Click here to close Hello! We notice that you are using Internet Explorer, which is not supported by Xenbase and may cause the site to display incorrectly. We suggest using a current version of Chrome, FireFox, or Safari.

Summary Images Attributions Wiki Source
XB-ANTIBODY-17328350

Antibody Name: Mapk1 Ab14

Common Name: phospho-mapk

RRID:
Synonyms: 9106, Erk1/2, Phospho-p44/42 MAPK

Antigens

Clone Type: Monoclonal
Source: Cell Signaling Technology

Antibody
Clone Number E10
Purification
Isotype IgG1
Host Organism mouse
Xenopus Reactivity X. tropicalis, X. laevis
Non-Xenopus Reactivity
Description: Cell Signaling Technology Catalogue # 9106. Specificity and sensitivity of the Phospho-p44/42 MAPK (Erk1/2) (Thr202/Tyr204) (E10) Mouse mAb: This antibody reacts specifically with as little as 50 pg of phosphorylated MAP kinase and does not cross-react with up to 4µg of non-phosphorylated MAP kinase by Western blotting.
Immunogen
Name mapk1
Type synthetic sequence
Post Translational Modifications Phosphorylated
Source Organism human
Description Monoclonal antibody is produced by immunizing animals with a synthetic phosphopeptide corresponding to residues surrounding Thr202/Tyr204 of human p44 MAP kinase.
Sequence
Reported Usage
western blot
Publications
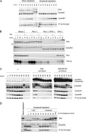
???displayAntibody.papersFirst??? Roles of Greatwall kinase in the regulation of cdc25 phosphatase., Mol Biol Cell 2008     
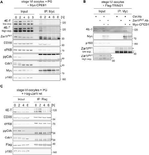
???displayAntibody.papersRecent??? The translation regulator Zar1l controls timing of meiosis in Xenopus oocytes., Development 2022     
???displayAntibody.papersAll???