|
XB-ANTIBODY-23619030
|
Antibody Name:
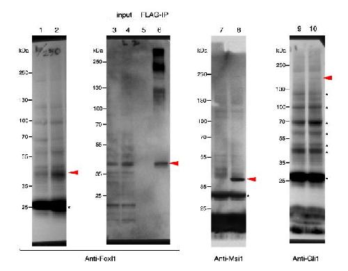
Gli1 Ab2
Common Name: GLI-1 antibody RRID: Synonyms:
Source: |
|
| Antibody | |
| Clone Number | |
| Purification | unknown how antibody is supplied |
| Isotype | isotype unknown |
| Host Organism | Unknown |
| Xenopus Reactivity | Xenopus, X. tropicalis, X. laevis |
| Non-Xenopus Reactivity | |
| Description: | Supplied by Novus Biologicals ( catalogue number and details still to be confirmed) |
| Immunogen | |
| Name | gli1 |
| Type | polypeptide |
| Post Translational Modifications | None |
| Source Organism | human |
| Description | According to the manufacturer's information, the human immunogen sequences used to raise the antibodies above are nearly identical to the X. laevis counterparts; anti- anti-Gli1 antibodies (78% to both Gli1.L and S). |
| Sequence | |
| Reported Usage | |
| Publications | |
| ???displayAntibody.papersFirst??? |
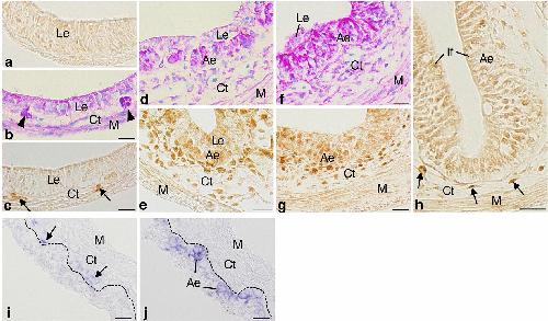
Thyroid hormone-induced expression of Foxl1 in subepithelial fibroblasts correlates with adult stem cell development during Xenopus intestinal remodeling., Sci Rep 2020 |
| ???displayAntibody.papersRecent??? | |
| ???displayAntibody.papersAll??? | |
