Wolff M,Lerche H,Haack TB,
Ann Clin Transl Neurol. July 1, 2019; 6(7):2328-9503.
|
| In vitro and in vivo characterization of Lu AA41178: A novel, brain penetrant, pan-selective Kv7 potassium channel opener with efficacy in preclinical models of epileptic seizures and psychiatric disorders., Grupe M,Bentzen BH,Benned-Jensen T,Nielsen V,Frederiksen K,Jensen HS,Jacobsen AM,Skibsbye L,Sams AG,Grunnet M,Rottländer M,Bastlund JF, Eur J Pharmacol. November 15, 2020; 887:1879-0712. |
| Isoform-Selective KCNA1 Potassium Channel Openers Built from Glycine., Manville RW,Abbott GW, J Pharmacol Exp Ther. June 1, 2020; 373(3):1521-0103. |
| The anticonvulsant zonisamide positively modulates recombinant and native glycine receptors at clinically relevant concentrations., Devenish SO,Winters BL,Anderson LL,Arnold JC,McGregor IS,Vaughan CW,Chebib M,Absalom NL, Neuropharmacology. January 1, 2021; 182:1873-7064. |
|
A System for Assessing Dual Action Modulators of Glycine Transporters and Glycine Receptors.,
Sheipouri D,Gallagher CI,Shimmon S,Rawling T,Vandenberg RJ,
Biomolecules. November 30, 2020; 10(12):2218-273X.
|
|
Characterization of the GABRB2-Associated Neurodevelopmental Disorders.,
El Achkar CM,Harrer M,Smith L,Kelly M,Iqbal S,Maljevic S,Niturad CE,Vissers LELM,Poduri A,Yang E,Lal D,Lerche H,Møller RS,Olson HE,
Ann Neurol. March 1, 2021; 89(3):1531-8249.
|
|
Familial neonatal seizures caused by the Kv7.3 selectivity filter mutation T313I.,
Maghera J,Li J,Lamothe SM,Braun M,Appendino JP,Au PYB,Kurata HT,
Epilepsia Open. December 1, 2020; 5(4):2470-9239.
|
| Differential Coassembly of α1-GABAARs Associated with Epileptic Encephalopathy., Hannan S,Affandi AHB,Minere M,Jones C,Goh P,Warnes G,Popp B,Trollmann R,Nizetic D,Smart TG, J Neurosci. July 15, 2020; 40(29):1529-2401. |
|
Sleep-related hypermotor epilepsy associated mutations uncover important kinetic roles of α4β2- nicotinic acetylcholine receptor intracellular structures.,
Weltzin MM,George AA,Lukas RJ,Whiteaker P,
PLoS One. March 3, 2021; 16(3):1932-6203.
|
| Cation leak underlies neuronal excitability in an HCN1 developmental and epileptic encephalopathy., Bleakley LE,McKenzie CE,Soh MS,Forster IC,Pinares-Garcia P,Sedo A,Kathirvel A,Churilov L,Jancovski N,Maljevic S,Berkovic SF,Scheffer IE,Petrou S,Santoro B,Reid CA, Brain. August 17, 2021; 144(7):1460-2156. |
|
Dissecting the Molecular Determinants of GABAA Receptors Current Rundown, a Hallmark of Refractory Human Epilepsy.,
Cifelli P,Di Angelantonio S,Alfano V,Morano A,De Felice E,Aronica E,Ruffolo G,Palma E,
Brain Sci. March 30, 2021; 11(4):2076-3425.
|
|
WIN55,212-2, a Dual Modulator of Cannabinoid Receptors and G Protein-Coupled Inward Rectifier Potassium Channels.,
An D,Peigneur S,Tytgat J,
Biomedicines. April 28, 2021; 9(5):2227-9059.
|
|
Loss-of-function variants in Kv 11.1 cardiac channels as a biomarker for SUDEP.,
Soh MS,Bagnall RD,Bennett MF,Bleakley LE,Mohamed Syazwan ES,Phillips AM,Chiam MDF,McKenzie CE,Hildebrand M,Crompton D,Bahlo M,Semsarian C,Scheffer IE,Berkovic SF,Reid CA,
Ann Clin Transl Neurol. July 1, 2021; 8(7):2328-9503.
|
|
Recurrent seizure-related GRIN1 variant: Molecular mechanism and targeted therapy.,
Xu Y,Xu Y,Song R,Chen W,Strong K,Shrey D,Gedela S,Traynelis SF,Zhang G,Yuan H,
Ann Clin Transl Neurol. July 1, 2021; 8(7):2328-9503.
|
|
A role for zinc transporter gene SLC39A12 in the nervous system and beyond.,
Davis DN,Strong MD,Chambers E,Hart MD,Bettaieb A,Clarke SL,Smith BJ,Stoecker BJ,Lucas EA,Lin D,Chowanadisai W,
Gene. October 5, 2021; 799:1879-0038.
