|
Graphical abstract
|
|
Figure 1. Workflow for time-resolved proteome analysis of otic morphogenesis
Xenopus larvae and tadpoles from stages 3447 were selected for otic proteome analysis. These stages were chosen because they include the simplest structure displaying onset of tubular duct growth (st 34), the initial polarization and compartmentalization of the OV into distinct functional regions and the appearance of otoliths (st 40), the onset of semicircular canal formation (st 42/43), the onset of sensory hair cell formation (st 45) and the completion of semicircular canal formation, sensory patch formation and hair cell differentiation (st 47). Insets show stage associated optical coherence tomography-based images of the otic vesicle. Otolith (o), pouch and protrusions for the horizontal canal (h), anterior canal (a), sacculus (s). Bar indicates 100 m. Otic vesicles were dissected and processed using a bottom-up proteomic workflow. Peptides were tagged with isobaric mass tags to quantify relative changes in protein abundances during the course of otic morphogenesis. Tagged peptides were fractionated offline using RP spin columns at a high pH and then analyzed by LC-HRMS. Quantification of select proteins was verified using targeted (PRM) HRMS.
|
|
Figure 2. Characterization of the global proteome
(A) Approximately 6,000 proteins were identified from otic tissues across all analyzed developmental stages and the five biological replicates. Proteins correlated with publicly available proteomic and transcriptomic datasets from inner ear tissues. A number of proteins previously reported in inner ear tissues (red) and hair cells (blue) were included in our dataset. Additional proteins correlated with deafness genes reported on OMIM (green).
(B) Over-representation analysis (PantherDB) for biological processes demonstrating a fold enrichment >5 indicated an enrichment of processes such as mRNA processing and splicing in the otic proteome.
(C) Over-representation analysis (PantherDB) for pathways demonstrated an enrichment in pathways such as Integrin, Wnt, and FGF signaling.
|
|
Figure 3. Temporal proteome dynamics during otic development
(A) Hierarchical clustering analysis supplemented by k-means clustering, cluster numbers indicated in adjoining black bars. Overrepresented GO categories for dynamic clusters for protein class (blue) and pathway (yellow) are shown.
(B) Relative quantification of yolk protein fragments Vtga2 and Vtgb1 over developmental stages when maternal yolk proteins are metabolized. , p < 0.05 (ANOVA). See also Table S1.
|
|
Figure 4. Integrin and ECM protein interaction networks
STRING analysis and pathway enrichment analysis using the Xenopus interaction database show enrichment of processes related to ECM organization (yellow), anatomical structure development (pink), and sensory organ development (green). Interactions among proteins are reported with medium to highest confidence represented by thickness of lines.
|
|
Figure 5. Dynamically expressed proteins overlap with putative downstream targets of CHL genes
(AE) (A) Venn diagrams show overlap between dynamically expressed proteins (DEPs) and BOR (Six1), CHARGE (Chd7) and Waardenburg (Sox10) associated genes (BE) Dynamically regulated ECM (B), cytoskeletal (C), calcium binding (D), and glucose metabolism (E) proteins that are putative downstream targets of CHL genes. Filled pink boxes are based on human data whereas the hatched pink boxes are based on mouse knockout data. Yellow boxes indicate genes in these categories found in the datasets analyzed in A. See also Table S2.
|
|
Figure 6. Characterization of Tgfbi expression
(A) Tgfbi is a putative downstream target of Six1. RNA-seq of E10.5 mouse OVs from Six1+/+ and Six1/ embryos was done to evaluate gene expression changes in the absence of Six1. Expression of Tgfbi significantly decreased in Six1-null OVs compared to wild type (WT) OVs of littermates (, p < 0.05).
(B) Expression pattern of Tgfbi as assessed by in situ hybridization at stage 32 (lateral view). Bar indicates 200 m. Inset shows Tgfbi expression in otic vesicle. Bar indicates 100 m.
(C) Xenopus laevis Tgfbi contains one EMI domain, four FAS1 domains and the RGD motif. (source Uniprot). Domain visualization generated using DOG (version 2).48 Numbers indicate amino acid residues.
(D) Label based (TMT) abundance for Tgfbi, Gapdh, and Pa2g4 between stage 34 and 47 otic vesicles (paired Students t test for unequal variance, , p < 0.05).
(E) Summed and normalized peak intensities for Tgfbi, Gapdh, and Pa2g4 between stage 34 and 47 otic vesicles (paired Students t test for unequal variance, , p < 0.05). n.s., not significant.
|
|
Figure 7. Loss-of-function experiments for tgfbi in the context of otic development
(A) Xenopus 16-cell blastomeres that are fated to primarily contribute to neural crest (NC) and pre-placodal ectoderm (PPE) are labeled in green, and were microinjected with antisense morpholino oligonucleotides (MO) with or without mRNA encoding human TGFBI to which the MOs do not bind. Left (L) and right (R) sides of embryo. Uninjected half of the embryo was used as control for phenotype assessment. In the right panel, sequences of the two alleles of Xenopus laevis tgfbi on the long (.L) and short (.S) chromosomes and human TGFBI are aligned. Red and blue regions indicate sites for MO binding, blue arrow marks the translation start site (ATG). hTGFBI 5 sequence cannot bind the MOs and therefore could be used to rescue the effects of the MOs.
