XB-ART-57109
Nat Commun
2020 Mar 06;111:1222. doi: 10.1038/s41467-020-15006-4.
Show Gene links
Show Anatomy links
Two distinct modes of DNMT1 recruitment ensure stable maintenance DNA methylation.
Nishiyama A
,
Mulholland CB
,
Bultmann S
,
Kori S
,
Endo A
,
Saeki Y
,
Qin W
,
Trummer C
,
Chiba Y
,
Yokoyama H
,
Kumamoto S
,
Kawakami T
,
Hojo H
,
Nagae G
,
Aburatani H
,
Tanaka K
,
Arita K
,
Leonhardt H
,
Nakanishi M
.
???displayArticle.abstract???
Stable inheritance of DNA methylation is critical for maintaining differentiated phenotypes in multicellular organisms. We have recently identified dual mono-ubiquitylation of histone H3 (H3Ub2) by UHRF1 as an essential mechanism to recruit DNMT1 to chromatin. Here, we show that PCNA-associated factor 15 (PAF15) undergoes UHRF1-dependent dual mono-ubiquitylation (PAF15Ub2) on chromatin in a DNA replication-coupled manner. This event will, in turn, recruit DNMT1. During early S-phase, UHRF1 preferentially ubiquitylates PAF15, whereas H3Ub2 predominates during late S-phase. H3Ub2 is enhanced under PAF15 compromised conditions, suggesting that H3Ub2 serves as a backup for PAF15Ub2. In mouse ES cells, loss of PAF15Ub2 results in DNA hypomethylation at early replicating domains. Together, our results suggest that there are two distinct mechanisms underlying replication timing-dependent recruitment of DNMT1 through PAF15Ub2 and H3Ub2, both of which are prerequisite for high fidelity DNA methylation inheritance.
???displayArticle.pubmedLink??? 32144273
???displayArticle.pmcLink??? PMC7060239
???displayArticle.link??? Nat Commun
Species referenced: Xenopus laevis
Genes referenced: dnmt1 frat1 pcna pigy uhrf1
GO keywords: chromatin [+]
???attribute.lit??? ???displayArticles.show???
|
|
Fig. 1. Dual mono-ubiquitylated PAF15 (PAF15Ub2) specifically binds to replicating chromatin.a xDNMT1 pull-downs from native chromatin extracts were analyzed by LC-MS/MS. The volcano plot summarizes the quantitative results and highlights the interacting proteins enriched upon addition of ubiquitin to UbVS-treated extracts. b Xenopus interphase egg extracts were added with sperm chromatin and incubated in the absence or presence of His6-ubiquitin (58âμM final). Chromatin-bound proteins were isolated and analyzed by immunoblotting using the indicated antibodies. For PAF15 levels in the extracts, see Supplementary Fig. 1f. c Interphase egg extracts were added with sperm chromatin and incubated in the presence of 15âμM aphidicolin (Aph) or in its absence (DMSO). Chromatin-bound proteins were isolated and analyzed by immunoblotting using the indicated antibodies. d PAF15-deleted extracts were supplemented with wild-type xPAF15-Flag3 and its variants (K18R, K27R, and K18R/K27R). After the addition of sperm chromatin, chromatin-bound proteins were isolated and analyzed by immunoblotting using the indicated antibodies. The extracts were also analyzed by immunoblotting. e PAF15-depleted extracts were supplemented with wild-type xPAF15-Flag3, its PIP-box mutant (FF/AA), or K18R/K27R mutant (KRKR). After the addition of sperm chromatin, chromatin-bound proteins were isolated and analyzed by immunoblotting using the indicated antibodies. The extracts were also analyzed by immunoblotting. Source data are provided as a Source Data file. |
|
|
Fig. 2. UHRF1 recognizes and ubiquitylates the N-terminal H3-like sequence of PAF15.a Mock-depleted or UHRF1-depleted extracts were supplemented with the indicated recombinant proteins (wt/D333A/D336A xUHRF1; see âMethodsâ) and chromatin was isolated. Chromatin-bound proteins were analyzed by immunoblotting using the indicated antibodies. For the protein levels of each protein in the extracts, see Supplementary Fig. 2a. b Comparison of the N-terminal sequence of PAF15 and histone H3 across different species. Residues mutated in the PAF15 mutants used in this study are shaded. Superimposition of plots of enthalpy changes in the interaction between hPHD and hPAF152-11 peptides by ITC measurement. c Recognition of the N-terminus