XB-IMG-47404
Xenbase Image ID: 47404
|
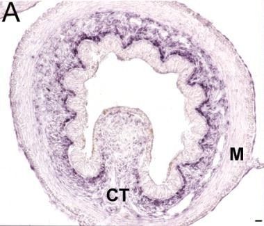
Fig. 4. Bmpr1a expression in intestine at stg 61 This image is extracted from figure published in: Ishizuya-Oka A and Shi YB (2007) Copyright © 2007. Image reproduced with permission of the Publisher, John Wiley & Sons.
Image source: Published Larger Image Printer Friendly View |
