|
XB-ANTIBODY-22201064
|
Antibody Name:
Ror2 Ab2
Common Name: anti-Receptor Tyrosine Kinase Like Orphan Receptor 2 RRID: Synonyms: BDB, BDB1, MBS2028051, NTRKR2
Source: MyBioSource |
|
| Antibody | |
| Clone Number | |
| Purification | Affinity Purification |
| Isotype | isotype unknown |
| Host Organism | rabbit |
| Xenopus Reactivity | X. tropicalis, X. laevis |
| Non-Xenopus Reactivity | human |
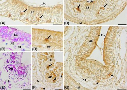
| Description: | ROR2 is a receptor tyrosine kinase of the ROR family. PMID showed that this anitbody specifically recognizes the X. laevis Ror2 protein in WB, and and stains the intestine in X. laevis via IHC. Supplied by MyBioSource, CAT# MBS2028051 |
| Immunogen | |
| Name | |
| Type | synthetic sequence |
| Post Translational Modifications | None |
| Source Organism | human |
| Description | The protein encoded by this gene is a receptor protein tyrosine kinase and type I transmembrane protein that belongs to the ROR subfamily of cell surface receptors. Recombinant ROR2 (Trp683~Val934) |
| Sequence | |
| Reported Usage | |
| western blot | |
| immunohistochemistry | |
| Publications | |
| ???displayAntibody.papersFirst??? |
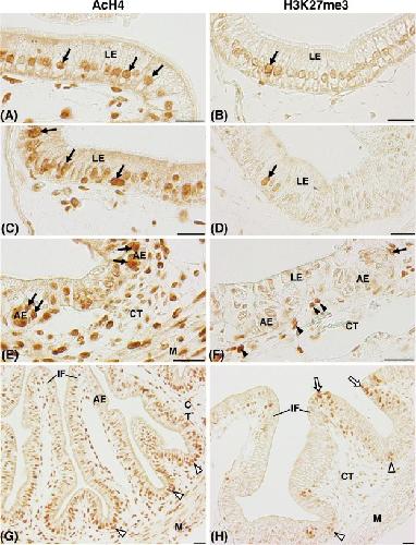
Stem cell development involves divergent thyroid hormone receptor subtype expression and epigenetic modifications in the Xenopus metamorphosing intestine., Gen Comp Endocrinol 2020 |
| ???displayAntibody.papersRecent??? | |
| ???displayAntibody.papersAll??? | |
