|
XB-MORPHOLINO-17249314
Morpholino Name:
creb1 MO1
Synonyms: CREB, CREB AMO
Target mRNA: creb1
Morpholino Type: uncategorized morpholino
Sequence: 5' CACTGCCTCCTCTCCGTCACATTGG 3'
Source: Gene Tools LLC
Synonyms: CREB, CREB AMO
Target mRNA: creb1
Morpholino Type: uncategorized morpholino
Sequence: 5' CACTGCCTCCTCTCCGTCACATTGG 3'
Source: Gene Tools LLC
| Target mRNA | |||||||
| Identities | |||||||
genome
MO
|
|||||||
| Genomic Alignments |
Position | Identity | Strand | Target | Target mRNA | ||
| laevis 10.1 | Chr5L:170695914..170695938 | 21/25 | Sense | unknown | |||
| Publications | |||||||
| ???morpholino.displaySummary.papersFirst??? |
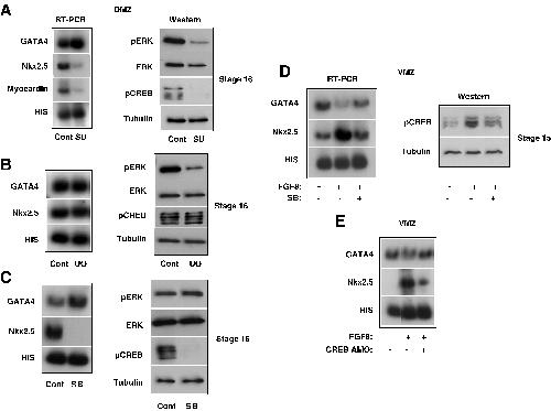
The role of maternal CREB in early embryogenesis of Xenopus laevis., Dev Biol 2003 |
||||||
| ???morpholino.displaySummary.papersRecent??? |
Neural ectoderm-secreted FGF initiates the expression of Nkx2.5 in cardiac progenitors via a p38 MAPK/CREB pathway., Dev Biol 2009 |
||||||
| ???morpholino.displaySummary.papersAll??? | |||||||
