|
XB-MORPHOLINO-17249647
Morpholino Name:
gpc4 MO2
Synonyms: Gpc4Mo
Target mRNA: gpc4
Morpholino Type: uncategorized morpholino
Sequence: 5' TGCAAAGTGCTGAGAATCCCCTAGT 3'
Source: Gene Tools LLC
Synonyms: Gpc4Mo
Target mRNA: gpc4
Morpholino Type: uncategorized morpholino
Sequence: 5' TGCAAAGTGCTGAGAATCCCCTAGT 3'
Source: Gene Tools LLC
| Target mRNA | tropicalis | laevis.L | laevis.S | ||||
| Identities | 25/25 | 24/25 | 25/25 | ||||
genome
MO
|
5' ACTAGGGGATTCTCAGCACTTTGCA 3' ||||||||||||||||||||||||| 3' TGATCCCCTAAGAGTCGTGAAACGT 5' |
5' ACTTGGGGATTCTCAGCACTTTGCA 3'
||| |||||||||||||||||||||
3' TGATCCCCTAAGAGTCGTGAAACGT 5' |
5' ACTAGGGGATTCTCAGCACTTTGCA 3' ||||||||||||||||||||||||| 3' TGATCCCCTAAGAGTCGTGAAACGT 5' |
||||
| Genomic Alignments |
Position | Identity | Strand | Target | Target mRNA | ||
| laevis 10.1 | Chr8S:76830550..76830574 | 25/25 | Sense | target | gpc4.S | ||
| Chr8L:60081580..60081604 | 24/25 | Sense | target | gpc4.L | |||
| Chr4S:2565832..2565856 | 21/25 | Antisense | off-target | phrf1.S | |||
| Chr7L:11635185..11635209 | 21/25 | Sense | unknown | tropicalis 10.0 | Chr8:68011319..68011343 | 25/25 | Sense | target | gpc4 |
| Chr1:85320242..85320266 | 21/25 | Sense | off-target | lin54 | |||
| Chr3:124942048..124942072 | 21/25 | Sense | unknown | ||||
| Publications | |||||||
| ???morpholino.displaySummary.papersFirst??? |
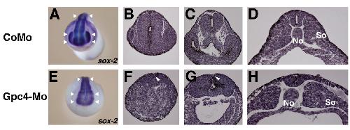
Glypican 4 modulates FGF signalling and regulates dorsoventral forebrain patterning in Xenopus embryos., Development 2003 |
||||||
| ???morpholino.displaySummary.papersRecent??? |
Cell-cell contact landscapes in Xenopus gastrula tissues., Proc Natl Acad Sci U S A 2021 |
||||||
| ???morpholino.displaySummary.papersAll??? | |||||||
