Click here to close
Hello! We notice that you are using Internet Explorer, which is not supported by Xenbase and may cause the site to display incorrectly.
We suggest using a current version of Chrome,
FireFox, or Safari.
Nucleic Acids Res
2020 Apr 06;486:3328-3342. doi: 10.1093/nar/gkaa062.
Show Gene links
Show Anatomy links
Structural basis of the fanconi anemia-associated mutations within the FANCA and FANCG complex.
Jeong E
,
Lee SG
,
Kim HS
,
Yang J
,
Shin J
,
Kim Y
,
Kim J
,
Schärer OD
,
Kim Y
,
Yeo JE
,
Kim HM
,
Cho Y
.
???displayArticle.abstract???
Monoubiquitination of the Fanconi anemia complementation group D2 (FANCD2) protein by the FA core ubiquitin ligase complex is the central event in the FA pathway. FANCA and FANCG play major roles in the nuclear localization of the FA core complex. Mutations of these two genes are the most frequently observed genetic alterations in FA patients, and most point mutations in FANCA are clustered in the C-terminal domain (CTD). To understand the basis of the FA-associated FANCA mutations, we determined the cryo-electron microscopy (EM) structures of Xenopus laevis FANCA alone at 3.35 Å and 3.46 Å resolution and two distinct FANCA-FANCG complexes at 4.59 and 4.84 Å resolution, respectively. The FANCA CTD adopts an arc-shaped solenoid structure that forms a pseudo-symmetric dimer through its outer surface. FA- and cancer-associated point mutations are widely distributed over the CTD. The two different complex structures capture independent interactions of FANCG with either FANCA C-terminal HEAT repeats, or the N-terminal region. We show that mutations that disturb either of these two interactions prevent the nuclear localization of FANCA, thereby leading to an FA pathway defect. The structure provides insights into the function of FANCA CTD, and provides a framework for understanding FA- and cancer-associated mutations.
Figure 1. Three classes of the overall structures of the FANCAâFANCG complex. (A) Cryo-EM map of the FANCA CTD dimer at an average resolution of 3.35 à . Each FANCA molecule is shown in orange (FANCA) and green (FANCAâ). The arc-shaped CTD is divided into the N-terminal half (arcN) and the C-terminal half (arcC). (B) Cryo-EM map (gray) of the FANCA CTD dimer complexed with a FANCG (purple) molecule at 4.6 à . FANCG CTD packs at the C-terminal end of FANCA. Orientation of the CTD dimer is same as that in (A). (C) Cryo-EM map (gray) of the FANCA and FANCG complex at 4.84 à . FANCGâ is bound at the FANCAâ NTD (yellow). (D) Overall scheme of the subdomain composition in FANCA and FANCAâ. Each subdomain is painted with same colors as in (A) to (E). (E) Two views of the 3.46 à structure of the FANCA CTD dimer. Left, A 2-fold rotation axis is along the horizontal axis. Each HEAT repeat consists of the HA and HB helices that forms inner and outer surfaces, respectively. The central axes (along each H8B helix) of two solenoids are arranged in â¼80°. Right, View orthogonal to the left view looking down the 2-fold axis which is along the H8B helices from the two FANCA molecules. The CTD structure is divided into the N-terminal helical subdomain (H1 to linker helix), arcN (H3 to HM1) and arcC (H7 to H14) subdomains. The helical subdomain of FANCAâ is shown in cyan. The arcN and arcC subdomains of FANCA CTD are colored in light orange and orange, respectively. The arcN and arcC subdomains of FANCAâ CTD are shown in light green and green, respectively.