of hPAF15 by hPHD. The left panel shows the crystal structure of PHD in complex with hPAF15. hPHD as a surface model with electrostatic potential (red, negative; blue, positive). The right panel shows recognition of PAF15 N-terminus (green stick model) by hPHD (pink stick model). Hydrogen bonds and water molecules are shown as black lines and balls, respectively. d PAF15-deleted extracts were supplemented with wild-type PAF15-Flag3 and its variants (R3A, T4D, and K5A). After the addition of sperm chromatin, chromatin-bound proteins were isolated after 90âmin and analyzed by immunoblotting using the indicated antibodies. The level of PAF15Ub2 on chromatin was quantified for each set of conditions as explained in the âMethodsâ section. e, f In vitro ubiquitylation assay using the indicated hUHRF1 E3-ligases and hPAF15 substrates. Lower panels show the relative intensity of the band corresponding to dual mono-ubiquitylated PAF15. Bars represent the means of three independent experiments with SEM. Source data are provided as a Source Data file. |
|
|
Fig. 3. PAF15Ub2 forms a complex with DNMT1.a Reciprocal immunoprecipitation of PAF15 and DNMT1 from chromatin lysates. IP was performed with control (Mock), anti-xDNMT1 (DNMT1), or anti-xPAF15 (PAF15) antibody from chromatin lysates. Supernatants after immunoprecipitation (IP-sup) or immunoprecipitates (IP-ppt) were analyzed by immunoblotting using the indicated antibodies. b Sperm chromatin was replicated in interphase egg extracts containing xPAF15-Flag3 [wild-type, K18R, K27R, or K18RK27R (KRKR)]. Isolated and solubilized chromatin proteins were subjected to immunoprecipitation using anti-Flag antibodies. The resultant immunoprecipitates were analyzed by immunoblotting using the indicated antibodies. c Superimposition of plots of enthalpy changes in the interaction between hRFTS and hPAF152-30 or its ubiquitylated analogs by ITC measurement. d Pull-down of ubiquitylated PAF15 from denatured chromatin extracts using recombinant wild-type xDNMT1-Flag3 and its ubiquitin-binding mutants (P253AL256A or I317AI362A). Source data are provided as a Source Data file. |
|
|
Fig. 4. xPAF15Ub2 promotes recruitment of xDNMT1 and maintenance of DNA methylation.a, d Sperm chromatin was added to either mock- or xPAF15-depleted extracts containing radiolabeled S-[methyl-3H]-adenosyl-L-methionine in the absence (a) or presence of 0.6âμM hRFTS (e). The efficiency of DNA methylation was measured at the time points indicated. Bar graphs depict the quantification of incorporated SAM into genomic DNA with mean and SEM from three independent experiments. Statistical significance was determined using Studentâs t test. b, e Sperm chromatin was added to mock- or xPAF15-depleted interphase extracts in the absence (b) or presence (f) of hRFTS. PAF15-depleted extracts were supplemented with either buffer alone (lanes 4â6), purified wild-type xPAF15-Flag3 or K18R/K27R(KRKR) mutant xPAF15-Flag3 (320ânM final concentration, lanes 7â9 or 10â12, respectively) in the experiment described in b. At the indicated time points, chromatin fractions were isolated and subjected to immunoblotting using the antibodies indicated. For the PAF15 levels in extracts, see Supplementary Fig. 2a. c Sperm chromatin was replicated in mock- or PAF15-depleted interphase egg extracts. Isolated and solubilized chromatin proteins were subjected to immunoprecipitation using an anti-xDNMT1 antibody. The resultant immunoprecipitates were analyzed by immunoblotting using the indicated antibodies. Asterisks, non-specifically detected proteins. f Schematic of experimental approach to test the differential regulation through UHRF1 during the progression of S phase. g Sperm chromatin was added to xUHRF1-depleted extracts and incubated for 0, 30, 60, 90, 120, or 150âmin. Extracts were then supplemented with recombinant xUHRF1-Flag3 and further incubated for 7.5 or 15âmin. Chromatin fractions were isolated and chromatin-bound proteins were analyzed by immunoblotting using the antibodies indicated. Source data are provided as a Source Data file. |