(B and C) Targeted MS analysis shows Tgfbi protein is not detected in OVs dissected from the MO injected sides of stage 34 larvae. Abundance of the reference protein Gapdh does not change significantly following Tgfbi KD (paired Students t test, p > 0.05) (C) MO injected embryos cultured to stage 32 and processed by ISH for dlx5 and pax2. While OV gene expression was normal on the control side (black arrow), it was greatly reduced on the MO-injected side (red arrow) of same larva in a large percentage of the cases (n = 63 larvae for dlx5, n = 39 larvae for pax2). Embryos injected with Tgfbi MOs plus the MO-insensitive human TGFBI mRNA showed a significantly reduced percentage of reduced dlx5 expression (p < 0.05, Chi-Squared test), demonstrating rescue of the morphant phenotype. MO: morpholino injection; MO Rescue: MOs + hTGFBI mRNA injection. Bar indicates 200 m.
(D) Larvae were vibratome sectioned to measure OV and luminal volumes. In the image shown, dlx5 expression was reduced in the OV on the MO injected side (red arrow) compared to the control side (black arrow). hb, hindbrain.
(E) Otic and luminal volumes of MO injected sides represented as percent change in otic volume compared to control (uninjected) sides of the same larvae (paired Wilcoxon signed rank test, , p < 0.05, Data are represented as mean SEM).
|
|
Optical coherence tomography-based images of the otic vesicle in X. laevis embryo at NF stage 40, with distinguishable pars superior (vestibular) and pars inferior (auditory). [key: o= otolith. scale bar indicates 100 m.]
|
|
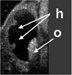
Optical coherence tomography-based images of the otic vesicle in X. laevis embryo at NF stage 42/43, containing pouches in the pars superior that presage the horizontal, anterior, and posterior semicircular canals. [key: Otolith (o), pouch and protrusions for the horizontal canal (h); scale bar =100um]
|
|
optical coherence tomography-based images of the otic vesicle in X. laevis embryo at NF stage 45/46, in which the protrusions that will form the horizontal canal grow further inward and stereocilia bundles on hair cells are very distinct (5 m in length). [key Otolith (o), pouch and protrusions for the horizontal canal (h); scale bar = 100um]
|
|
optical coherence tomography-based images of the otic vesicle in X. laevis embryo at NF stage 47, in which the axial protrusions are fused to form the horizontal, anterior, and posterior semicircular canals and the sensory patches in the sacculus, utricle, semicircular canals, and auditory lagena are recognizable and stereocilia bundles are established. [Key: Otolith (o), anterior canal (a), sacculus (s). Bar indicates 100 m]
|
|
tgfb1 (transforming growth factor beta induced) gene expression in X. laevis embryo, as assessed by in situ hybridization at NF stage 32, lateral view of head region, anterior left, dorsal up, with inset showing otic vesicle.
|
|
|
|
Figure 1. Workflow for time-resolved proteome analysis of otic morphogenesisXenopus larvae and tadpoles from stages 34–47 were selected for otic proteome analysis. These stages were chosen because they include the simplest structure displaying onset of tubular duct growth (st 34), the initial polarization and compartmentalization of the OV into distinct functional regions and the appearance of otoliths (st 40), the onset of semicircular canal formation (st 42/43), the onset of sensory hair cell formation (st 45) and the completion of semicircular canal formation, sensory patch formation and hair cell differentiation (st 47). Insets show stage associated optical coherence tomography-based images of the otic vesicle. Otolith (o), pouch and protrusions for the horizontal canal (h), anterior canal (a), sacculus (s). Bar indicates 100 μm. Otic vesicles were dissected and processed using a bottom-up proteomic workflow. Peptides were tagged with isobaric mass tags to quantify relative changes in protein abundances during the course of otic morphogenesis. Tagged peptides were fractionated offline using RP spin columns at a high pH and then analyzed by LC-HRMS. Quantification of select proteins was verified using targeted (PRM) HRMS.
|
|
Figure 2. Characterization of the global proteome(A) Approximately 6,000 proteins were identified from otic tissues across all analyzed developmental stages and the five biological replicates. Proteins correlated with publicly available proteomic and transcriptomic datasets from inner ear tissues. A number of proteins previously reported in inner ear tissues (red) and hair cells (blue) were included in our dataset. Additional proteins correlated with deafness genes reported on OMIM (green).(B) Over-representation analysis (PantherDB) for biological processes demonstrating a fold enrichment >5 indicated an enrichment of processes such as mRNA processing and splicing in the otic proteome.(C) Over-representation analysis (PantherDB) for pathways demonstrated an enrichment in pathways such as Integrin, Wnt, and FGF signaling.
