|
XB-MORPHOLINO-18374381
Morpholino Name:
angptl4 MO1
Synonyms:
Target mRNA: angptl4
Morpholino Type: uncategorized morpholino
Sequence: 5' TTTATCTGACCTGAAAGGTGTTTGG 3'
Source: Gene Tools LLC
Synonyms:
Target mRNA: angptl4
Morpholino Type: uncategorized morpholino
Sequence: 5' TTTATCTGACCTGAAAGGTGTTTGG 3'
Source: Gene Tools LLC
| Target mRNA | tropicalis | laevis.L | laevis.S | ||||
| Identities | 25/25 | 23/25 | 23/25 | ||||
genome
MO
|
5' CCAAACACCTTTCAGGTCAGATAAA 3' ||||||||||||||||||||||||| 3' GGTTTGTGGAAAGTCCAGTCTATTT 5' |
5' CCAAACACCTTTCAGGTCAGATGAG 3' |||||||||||||||||||||| | 3' GGTTTGTGGAAAGTCCAGTCTATTT 5' |
5' CCAAACACCTTTCAGGTCAGAAAAG 3' ||||||||||||||||||||| || 3' GGTTTGTGGAAAGTCCAGTCTATTT 5' |
||||
| Genomic Alignments |
Position | Identity | Strand | Target | Target mRNA | ||
| laevis 10.1 | Chr1L:110527957..110527981 | 23/25 | Antisense | target | angptl4.L | ||
| Chr1S:92044525..92044549 | 23/25 | Antisense | target | angptl4.S | |||
| Chr6S:15245386..15245410 | 21/25 | Antisense | off-target | pard3.S | |||
| Chr2S:56483059..56483083 | 21/25 | Antisense | unknown | ||||
| Chr6S:98985789..98985813 | 21/25 | Sense | unknown | ||||
| Chr7S:50077111..50077135 | 21/25 | Sense | unknown | tropicalis 10.0 | Chr1:101425056..101425080 | 25/25 | Antisense | target | angptl4 |
| Chr1:101425056..101425080 | 25/25 | Antisense | off-target | LOC105945731 | |||
| Chr4:78407769..78407793 | 21/25 | Sense | unknown | ||||
| Chr5:117238813..117238837 | 21/25 | Antisense | unknown | ||||
| Chr1:75713767..75713791 | 21/25 | Antisense | unknown | ||||
| Chr2:124926466..124926490 | 21/25 | Antisense | unknown | ||||
| Publications | |||||||
| ???morpholino.displaySummary.papersFirst??? |
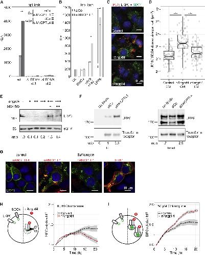
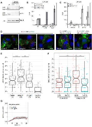
Angiopoietin-like 4 Is a Wnt Signaling Antagonist that Promotes LRP6 Turnover., Dev Cell 2017 |
||||||
| ???morpholino.displaySummary.papersRecent??? | |||||||
| ???morpholino.displaySummary.papersAll??? | |||||||
