|
XB-ANTIBODY-18373913
|
Antibody Name:
Gap43 Ab1
Common Name: GAP43 RRID: Synonyms: sc-7458, sc7458
Source: Santa Cruz Biotechnology |
|
| Antibody | |
| Clone Number | |
| Purification | |
| Isotype | IgG |
| Host Organism | goat |
| Xenopus Reactivity | X. tropicalis, X. laevis |
| Non-Xenopus Reactivity | |
| Description: | Santa Cruz cat # sc-7458,epitope mapping near the N-terminus of GAP-43 of human origin, This antibody discontinued |
| Immunogen | |
| Name | GAP43 |
| Type | polypeptide |
| Post Translational Modifications | None |
| Source Organism | human |
| Description | |
| Sequence | |
| Reported Usage | |
| immunofluorescence | |
| immunohistochemistry | |
| Publications | |
| ???displayAntibody.papersFirst??? |
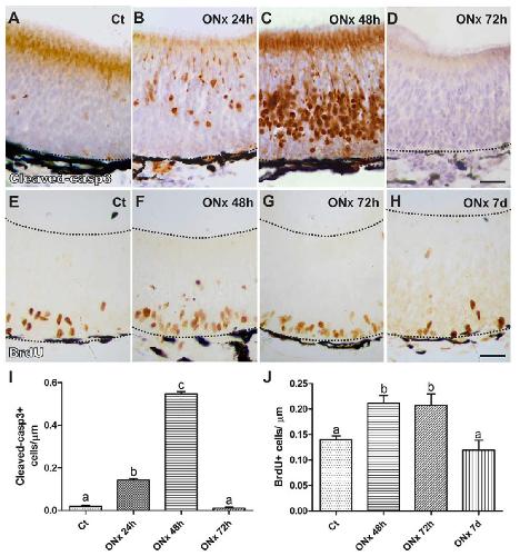
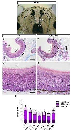
Neuronal degeneration and regeneration induced by axotomy in the olfactory epithelium of Xenopus laevis., Dev Neurobiol 2017 |
| ???displayAntibody.papersRecent??? | |
| ???displayAntibody.papersAll??? | |