|
|
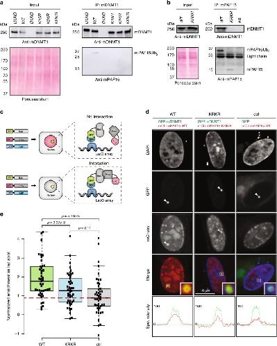
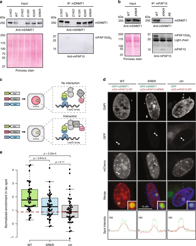
Fig. 5. Dual mono-ubiquitylation of mPAF15 is required for the mPAF15âmDNMT1 interaction in mouse ESCs.a Immunoprecipitation of endogenous DNMT1 from whole-cell lysates of wild-type J1 (WT), Dnmt1 KO (D1KO), Uhrf1 KO (U1KO), Paf15 K15R (K15R), Paf15 K24R (K24R), and Paf15 K15/24R (KRKR) mESCs using an anti-mDNMT1 nanobody. Bound fractions were subjected to immunoblotting with anti-mDNMT1 and anti-mPAF15 antibodies. The anti-mDNMT1 blot and Ponceau staining are shown as loading controls. b Immunoprecipitation of endogenous mPAF15 from WT and KRKR mESC nuclear extracts using an anti-mPAF15 antibody. Bound fractions were subjected to immunoblotting with anti-mDNMT1 and anti-mPAF15 antibodies. The anti-mDNMT1 blot and Ponceau staining are shown as loading controls. c Schematic of the fluorescent-3-hybrid (F3H) assay for the in vivo determination of proteinâprotein interactions. GFP-tagged bait protein is immobilized at an array of Lac operator (LacO) sequences by a GFP-binding protein (GBP) coupled to the lac repressor (LacI). When the GFP-tagged bait protein does not interact with the prey protein, only a GFP signal is visible at the LacO locus, whereas a yellow spot (combination of GFP and mCherry signal) is visible at the LacO locus in the case of a positive interaction. d, e F3H assay for a BHK cell-based analysis of ubiquitylation-mediated recruitment of mPAF15 to mDNMT1. d Cells containing a stably integrated lacO array were transfected with the GBP-LacI, a GFP-tagged bait (GFP-mDNMT1 or GFP), and an mCherry-tagged prey (mCherry-mPAF15 wild-type (WT) or mCherry-mPAF15 K15R/K24R double mutant (KRKR)). Line intensity profiles for GFP and mCherry in the respective spots are shown below the confocal images. Scale bar, 10âμm. e Quantification of the F3H assay. Background subtracted mCherry/GFP ratios within the spots were normalized to the control and plotted with nâ=â45 from 3 independent replicates (per replicate, nâ=â15). In the boxplots, horizontal black lines within boxes represent median values, boxes indicate the upper and lower quartiles, and whiskers indicate the 1.5à interquartile range. Statistical significance was determined using Studentâs t test. Source data are provided as a Source Data file. |
|
|
Fig. 6. mPAF15Ub2 is required for the proper maintenance of DNA methylation in mouse ESCs.a, b DNA methylation levels (%) as measured by RRBS in wild-type (WT) and Paf15 K15R/K24R (KRKR) double mutant ESCs. a Global DNA methylation levels and b CpG methylation levels at CpG islands, promoters, gene bodies, and repeats in wt and KRKR ESCs. p Values based on ANOVA with post hoc Tukeyâs test. c Density plot depicting the distribution of DNA methylation levels of individual CpG sites in wt and KRKR ESCs. dâf Replication timing of hypomethylated vs. unchanged tiles in d Paf15 KRKR ESCs, e Dnmt1 KO ESCs, and f Uhrf1 KO ESCs. For comparisons between hypomethylated and unchanged tiles, Welchâs two-sided t test was used for calculating p values. Differentially methylated tiles losing DNA methylation (hypomethylated tiles) were defined as those with pâ<â0.05 and a methylation loss >25%; p values were derived from a methylKit package (see âMethodsâ). g Model of the two pathways of dual mono-ubiquitylation facilitating maintenance of DNA methylation. Both requiring UHRF1, PAF15Ub2 and H3Ub2 preferentially contribute to the DNMT1-mediated maintenance of DNA methylation of early and late replicating regions, respectively. For the boxplots in a, b, dâf, the horizontal black lines within boxes represent median values, boxes indicate the upper and lower quartiles, and whiskers indicate the 1.5à interquartile range. Source data are provided as a Source Data file. |
External Resources: Proteomic dataset PXD015282 on PRIDE
CTD
References [+] :
Afonine,
Towards automated crystallographic structure refinement with phenix.refine.
