|
Fig. 1: Synteny analysis and molecular phylogenetics identify hair keratin homologs in amphibians.
a, b Schematic representation of the keratin type I (a) and type II (b) gene clusters of selected vertebrates: human, Homo sapiens; frog, Xenopus tropicalis; axolotl, Ambystoma mexicanum; caecilian, Rhinatrema bivittatum; lungfish, Protopterus annectens. Genes are shown as triangles pointing in the direction of transcription. Homologs of hair keratin genes are highlighted by blue shading. Note that KRT18 is the only type I keratin gene located in the type II cluster. Slanted double lines indicate sites where genes are omitted for clarity. c, d Phylogenetic analysis of type I (c) and type II (d) keratins. Keratin orthologs in amphibians and human or lungfish with bootstrap values>50 (indicated in c, d) are shown with matching colors in panels (a) and (c) (type I) and (b) and (d) (type II). Nodes without numbers have bootstrap values<50. Note the strong support (bootstrap >90) for orthology of amphibian krt34 (c) and krt59 (d) with human hair keratins (highlighted in blue) of the respective keratin type. Only fully sequenced keratin genes were included in this analysis. e Model for the evolution of hair keratin homologs in relation to the evolution of amphibians54. mya, million years ago; +, present; -, absent.
|
|
a Schematic depiction of a clawed frog (X. tropicalis) bearing cornified claws on the hindlimb inner (HI) toes (toes I, II, III) and no claws on the hindlimb outer (HO) toes (toes IV, V) and on toes of the forelimbs. b Schematic of a frog clawed toe tip. The term claw refers to the cornified claw that is formed by the differentiation of the epithelium on the tip of the toe. ce Quantitative RT-PCR analysis of mRNA expression of krt34 (c), krt59 (d), krt53 (e) relative to the housekeeping gene, eef1a1. Mass-spectrometric quantification of Krt34 (f), Krt59 (g) and Krt53 (h). a.u., arbitrary units. RNA and protein were sampled at an age of 7 months. Statistics was calculated by one-way ANOVA for n=4 (ce) and three (fh) biological replicates, respectively, in each of 3 groups. Bars and error bars indicate means and standard deviations, respectively.
|
|
Fig. 3: Co-expression with krt34 in clawed toes and promoter assays suggest Hoxc13 as regulator of hair keratin expression.
a-f mRNA in situ hybridization using hoxc13 (a), krt34 (b), and krt59 (c) antisense (as) probes on sections of HI toes of X. tropicalis sampled at an age of 4 months (3 replicates each). Hybridizations with sense (s) probes (df) served as negative controls. Artefacts such as the detachment of the cornified claw during tissue sectioning (*) are indicated. cl, claw; ep, epidermis. Scale bars: 100m. g Consensus Hoxc13 binding sites in the proximal promoters of human and frog hair keratin homologs. The distance to the TATA box (number of nucleotides) is indicated on the right. The consensus sequence of Hoxc13 binding sites in human hair keratin promoters19 is shown below the sequence alignment. h, i Luciferase activity of cells co-transfected with a Hoxc13 expression vector and a luciferase reporter under the control of the krt34 (h) or krt59 (i) promoter (prom) containing wildtype (wt) or mutated (mut) Hoxc13 binding sites. Statistics was calculated by one-way ANOVA for n=4 biological replicates in each of 4 groups. Bars and error bars indicate means and standard deviations, respectively. RLU relative light units.
|
|
Fig. 4: hoxc13 knockout frogs lack claws and do not express hair keratins homologs.
a Schematic depiction of hoxc13 knockout (KO) in X. tropicalis frogs. The number of animals bearing claws is shown on the right. Macroscopic appearance of a wildtype (WT) (b) and a KO (c) frog. Arrows point to claws. dg Hindlimb phenotypes (d, e) and histology (f, g) of hindlimb inner (HI) toes of WT (d, f) and KO (e, g) frogs. Images in b-g are representative for at least 3 biological replicates. cl claw, ep epidermis. Scale bars: 2mm (d, e), 200m (f, g). Quantitative RT-PCR analysis of krt34 (h) and krt59 (i) in HI toes of WT and KO. Statistics was calculated by unpaired two-tailed t-test. n=4 biological replicates for WT and KO. Age of the frogs: 7 months. a.u., arbitrary units. Bars and error bars indicate means and standard deviations, respectively.
