|
Literature for DOID 0090007: immunodeficiency-centromeric instability-facial anomalies syndrome
Xenbase Articles
(
|
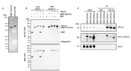
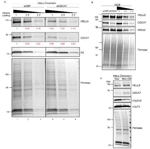
HELLS and CDCA7 comprise a bipartite nucleosome remodeling complex defective in ICF syndrome.,
Jenness C,Giunta S,Müller MM,Kimura H,Muir TW,Funabiki H,
Proc Natl Acad Sci U S A. January 30, 2018; 115(5):1091-6490.
|