Figure 2. The dimer interface of FANCA. (A) View looking down the dimer interface between the arcC of FANCA CTD (orange) and the arcN of FANCAâ CTD (green). Boxes contain clusters of contacts with their respective segments labeled. (B) Close-up view of the central interface in box b from (A). A view is orthogonal to the projection in (A). Black dotted lines indicate polar interactions. The interface is formed by the interactions between the H8B and the H8Bâ helices and between the H8Bâ and the H10B helices. (C) Close-up view of the interface between the H7Bâ helix from FANCAâ CTD and the H9B, H10B and HM2C from FANCA CTD. A view is orthogonal to the projection in (A). The interface is formed primarily by the hydrogen bonds and polar interactions between the main chain and side chain. (D) Close-up view of the interface between the archâ loop and the H11A and H12A helices in the same projection of (A)
Figure 3. A putative ssDNA binding path in the FANCA CTD dimer. (A) Two views of the structure of the FANCA CTD dimer with positively charged residues in space-filling model. (B) Surface representation of the FANCA CTD dimer with electrostatic potential in two different views. The electrostatic potential was calculated with Adaptive Poisson-Boltzmann Solver (APBS) and illustrated (â6 to +6 kT) with PyMOL. The positive potential is shown in blue and the negative potential is shown in red. A putative ssDNA binding path is shown in a yellow dotted line. Orientations of the structures are same as those in (A).
Figure 4. Structure of the selected missense mutations of FANCA from the Fanconi Anemia Mutation Database (http://www2.rockefeller.edu/fanconi/) and Catalogue of Somatic Mutations in Cancer (https://cancer.sanger.ac.uk/cosmic/gene/analysis?ln=FANCA). (A) An overall structure of the FANCA CTD complexed with the FANCG CTD (purple). The selected FA- and cancer-associated mutations are illustrated in space filling model. FANCA CTD (green) is shown in surface representation. FANCG is packed against the C-terminal end of a FANCA CTD molecule. (B) A mutated residue analyzed in the present study is shown in yellow color. Trp1274 (Trp1302Arg mutation in human FANCA). (C) Arg1028 (Arg1055Trp). (D) Met1333 (Met1360Ile). (E) Phe1236 (Phe1262Leu) and Phe1237 are patient-derived missense and deletion mutation, respectively. (F) Leu1055 (Leu1082Pro).
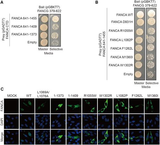
Figure 5. Interactions between FANCA CTD mutants and FANCG CTD and their mutational effects in nuclear localization of FANCA (A) Yeast two hybrid analyses between deletion mutants of FANCA CTD and FANCG CTD. Master plate (SD-LeuTrp) and a selective plate (SD-LeuTrpHis containing 10 mM of 3-AT) are shown on the left and right, respectively. (B) Yeast two hybrid analyses between FANCA CTD with selected point mutants and FANCG CTD. Master plate (SD-LeuTrp) and a selective plate (SD-LeuTrpHis containing 10 mM of 3-AT) are shown on the left and right, respectively. Structures of the point mutants are shown in Figure 4. (C) FANCA-knockout U2OS cells expressing indicated mutants in the presence of 1uM MMC were immunostained to visualize FANCA. Cell nuclei were detected with 4â²,6-diamidino-2-phenylindole (DAPI).
Figure 6. Structure of the FANCAâ complexed with FANCGâ through its NTD. (A) The NTD (yellow) of FANCAâ is docked into the inner surface of its CTD dimer. The deep groove is formed at the middle of the inner surface, in which the FANCAâ NTD is lodged. The opposite end of the NTD interacts with FANCGâ (purple). (B) The EM density for the NTD of FANCAâ. The NTD consists of multiple HEAT repeats. (C) Close-up view of the interface between FANCAâ NTD and the CTD dimer. Side chains from the two CTD protomers are shown.
Figure 7. The two interfaces between the FANCA and FANCG complex are required for nuclear transport of FANCA. (A) Structure of the FANCAâFANCG hetero-tetramer complex in two different views. The structure was reconstituted by aligning a FANCA CTD dimer of one FANCAâFANCG complex onto that of another complex. The EM map for the two FANCG molecules are shown in gray color. FANCA binds to the FANCG CTD via its C-terminal helical repeats and FANCAâ binds to FANCGâ through its NTD. (B) A cartoon representing a model by which disruption of either one of the two interfaces prevents the localization of FANCA into the nucleus.
