|
XB-MORPHOLINO-17249262
Morpholino Name:
cdc42ep2 MO2
Synonyms: XCEP2 MO2
Target mRNA: cdc42ep2
Morpholino Type: uncategorized morpholino
Sequence: 5' GGGCCTTGGCTGACATCTTTCCA 3'
Source: Gene Tools LLC
Synonyms: XCEP2 MO2
Target mRNA: cdc42ep2
Morpholino Type: uncategorized morpholino
Sequence: 5' GGGCCTTGGCTGACATCTTTCCA 3'
Source: Gene Tools LLC
| Target mRNA | tropicalis | laevis.L | |||||
| Identities | 22/23 | 23/23 | |||||
genome
MO
|
5' TGGAAAGATGTCAGCTAAGGCCC 3'
||||||||||||||| |||||||
3' ACCTTTCTACAGTCGGTTCCGGG 5' |
5' TGGAAAGATGTCAGCCAAGGCCC 3' ||||||||||||||||||||||| 3' ACCTTTCTACAGTCGGTTCCGGG 5' |
|||||
| Genomic Alignments |
Position | Identity | Strand | Target | Target mRNA | ||
| laevis 10.1 | Chr4L:23549748..23549770 | 23/23 | Antisense | target | cdc42ep2.L | ||
| Chr4S:9869165..9869187 | 19/23 | Antisense | off-target | elp4.S | |||
| Chr8S:78241452..78241474 | 20/23 | Sense | unknown | ||||
| Chr1S:54560039..54560061 | 19/23 | Sense | unknown | ||||
| Chr7L:16641664..16641686 | 19/23 | Antisense | unknown | ||||
| Chr8S:23707652..23707674 | 19/23 | Sense | unknown | tropicalis 10.0 | Chr4:31705975..31705997 | 22/23 | Antisense | target | cdc42ep2 |
| Chr3:49079452..49079474 | 19/23 | Sense | off-target | dram1 | |||
| Chr8:69748262..69748284 | 19/23 | Antisense | off-target | fgf13 | |||
| Chr1:65848509..65848531 | 19/23 | Sense | off-target | spata5 | |||
| Chr6:46583045..46583067 | 19/23 | Sense | unknown | ||||
| Publications | |||||||
| ???morpholino.displaySummary.papersFirst??? |
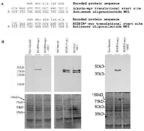
Cdc42 Effector Protein 2 (XCEP2) is required for normal gastrulation and contributes to cellular adhesion in Xenopus laevis., BMC Dev Biol 2004 |
||||||
| ???morpholino.displaySummary.papersRecent??? | |||||||
| ???morpholino.displaySummary.papersAll??? | |||||||