|
|
Fig. 5: Hoxc13 and hair keratin homologs are expressed at the toe tips of the axolotl.
a Macroscopic view of an albino axolotl. b View of the pigmented toe tips. Sections of toe tips were stained with hematoxylin and eosin (c) or were left unstained (d). e RT-PCR analysis of hoxc13, hair keratin homologs (krt34 and krt59), epithelial keratins (krt-T1-3 and krt78L2) and the housekeeping gene eef1a1 in toes and belly skin. f In situ hybridization of krt34 mRNA using an anti-sense (as) probe. g Negative control experiment using a krt34 sense (s) probe. Images are representative for n=3 adult individuals of albino axolotl. Artefacts such as the detachment of tissue during tissue sectioning (*) are indicated. cl cornified layer, ep epidermis. Dashed lines indicate the junction of epidermis and dermis. Scale bars: 5mm (b), 100m (c, d, f, g).
|
|
Fig. 6: Model for the evolutionary origin of Hoxc13 and hair keratin-dependent cornified skin appendages.
The evolutionary changes in the expression pattern of Hoxc13 and the appearance of the regulatory link between Hoxc13 and hair keratins were inferred from data obtained in extant vertebrates and their known phylogeny. Hair keratins refers to human keratins KRT31-KRT40 and KRT81-KRT86 and their orthologs in other species. Red and blue shading mark sites of expression of Hoxc13 and hair keratin homologs, respectively.
|
|
Supplementary Figure 1. In situ hybridization of hoxc13 and krt34 mRNA in clawed toes
of Xenopus tropicalis. a, c mRNA in situ hybridization (ISH) using antisense probes for hoxc13
(a) and krt34 (b) on sections of hind limb inner (HI) toes of X. tropicalis. Hybridizations with
sense probes for hoxc13 (c) and krt34 (d) served as negative controls (neg. con.). The plane of
the sections was oblique in b and d. Dashed lines mark the junction of epidermis and dermis.
The cornified claws were less well-preserved on these sections than on sections of the
experiment shown in Fig. 3. An asterisk marks the detachment of the cornified claw during
tissue sectioning. Age of the frogs: 4 months (a, c), 7 months (b, d). cl = claw, ep = epidermis.
Scale bars: 200 m.
|
|
Supplementary Figure 2. hoxc13 mutations and the potential impact on the Hoxc13
protein. a Nucleotide sequences of wildtype and mutant Xenopus tropicalis hoxc13 in the
region targeted by the guide RNA. The wildtype sequence corresponds to the complementary
sequence of nucleotides 146200798-146200842, GenBank accession number NC_030678.2).
Deletions (represented by dashes) and insertions are shown with red fonts. The amino acid
sequence encoded by each nucleotide sequence are also shown. b Impact of the mutations on
the structure of Hoxc13. The amino acid sequences of wildtype (wt) and mutant (Mut) Hoxc13
proteins are aligned. Amino acid sequences encoded downstream of out-of-frame mutations are
shown in red. Dashes were introduced in the wt and mutant sequences to improve the alignment.
Asterisks denote premature ends of the protein. The positions of protein domains are indicated
above the alignment.
|
|
Supplementary Figure 3. Mutations of hoxc13 in a mosaic mutant frog lacking claws on
the toes of one hindlimb. a Phenotype of the mosaic mutant frog frog in the F0 generation.