|
|
The Role of RNA-Binding Proteins in Vertebrate Neural Crest and Craniofacial Development.,
Forman TE,Dennison BJC,Fantauzzo KA,
J Dev Biol. August 27, 2021; 9(3):2221-3759.
|
|
Structural comparison of GLUT1 to GLUT3 reveal transport regulation mechanism in sugar porter family.,
Custódio TF,Paulsen PA,Frain KM,Pedersen BP,
Life Sci Alliance. February 3, 2021; 4(4):2575-1077.
|
|
Kv3.1 channelopathy: a novel loss-of-function variant and the mechanistic basis of its clinical phenotypes.,
Li X,Zheng Y,Li S,Nair U,Sun C,Zhao C,Lu J,Zhang VW,Maljevic S,Petrou S,Lin J,
Ann Transl Med. September 1, 2021; 9(18):2305-5839.
|
|
Ion permeation controlled by hydrophobic residues and proton binding in the proton-activated chloride channel.,
Cai R,Tang J,Chen XZ,
iScience. November 1, 2021; 24(12):2589-0042.
|
| Pharmacological characterization of a novel negative allosteric modulator of NMDA receptors, UBP792., Sapkota K,Burnell ES,Irvine MW,Fang G,Gawande DY,Dravid SM,Jane DE,Monaghan DT, Neuropharmacology. December 15, 2021; 201:1873-7064. |
|
Distinctive mechanisms of epilepsy-causing mutants discovered by measuring S4 movement in KCNQ2 channels.,
Edmond MA,Hinojo-Perez A,Wu X,Perez Rodriguez ME,Barro-Soria R,
Elife. June 1, 2022; 11:2050-084X.
|
|
Identification and functional evaluation of GRIA1 missense and truncation variants in individuals with ID: An emerging neurodevelopmental syndrome.,
Ismail V,Zachariassen LG,Godwin A,Sahakian M,Ellard S,Stals KL,Baple E,Brown KT,Foulds N,Wheway G,Parker MO,Lyngby SM,Pedersen MG,Desir J,Bayat A,Musgaard M,Guille M,Kristensen AS,Baralle D,
Am J Hum Genet. June 7, 2022; 109(7):1537-6605.
|
|
Aquatic Freshwater Vertebrate Models of Epilepsy Pathology: Past Discoveries and Future Directions for Therapeutic Discovery.,
Williams RE,Mruk K,
Int J Mol Sci. August 3, 2022; 23(15):1422-0067.
|
|
De novo KCNA6 variants with attenuated KV 1.6 channel deactivation in patients with epilepsy.,
Salpietro V,Galassi Deforie V,Efthymiou S,O'Connor E,Marcé-Grau A,Maroofian R,Striano P,Zara F,Morrow MM,Reich A,Blevins A,Sala-Coromina J,Accogli A,Fortuna S,Alesandrini M,Au PYB,Singhal NS,Cogne B,Isidor B,Hanna MG,Macaya A,Kullmann DM,Houlden H,Männikkö R,
Epilepsia. February 1, 2023; 64(2):1528-1167.
|
|
Inactivation influences the extent of inhibition of voltage-gated Ca+2 channels by Gem-implications for channelopathies.,
Allam S,Levenson-Palmer R,Chia Chang Z,Kaur S,Cernuda B,Raman A,Booth A,Dobbins S,Suppa G,Yang J,Buraei Z,
Front Physiol. January 1, 2023; 14:1664-042X.
|
|
Advancements in the use of xenopus oocytes for modelling neurological disease for novel drug discovery.,
O'Connor EC,Kambara K,Bertrand D,
Expert Opin Drug Discov. February 1, 2024; 19(2):1746-045X.
|
|
Characterization of Na+ currents regulating intrinsic excitability of optic tectal neurons.,
Thompson AC,Aizenman CD,
Life Sci Alliance. January 1, 2024; 7(1):2575-1077.
|
| Biallelic CRELD1 variants cause a multisystem syndrome, including neurodevelopmental phenotypes, cardiac dysrhythmias, and frequent infections., Jeffries L,Mis EK,McWalter K,Donkervoort S,Brodsky NN,Carpier JM,Ji W,Ionita C,Roy B,Morrow JS,Darbinyan A,Iyer K,Aul RB,Banka S,Chao KR,Cobbold L,Cohen S,Custodio HM,Drummond-Borg M,Elmslie F,Finanger E,Hainline BE,Helbig I,Hewson S,Hu Y,Jackson A,Josifova D,Konstantino M,Leach ME,Mak B,McCormick D,McGee E,Nelson S,Nguyen J,Nugent K,Ortega L,Goodkin HP,Roeder E,Roy S,Sapp K,Saade D,Sisodiya SM,Stals K,Towner S,Wilson W,Khokha MK,Bönnemann CG,Lucas CL,Lakhani SA, Genet Med. February 7, 2023; 26(2):1530-0366. |
|
Enhanced Membrane Incorporation of H289Y Mutant GluK1 Receptors from the Audiogenic Seizure-Prone GASH/Sal Model: Functional and Morphological Impacts on Xenopus Oocytes.,
Díaz-Rodríguez SM,Ivorra I,Espinosa J,Vegar C,Herrero-Turrión MJ,López DE,Gómez-Nieto R,Alberola-Die A,
Int J Mol Sci. November 28, 2023; 24(23):1422-0067.