Adachi,
Heterogeneous activation of the Fanconi anemia pathway by patient-derived FANCA mutants.
2002, Pubmed
Adachi,
Heterogeneous activation of the Fanconi anemia pathway by patient-derived FANCA mutants.
2002,
Pubmed
Afonine,
Real-space refinement in PHENIX for cryo-EM and crystallography.
2018,
Pubmed
Ali,
FAAP20: a novel ubiquitin-binding FA nuclear core-complex protein required for functional integrity of the FA-BRCA DNA repair pathway.
2012,
Pubmed
Benitez,
FANCA Promotes DNA Double-Strand Break Repair by Catalyzing Single-Strand Annealing and Strand Exchange.
2018,
Pubmed
Blom,
Multiple TPR motifs characterize the Fanconi anemia FANCG protein.
2004,
Pubmed
Deans,
DNA interstrand crosslink repair and cancer.
2011,
Pubmed
Deans,
FANCM connects the genome instability disorders Bloom's Syndrome and Fanconi Anemia.
2009,
Pubmed
Emsley,
Coot: model-building tools for molecular graphics.
2004,
Pubmed
Garcia-Higuera,
The fanconi anemia proteins FANCA and FANCG stabilize each other and promote the nuclear accumulation of the Fanconi anemia complex.
2000,
Pubmed
Gordon,
FANCC, FANCE, and FANCD2 form a ternary complex essential to the integrity of the Fanconi anemia DNA damage response pathway.
2005,
Pubmed
Gunn,
I-SceI-based assays to examine distinct repair outcomes of mammalian chromosomal double strand breaks.
2012,
Pubmed
Huang,
Modularized functions of the Fanconi anemia core complex.
2014,
Pubmed
Hussain,
Tetratricopeptide-motif-mediated interaction of FANCG with recombination proteins XRCC3 and BRCA2.
2006,
Pubmed
Joo,
Structure of the FANCI-FANCD2 complex: insights into the Fanconi anemia DNA repair pathway.
2011,
Pubmed
Kim,
Regulation of Rev1 by the Fanconi anemia core complex.
2012,
Pubmed
Klein Douwel,
XPF-ERCC1 acts in Unhooking DNA interstrand crosslinks in cooperation with FANCD2 and FANCP/SLX4.
2014,
Pubmed
,
Xenbase
Knipscheer,
The Fanconi anemia pathway promotes replication-dependent DNA interstrand cross-link repair.
2009,
Pubmed
,
Xenbase
Kowal,
Structural determinants of human FANCF protein that function in the assembly of a DNA damage signaling complex.
2007,
Pubmed
Kruyt,
Resistance to mitomycin C requires direct interaction between the Fanconi anemia proteins FANCA and FANCG in the nucleus through an arginine-rich domain.
1999,
Pubmed
Kuang,
Carboxy terminal region of the Fanconi anemia protein, FANCG/XRCC9, is required for functional activity.
2000,
Pubmed
Leung,
Fanconi anemia (FA) binding protein FAAP20 stabilizes FA complementation group A (FANCA) and participates in interstrand cross-link repair.
2012,
Pubmed
Léveillé,
The Fanconi anemia gene product FANCF is a flexible adaptor protein.
2004,
Pubmed
,
Xenbase
Léveillé,
The nuclear accumulation of the Fanconi anemia protein FANCE depends on FANCC.
2006,
Pubmed
Levran,
Sequence variation in the Fanconi anemia gene FAA.
1997,
Pubmed
Lightfoot,
Characterization of regions functional in the nuclear localization of the Fanconi anemia group A protein.
1999,
Pubmed
Ling,
FAAP100 is essential for activation of the Fanconi anemia-associated DNA damage response pathway.