Black arrows indicate hindlimb inner (HI) toes with claws. Red arrows indicate hindlimb inner
(HI) toes without claws. b Sequence of hoxc13 alleles in the gene region also shown in
Supplementary figure 2. The sequences were determined by Sanger sequencing of PCR
products. Note that HI toes lacking claws (left hindlimb) have out-of-frame mutations in both
alleles, and HI toes bearing claws (right hindlimb) have one allele with an out-of-frame
mutation and one allele with a point mutation that leads to amino acid substitution R80M, but
allows the synthesis of full length Hoxc13 protein. L, left; R, right.
|
|
Supplementary Figure 4. Keratin gene expression in hoxc13 wildtype (WT) and knockout
(KO) hindlimb inner (HI) toes. Keratin mRNA levels were determined by RNA-seq analysis
of RNA extracted from HI toes (n=3 biological replicates per group). The samples were
obtained from two wildtype frogs, two hoxc13 KO frogs and separately from the genetically
distinct hindlimbs of a mosaic mutant frog (Supplementary Figure 3). The Wald test, followed
by the Benjamini Hochberg correction for multiple testing, was used for statistical analysis.
Bars show the Log2 ratios of expression levels in KO versus WT samples. Adjusted P values
are indicated when the expression levels in KO and WT were significantly different. n.s., not
significant.
|
|
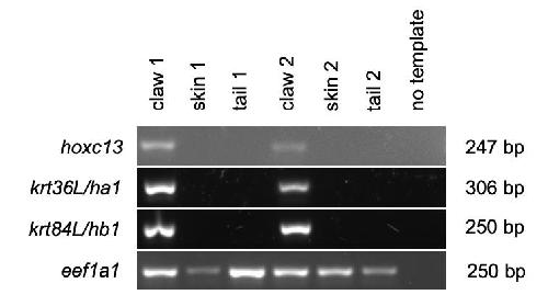
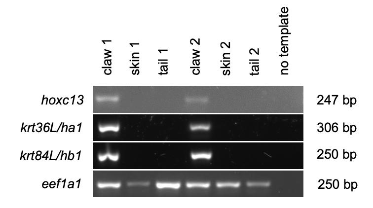
Supplementary Figure 5. Hair keratin homologs are co-expressed with hoxc13 in the claws
of the green anole lizard (Anolis carolinensis). The expression of hoxc13 and hair keratin
homologs krt36L/ha1 (type I keratin) and krt84L/hb1 (type II keratin) (Eckhart et al. 2008) was
determined by RT-PCR. Claw samples contain the tissue underneath the cornified claws. Skin
from the belly and tail of adult lizards was investigated for comparison. The housekeeping gene
eef1a1 was used as control. Tissues from two anole lizards were investigated. Lengths of PCR
products are shown on the right. bp, base pairs.
|
|
Supplementary Figure 6. Sequences of wildtype and mutated keratin promoters for
promoter activation assays. Sequences of the proximal promoters (marked by blue fonts) of
krt34, corresponding to GenBank accession number NC_030686.2, nucleotides 7761154-
7761404 (a, b), and krt59, corresponding to GenBank accession number NC_030678.2,
nucleotides 148109284-148109578 (c, d), of X. tropicalis were synthesized as parts of Gblocks
(Integrated DNA Technologies, IDT). The promoter sequences are flanked by sequences
required for cloning into the pGL4.10[luc2] plasmid (Promega). wt = wild type, mut = mutated.
Predicted Hoxc13 binding sites are marked by bold fonts with core motifs being underlined (a,
c). Mutations of core motifs are marked by italics (b, d). TATA boxes are marked by double
underlines.
|
|
hoxc13 (homeobox C13) gene expression in X. tropicalis juvenile frog, assayed via in situ hybridization, on sections of hindlimb inner clawed toes. Key: cl, claw; ep, epidermis. Scale bar: 100um
|
|
krt34 (keratin 34) gene expression in X. tropicalis juvenile frog, assayed via in situ hybridization, on sections of hindlimb inner clawed toes. Key: cl, claw; ep, epidermis. Scale bar: 100um
|
|
krt59 (keratin 59) gene expression in X. tropicalis juvenile frog, assayed via in situ hybridization, on sections of hindlimb inner clawed toes. Key: cl, claw; ep, epidermis. Scale bar: 100um
|