Click here to close Hello! We notice that you are using Internet Explorer, which is not supported by Xenbase and may cause the site to display incorrectly. We suggest using a current version of Chrome, FireFox, or Safari.

Summary Images Attributions Wiki Source
XB-ANTIBODY-29208283

Antibody Name: Cdc27 Ab2

Common Name:

RRID:
Synonyms:

Antigens

Clone Type: unknown
Source:

Antibody
Clone Number
Purification
Isotype isotype unknown
Host Organism Unknown
Xenopus Reactivity X. tropicalis, X. laevis
Non-Xenopus Reactivity human
Description: Custom made for Jean-Claude Labbé lab. Immune sera directed against human CDC27 were affinity-purified on immobilized (His)6-CDC27-Δ83N.
Immunogen
Name
Type polypeptide
Post Translational Modifications None
Source Organism frog
Description
Sequence
Reported Usage
Publications
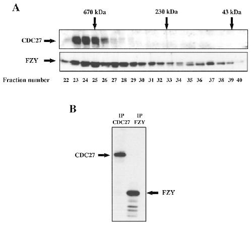
???displayAntibody.papersFirst??? Fizzy is required for activation of the APC/cyclosome in Xenopus egg extracts., EMBO J 1998     
???displayAntibody.papersRecent???
???displayAntibody.papersAll???