|
XB-MORPHOLINO-17249964
Morpholino Name:
ndrg1 MO3
Synonyms: xNDRG1-MO
Target mRNA: ndrg1
Morpholino Type: uncategorized morpholino
Sequence: 5' GTTCAGCTTGGGCGTCCCACACATA 3'
Source: Gene Tools LLC
Synonyms: xNDRG1-MO
Target mRNA: ndrg1
Morpholino Type: uncategorized morpholino
Sequence: 5' GTTCAGCTTGGGCGTCCCACACATA 3'
Source: Gene Tools LLC
| Target mRNA | tropicalis | laevis.L | laevis.S | ||||
| Identities | 25/25 | 25/25 | 25/25 | ||||
genome
MO
|
5' TATGTGTGGGACGCCCAAGCTGAAC 3' ||||||||||||||||||||||||| 3' ATACACACCCTGCGGGTTCGACTTG 5' |
5' TATGTGTGGGACGCCCAAGCTGAAC 3' ||||||||||||||||||||||||| 3' ATACACACCCTGCGGGTTCGACTTG 5' |
5' TATGTGTGGGACGCCCAAGCTGAAC 3' ||||||||||||||||||||||||| 3' ATACACACCCTGCGGGTTCGACTTG 5' |
||||
| Genomic Alignments |
Position | Identity | Strand | Target | Target mRNA | ||
| laevis 10.1 | Chr6L:154871681..154871705 | 25/25 | Sense | target | ndrg1.L | ||
| Chr6S:129727665..129727689 | 25/25 | Sense | target | ndrg1.S | tropicalis 10.0 | Chr6:143681618..143681642 | 25/25 | Sense | target | ndrg1 |
| Publications | |||||||
| ???morpholino.displaySummary.papersFirst??? |
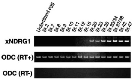
Identification and characterization of Xenopus NDRG1., Biochem Biophys Res Commun 2003 |
||||||
| ???morpholino.displaySummary.papersRecent??? | |||||||
| ???morpholino.displaySummary.papersAll??? | |||||||