2012, Pubmed
Afonine, Towards automated crystallographic structure refinement with phenix.refine. 2012, Pubmed
Akalin, methylKit: a comprehensive R package for the analysis of genome-wide DNA methylation profiles. 2012, Pubmed
Amrani, The Paf oncogene is essential for hematopoietic stem cell function and development. 2011, Pubmed
Aran, Replication timing-related and gene body-specific methylation of active human genes. 2011, Pubmed
Arita, Recognition of modification status on a histone H3 tail by linked histone reader modules of the epigenetic regulator UHRF1. 2012, Pubmed
Arita, Recognition of hemi-methylated DNA by the SRA protein UHRF1 by a base-flipping mechanism. 2008, Pubmed
Avvakumov, Structural basis for recognition of hemi-methylated DNA by the SRA domain of human UHRF1. 2008, Pubmed
Blow, Initiation of DNA replication in nuclei and purified DNA by a cell-free extract of Xenopus eggs. 1986, Pubmed , Xenbase
Borodovsky, A novel active site-directed probe specific for deubiquitylating enzymes reveals proteasome association of USP14. 2001, Pubmed
Bostick, UHRF1 plays a role in maintaining DNA methylation in mammalian cells. 2007, Pubmed
Boyle, Gel-free multiplexed reduced representation bisulfite sequencing for large-scale DNA methylation profiling. 2012, Pubmed
Branzei, Maintaining genome stability at the replication fork. 2010, Pubmed
Cheng, Molecular mechanism for USP7-mediated DNMT1 stabilization by acetylation. 2015, Pubmed
DaRosa, A Bifunctional Role for the UHRF1 UBL Domain in the Control of Hemi-methylated DNA-Dependent Histone Ubiquitylation. 2018, Pubmed
De March, p15PAF binding to PCNA modulates the DNA sliding surface. 2018, Pubmed
Deutsch, The ProteomeXchange consortium in 2017: supporting the cultural change in proteomics public data deposition. 2017, Pubmed
Dimova, APC/C-mediated multiple monoubiquitylation provides an alternative degradation signal for cyclin B1. 2012, Pubmed , Xenbase
Du, DNMT1 stability is regulated by proteins coordinating deubiquitination and acetylation-driven ubiquitination. 2010, Pubmed
Easwaran, Replication-independent chromatin loading of Dnmt1 during G2 and M phases. 2004, Pubmed
Edwards, DNA methylation and DNA methyltransferases. 2017, Pubmed
Emanuele, Proliferating cell nuclear antigen (PCNA)-associated KIAA0101/PAF15 protein is a cell cycle-regulated anaphase-promoting complex/cyclosome substrate. 2011, Pubmed
Evans, How good are my data and what is the resolution? 2013, Pubmed
Felle, The USP7/Dnmt1 complex stimulates the DNA methylation activity of Dnmt1 and regulates the stability of UHRF1. 2011, Pubmed
Ferry, Methylation of DNA Ligase 1 by G9a/GLP Recruits UHRF1 to Replicating DNA and Regulates DNA Methylation. 2017, Pubmed
Foster, Critical Role of the UBL Domain in Stimulating the E3 Ubiquitin Ligase Activity of UHRF1 toward Chromatin. 2018, Pubmed
Goda, An optimized Npro-based method for the expression and purification of intrinsically disordered proteins for an NMR study. 2015, Pubmed
González-Magaña, Double Monoubiquitination Modifies the Molecular Recognition Properties of p15PAF Promoting Binding to the Reader Module of Dnmt1. 2019, Pubmed
Gutschner, Post-translational Regulation of Cas9 during G1 Enhances Homology-Directed Repair. 2016, Pubmed
Harrison, Hemi-methylated DNA regulates DNA methylation inheritance through allosteric activation of H3 ubiquitylation by UHRF1. 2016, Pubmed
Hashimoto, The SRA domain of UHRF1 flips 5-methylcytosine out of the DNA helix. 2008, Pubmed
Herce, Visualization and targeted disruption of protein interactions in living cells. 2013, Pubmed
Hiratani, Genome-wide dynamics of replication timing revealed by in vitro models of mouse embryogenesis. 2010, Pubmed
Illingworth, Orphan CpG islands identify numerous conserved promoters in the mammalian genome. 2010, Pubmed
