Click here to close Hello! We notice that you are using Internet Explorer, which is not supported by Xenbase and may cause the site to display incorrectly. We suggest using a current version of Chrome, FireFox, or Safari.

Summary Images Attributions Wiki Source
XB-ANTIBODY-29209448

Antibody Name: S-Opsin Ab1

Common Name: anti-S-Opsin

RRID:
Synonyms: AB5407, Anti-Opsin blue

Antigens

Clone Type: Polyclonal
Source: Sigma-Aldrich

Antibody
Clone Number
Purification Affinity Purification
Isotype isotype unknown
Host Organism rabbit
Xenopus Reactivity X. laevis
Non-Xenopus Reactivity human, monkey, mouse
Description: opsins are transmembrane proteins - vertebrate color discrimination is based on cone photoreceptors. which possesses a photo-sensitive pigment-protein complex and a unique opsin protein, which gives sensitivity - short (S cone), middle (M cone), and long (L cone) wavelengths of the light spectrum.
Immunogen
Name blue opsin
Type synthetic sequence
Post Translational Modifications None
Source Organism human
Description Recombinant human blue opsin, recognizing Short-wave-sensitive opsin 1.
Sequence
Reported Usage
immunohistochemistry 1:500 dilution
Publications
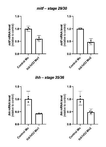
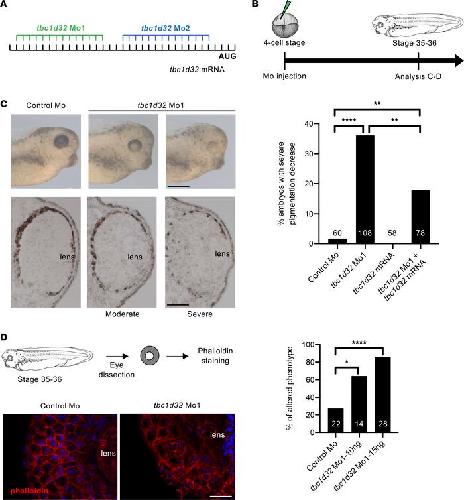
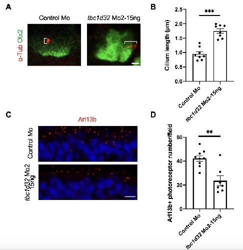
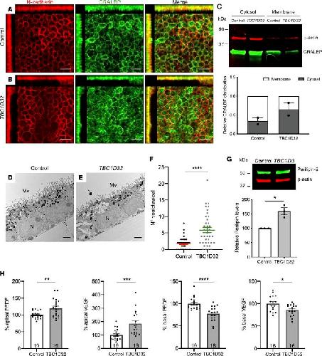
???displayAntibody.papersFirst??? TBC1D32 variants disrupt retinal ciliogenesis and cause retinitis pigmentosa., JCI Insight 2023     
???displayAntibody.papersRecent??? Regeneration from three cellular sources and ectopic mini-retina formation upon neurotoxic retinal degeneration in Xenopus., Glia 2024     
???displayAntibody.papersAll???