|
XB-LINE-1466
|
Line Name: Xla.Tg(CMV:EGFP-synj2bp)Wtnbe
|
|
| Summary | |
|---|---|
| Synonym: | Dria-GFP, Xla.Tg(Dria-eGFP), Dria-Line, Xla.Tg(CMV:EGFP-OMP25) |
| Species: | Xenopus laevis |
| Background Strain: | Xla.Inbred |
| Paternal Line: | |
| Maternal Line: | |
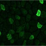
| Description: | This transgenic Xenopus harbors an enhanced green fluorescent protein (EGFP) fused to the mitochondria transport signal, the pRc/CMV EGFP-synaptojanin 2 binding protein (synj2bp) ( previously called outer membrane protein 25, omp25). transmembrane segment enables EGFP expression on mitochondrial outer membrane. |
| Phenotype Description: | GFP expression in mitochondria membranes, with GFP is expressed strongly in gonads. Germ cells have GFP labeled mitochondria, which are retained mostly during one generation in females. |
| Color Morph: | |
| Breeding Type: | OUTBRED |
| Lab of Origin: | Watanabe Lab |
| Line Type: | Transgenic |
| Mutated Gene(s): | |
| MTA Required: | No |
| Public: | Yes |
| Catalogue Number: |
| Stock Center | RRID | Generation | Availability | Mutant Details | |
|---|---|---|---|---|---|
| NXR (US) | NXR_0059 | F2+ | Order | ||
| EXRC (Europe) | |||||
| NBRP (Japan) | |||||
| XLRRI (US) | |||||
Back to Search Lines
