|
XB-MORPHOLINO-17249308
Morpholino Name:
ckap5 MO2
Synonyms: XMAP215
Target mRNA: ckap5
Morpholino Type: uncategorized morpholino
Sequence: 5' TCATCCACTCGCTGTCATCCCCCAT 3'
Source: Gene Tools LLC
Synonyms: XMAP215
Target mRNA: ckap5
Morpholino Type: uncategorized morpholino
Sequence: 5' TCATCCACTCGCTGTCATCCCCCAT 3'
Source: Gene Tools LLC
| Target mRNA | tropicalis | laevis.L | |||||
| Identities | 24/25 | 25/25 | |||||
genome
MO
|
5' ATGGGGGATGACAGTGAGTGGATGA 3'
|||||||||||||| ||||||||||
3' TACCCCCTACTGTCGCTCACCTACT 5' |
5' ATGGGGGATGACAGCGAGTGGATGA 3' ||||||||||||||||||||||||| 3' TACCCCCTACTGTCGCTCACCTACT 5' |
|||||
| Genomic Alignments |
Position | Identity | Strand | Target | Target mRNA | ||
| laevis 10.1 | Chr4L:8766358..8766382 | 25/25 | Antisense | target | ckap5.L | ||
| Chr4S:14863400..14863424 | 24/25 | Sense | off-target | LOC108715250 | |||
| Chr5S:139456137..139456161 | 21/25 | Antisense | off-target | efr3b.S | tropicalis 10.0 | Chr4:12901263..12901287 | 24/25 | Antisense | target | ckap5 |
| Publications | |||||||
| ???morpholino.displaySummary.papersFirst??? |
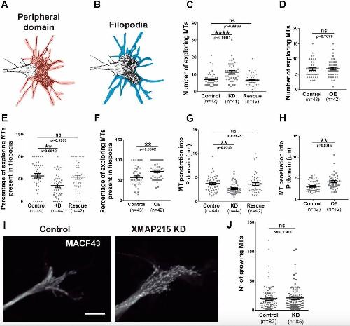
Growth cone-specific functions of XMAP215 in restricting microtubule dynamics and promoting axonal outgrowth., Neural Dev 2013 |
||||||
| ???morpholino.displaySummary.papersRecent??? |
XMAP215 promotes microtubule-F-actin interactions to regulate growth cone microtubules during axon guidance in Xenopuslaevis., J Cell Sci 2019 |
||||||
| ???morpholino.displaySummary.papersAll??? | |||||||