Ishiyama, Structure of the Dnmt1 Reader Module Complexed with a Unique Two-Mono-Ubiquitin Mark on Histone H3 Reveals the Basis for DNA Methylation Maintenance. 2017, Pubmed , Xenbase
Jones, Rethinking how DNA methylation patterns are maintained. 2009, Pubmed
Kabsch, XDS. 2010, Pubmed
Karg, Ubiquitome Analysis Reveals PCNA-Associated Factor 15 (PAF15) as a Specific Ubiquitination Target of UHRF1 in Embryonic Stem Cells. 2017, Pubmed
Karmodiya, H3K9 and H3K14 acetylation co-occur at many gene regulatory elements, while H3K14ac marks a subset of inactive inducible promoters in mouse embryonic stem cells. 2012, Pubmed
Kori, Structure of the UHRF1 Tandem Tudor Domain Bound to a Methylated Non-histone Protein, LIG1, Reveals Rules for Binding and Regulation. 2019, Pubmed
Kurimoto, Quantitative Dynamics of Chromatin Remodeling during Germ Cell Specification from Mouse Embryonic Stem Cells. 2015, Pubmed
Leonhardt, A targeting sequence directs DNA methyltransferase to sites of DNA replication in mammalian nuclei. 1992, Pubmed
Li, Targeted mutation of the DNA methyltransferase gene results in embryonic lethality. 1992, Pubmed
Li, Structural and mechanistic insights into UHRF1-mediated DNMT1 activation in the maintenance DNA methylation. 2018, Pubmed
Marks, The transcriptional and epigenomic foundations of ground state pluripotency. 2012, Pubmed
McCoy, Phaser crystallographic software. 2007, Pubmed
Meilinger, Np95 interacts with de novo DNA methyltransferases, Dnmt3a and Dnmt3b, and mediates epigenetic silencing of the viral CMV promoter in embryonic stem cells. 2009, Pubmed
Misaki, The replication foci targeting sequence (RFTS) of DNMT1 functions as a potent histone H3 binding domain regulated by autoinhibition. 2016, Pubmed , Xenbase
Mukharji, Early positive exercise test and extensive coronary disease: effect of antianginal therapy. 1985, Pubmed
Mulholland, A modular open platform for systematic functional studies under physiological conditions. 2015, Pubmed
Nishiyama, Uhrf1-dependent H3K23 ubiquitylation couples maintenance DNA methylation and replication. 2013, Pubmed , Xenbase
Perez-Riverol, The PRIDE database and related tools and resources in 2019: improving support for quantification data. 2019, Pubmed
Povlsen, Systems-wide analysis of ubiquitylation dynamics reveals a key role for PAF15 ubiquitylation in DNA-damage bypass. 2012, Pubmed
Qin, DNA methylation requires a DNMT1 ubiquitin interacting motif (UIM) and histone ubiquitination. 2015, Pubmed
Rajakumara, PHD finger recognition of unmodified histone H3R2 links UHRF1 to regulation of euchromatic gene expression. 2011, Pubmed
Ran, Genome engineering using the CRISPR-Cas9 system. 2013, Pubmed
Rothbart, Association of UHRF1 with methylated H3K9 directs the maintenance of DNA methylation. 2012, Pubmed
Schübeler, Function and information content of DNA methylation. 2015, Pubmed
Sharif, The SRA protein Np95 mediates epigenetic inheritance by recruiting Dnmt1 to methylated DNA. 2007, Pubmed
Syeda, The replication focus targeting sequence (RFTS) domain is a DNA-competitive inhibitor of Dnmt1. 2011, Pubmed
Takeshita, Structural insight into maintenance methylation by mouse DNA methyltransferase 1 (Dnmt1). 2011, Pubmed
Timp, Large hypomethylated blocks as a universal defining epigenetic alteration in human solid tumors. 2014, Pubmed
Tsuchiya, In Vivo Ubiquitin Linkage-type Analysis Reveals that the Cdc48-Rad23/Dsk2 Axis Contributes to K48-Linked Chain Specificity of the Proteasome. 2017, Pubmed
Tsukamoto, Visualization of gene activity in living cells. 2000, Pubmed
Vaughan, Chromatin structure and its chemical modifications regulate the ubiquitin ligase substrate selectivity of UHRF1. 2018, Pubmed
Yamaguchi, Usp7-dependent histone H3 deubiquitylation regulates maintenance of DNA methylation. 2017, Pubmed , Xenbase
Zhang, Model-based analysis of ChIP-Seq (MACS). 2008, Pubmed
Zhou, DNA methylation loss in late-replicating domains is linked to mitotic cell division. 2018, Pubmed