|
|
Figure 3. Temporal proteome dynamics during otic development(A) Hierarchical clustering analysis supplemented by k-means clustering, cluster numbers indicated in adjoining black bars. Overrepresented GO categories for dynamic clusters for protein class (blue) and pathway (yellow) are shown.(B) Relative quantification of yolk protein fragments Vtga2 and Vtgb1 over developmental stages when maternal yolk proteins are metabolized. ∗, p < 0.05 (ANOVA). See also Table S1.
|
|
Figure 4. Integrin and ECM protein interaction networksSTRING analysis and pathway enrichment analysis using the Xenopus interaction database show enrichment of processes related to ECM organization (yellow), anatomical structure development (pink), and sensory organ development (green). Interactions among proteins are reported with medium to highest confidence represented by thickness of lines.
|
|
Figure 5. Dynamically expressed proteins overlap with putative downstream targets of CHL genes(A–E) (A) Venn diagrams show overlap between dynamically expressed proteins (DEPs) and BOR (Six1), CHARGE (Chd7) and Waardenburg (Sox10) associated genes (B–E) Dynamically regulated ECM (B), cytoskeletal (C), calcium binding (D), and glucose metabolism (E) proteins that are putative downstream targets of CHL genes. Filled pink boxes are based on human data whereas the hatched pink boxes are based on mouse knockout data. Yellow boxes indicate genes in these categories found in the datasets analyzed in A. See also Table S2.
|
|
Figure 6. Characterization of Tgfbi expression(A) Tgfbi is a putative downstream target of Six1. RNA-seq of E10.5 mouse OVs from Six1+/+ and Six1−/− embryos was done to evaluate gene expression changes in the absence of Six1. Expression of Tgfbi significantly decreased in Six1-null OVs compared to wild type (WT) OVs of littermates (∗, p < 0.05).(B) Expression pattern of Tgfbi as assessed by in situ hybridization at stage 32 (lateral view). Bar indicates 200 μm. Inset shows Tgfbi expression in otic vesicle. Bar indicates 100 μm.(C) Xenopus laevis Tgfbi contains one EMI domain, four FAS1 domains and the RGD motif. (source Uniprot). Domain visualization generated using DOG (version 2).48 Numbers indicate amino acid residues.(D) Label based (TMT) abundance for Tgfbi, Gapdh, and Pa2g4 between stage 34 and 47 otic vesicles (paired Student’s t test for unequal variance, ∗, p < 0.05).(E) Summed and normalized peak intensities for Tgfbi, Gapdh, and Pa2g4 between stage 34 and 47 otic vesicles (paired Student’s t test for unequal variance, ∗, p < 0.05). n.s., not significant.
|
|
Figure 7. Loss-of-function experiments for tgfbi in the context of otic development(A) Xenopus 16-cell blastomeres that are fated to primarily contribute to neural crest (NC) and pre-placodal ectoderm (PPE) are labeled in green, and were microinjected with antisense morpholino oligonucleotides (MO) with or without mRNA encoding human TGFBI to which the MOs do not bind. Left (L) and right (R) sides of embryo. Uninjected half of the embryo was used as control for phenotype assessment. In the right panel, sequences of the two alleles of Xenopus laevis tgfbi on the long (.L) and short (.S) chromosomes and human TGFBI are aligned. Red and blue regions indicate sites for MO binding, blue arrow marks the translation start site (ATG). hTGFBI 5′ sequence cannot bind the MOs and therefore could be used to rescue the effects of the MOs.(B and C) Targeted MS analysis shows Tgfbi protein is not detected in OVs dissected from the MO injected sides of stage 34 larvae. Abundance of the reference protein Gapdh does not change significantly following Tgfbi KD (paired Student’s t test, p > 0.05) (C) MO injected embryos cultured to stage 32 and processed by ISH for dlx5 and pax2. While OV gene expression was normal on the control side (black arrow), it was greatly reduced on the MO-injected side (red arrow) of same larva in a large percentage of the cases (n = 63 larvae for dlx5, n = 39 larvae for pax2). Embryos injected with Tgfbi MOs plus the MO-insensitive human TGFBI mRNA showed a significantly reduced percentage of reduced dlx5 expression (p < 0.05, Chi-Squared test), demonstrating rescue of the morphant phenotype. MO: morpholino injection; MO Rescue: MOs + hTGFBI mRNA injection. Bar indicates 200 μm.(D) Larvae were vibratome sectioned to measure OV and luminal volumes. In the image shown, dlx5 expression was reduced in the OV on the MO injected side (red arrow) compared to the control side (black arrow). hb, hindbrain.(E) Otic and luminal volumes of MO injected sides represented as percent change in otic volume compared to control (uninjected) sides of the same larvae (paired Wilcoxon signed rank test, ∗, p < 0.05, Data are represented as mean ± SEM).
|