2007,
Pubmed
Meetei,
X-linked inheritance of Fanconi anemia complementation group B.
2004,
Pubmed
Moldovan,
How the fanconi anemia pathway guards the genome.
2009,
Pubmed
Morgan,
High frequency of large intragenic deletions in the Fanconi anemia group A gene.
1999,
Pubmed
Näf,
Functional activity of the fanconi anemia protein FAA requires FAC binding and nuclear localization.
1998,
Pubmed
Nakanishi,
Human Fanconi anemia monoubiquitination pathway promotes homologous DNA repair.
2005,
Pubmed
Otsuki,
SNX5, a new member of the sorting nexin family, binds to the Fanconi anemia complementation group A protein.
1999,
Pubmed
Park,
Oxidative stress/damage induces multimerization and interaction of Fanconi anemia proteins.
2004,
Pubmed
Pettersen,
UCSF Chimera--a visualization system for exploratory research and analysis.
2004,
Pubmed
Polito,
The carboxyl terminus of FANCE recruits FANCD2 to the Fanconi Anemia (FA) E3 ligase complex to promote the FA DNA repair pathway.
2014,
Pubmed
Prisant,
New tools in MolProbity validation: CaBLAM for CryoEM backbone, UnDowser to rethink "waters," and NGL Viewer to recapture online 3D graphics.
2020,
Pubmed
Punjani,
cryoSPARC: algorithms for rapid unsupervised cryo-EM structure determination.
2017,
Pubmed
Rajendra,
The genetic and biochemical basis of FANCD2 monoubiquitination.
2014,
Pubmed
Räschle,
Mechanism of replication-coupled DNA interstrand crosslink repair.
2008,
Pubmed
,
Xenbase
Reuter,
Yeast two-hybrid screens imply involvement of Fanconi anemia proteins in transcription regulation, cell signaling, oxidative metabolism, and cellular transport.
2003,
Pubmed
Rohou,
CTFFIND4: Fast and accurate defocus estimation from electron micrographs.
2015,
Pubmed
Shakeel,
Structure of the Fanconi anaemia monoubiquitin ligase complex.
2019,
Pubmed
Smogorzewska,
Identification of the FANCI protein, a monoubiquitinated FANCD2 paralog required for DNA repair.
2007,
Pubmed
Swuec,
The FA Core Complex Contains a Homo-dimeric Catalytic Module for the Symmetric Mono-ubiquitination of FANCI-FANCD2.
2017,
Pubmed
Thomashevski,
The Fanconi anemia core complex forms four complexes of different sizes in different subcellular compartments.
2004,
Pubmed
van Twest,
Mechanism of Ubiquitination and Deubiquitination in the Fanconi Anemia Pathway.
2017,
Pubmed
Waisfisz,
A physical complex of the Fanconi anemia proteins FANCG/XRCC9 and FANCA.
1999,
Pubmed
Walden,
The Fanconi anemia DNA repair pathway: structural and functional insights into a complex disorder.
2014,
Pubmed
Xie,
RNF4-mediated polyubiquitination regulates the Fanconi anemia/BRCA pathway.
2015,
Pubmed
Yan,
A ubiquitin-binding protein, FAAP20, links RNF8-mediated ubiquitination to the Fanconi anemia DNA repair network.
2012,
Pubmed
Yang,
The Fanconi anemia group A protein modulates homologous repair of DNA double-strand breaks in mammalian cells.
2005,
Pubmed
Yuan,
Fanconi anemia complementation group A (FANCA) protein has intrinsic affinity for nucleic acids with preference for single-stranded forms.
2012,
Pubmed
Zheng,
MotionCor2: anisotropic correction of beam-induced motion for improved cryo-electron microscopy.
2017,
Pubmed
Zivanov,
New tools for automated high-resolution cryo-EM structure determination in RELION-3.
2018,
Pubmed