|
Literature for DOID 12336: male infertility
Xenbase Articles
(
| Effect of atrazine on metamorphosis and sexual differentiation in Xenopus laevis., Oka T,Tooi O,Mitsui N,Miyahara M,Ohnishi Y,Takase M,Kashiwagi A,Shinkai T,Santo N,Iguchi T, Aquat Toxicol. May 30, 2008; 87(4):1879-1514. |
|
Does atrazine influence larval development and sexual differentiation in Xenopus laevis?,
Kloas W,Lutz I,Springer T,Krueger H,Wolf J,Holden L,Hosmer A,
Toxicol Sci. February 1, 2009; 107(2):1096-0929.
|
|
CFAP43 modulates ciliary beating in mouse and Xenopus.,
Rachev E,Schuster-Gossler K,Fuhl F,Ott T,Tveriakhina L,Beckers A,Hegermann J,Boldt K,Mai M,Kremmer E,Ueffing M,Blum M,Gossler A,
Dev Biol. March 15, 2020; 459(2):1095-564X.
|
|
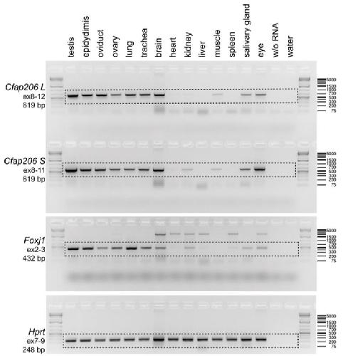
The FOXJ1 target Cfap206 is required for sperm motility, mucociliary clearance of the airways and brain development.,
Beckers A,Adis C,Schuster-Gossler K,Tveriakhina L,Ott T,Fuhl F,Hegermann J,Boldt K,Serth K,Rachev E,Alten L,Kremmer E,Ueffing M,Blum M,Gossler A,
Development. June 15, 2020; 147(21):1477-9129.
|