|
|
Selective block of human Kv1.1 channels and an epilepsy-associated gain-of-function mutation by AETX-K peptide.,
Zhao R,Qasim A,Sophanpanichkul P,Dai H,Nayak M,Sher I,Chill J,Goldstein SAN,
FASEB J. January 1, 2024; 38(1):1530-6860.
|
| A novel SMARCC1 BAFopathy implicates neural progenitor epigenetic dysregulation in human hydrocephalus., Singh AK,Allington G,Viviano S,McGee S,Kiziltug E,Ma S,Zhao S,Mekbib KY,Shohfi JP,Duy PQ,DeSpenza T,Furey CG,Reeves BC,Smith H,Sousa AMM,Cherskov A,Allocco A,Nelson-Williams C,Haider S,Rizvi SRA,Alper SL,Sestan N,Shimelis H,Walsh LK,Lifton RP,Moreno-De-Luca A,Jin SC,Kruszka P,Deniz E,Kahle KT, Brain. April 4, 2024; 147(4):1460-2156. |
|
Mono-allelic KCNB2 variants lead to a neurodevelopmental syndrome caused by altered channel inactivation.,
Bhat S,Rousseau J,Michaud C,Lourenço CM,Stoler JM,Louie RJ,Clarkson LK,Lichty A,Koboldt DC,Reshmi SC,Sisodiya SM,Hoytema van Konijnenburg EMM,Koop K,van Hasselt PM,Démurger F,Dubourg C,Sullivan BR,Hughes SS,Thiffault I,Tremblay ES,Accogli A,Srour M,Blunck R,Campeau PM,
Am J Hum Genet. March 4, 2024; 111(4):1537-6605.
|
|
Popeye domain containing proteins modulate the voltage-gated cardiac sodium channel Nav1.5.,
Rinné S,Kiper AK,Jacob R,Ortiz-Bonnin B,Schindler RFR,Fischer S,Komadowski M,De Martino E,Schäfer MK,Cornelius T,Fabritz L,Helker CSM,Brand T,Decher N,
iScience. May 17, 2024; 27(5):2589-0042.
|
|
Knockdown of NeuroD2 leads to seizure-like behavior, brain neuronal hyperactivity and a leaky blood-brain barrier in a Xenopus laevis tadpole model of DEE75.,
Banerjee S,Szyszka P,Beck CW,
Genetics. July 8, 2024; 227(3):1943-2631.
|
|
Modelling human genetic disorders in Xenopus tropicalis.,
Willsey HR,Seaby EG,Godwin A,Ennis S,Guille M,Grainger RM,
Dis Model Mech. May 1, 2024; 17(5):1754-8411.
|
|
Cannabichromene from full-spectrum hemp extract exerts acute anti-seizure effects through allosteric activation of GABAA receptors.,
Wang Z,Zheng H,Yang H,Song H,Lian J,Peng C,Wang H,Zhang H,Zheng Y,Wang Q,Lan L,Duan G,Ma L,Peng X,Huang Z,
Fundam Res. November 20, 2024; 4(6):2667-3258.
|
| Golden Gate cloning enables efficient concatemer construction for biophysical analysis of heterozygous potassium channel variants from patients with epilepsy., Gigolaev AM,Iureva DA,Lagosha SV,Brazhe AR,Zhorov BS,Vassilevski AA, Int J Biol Macromol. May 5, 2025; 307(Pt 3):0141-8130. |
| The genetic and phenotypic spectrum of GABRB1-related disorders., Millevert C,Kan ASH,Hanke M,Koko M,Omidvar ME,Hedrich UBS,Wuttke TV,Barišić N,Lagae L,Aledo-Serrano Á,Niehoff EM,Platzer K,Zacher P,Polster T,Dilena R,Monfrini E,Geneviève D,Roubertie A,Bruel AL,Tran Mau-Them F,Dasouki M,Cohen S,Helbig I,Harrison AG,Colin E,Dubbs HA,Marsh ED,Lebon S,He N,Meng H,Chebib M,Møller RS,Marini C,Ahring PK,Lerche H,Weckhuysen S, Brain. June 5, 2025; :1460-2156. |
