Click here to close Hello! We notice that you are using Internet Explorer, which is not supported by Xenbase and may cause the site to display incorrectly. We suggest using a current version of Chrome, FireFox, or Safari.

Summary Images Attributions Wiki Source
XB-ANTIBODY-17314151

Antibody Name: Thdl17 Ab1

Common Name: XL17

RRID:
Synonyms:

Antigens
Gene: thdl17

Clone Type: Polyclonal
Source:

Antibody
Clone Number
Purification
Isotype IgG
Host Organism rabbit
Xenopus Reactivity X. tropicalis, X. laevis
Non-Xenopus Reactivity
Description: Generated by Brown Lab in 1997
Immunogen
Name Thdl17
Type synthetic sequence
Post Translational Modifications None
Source Organism rabbit
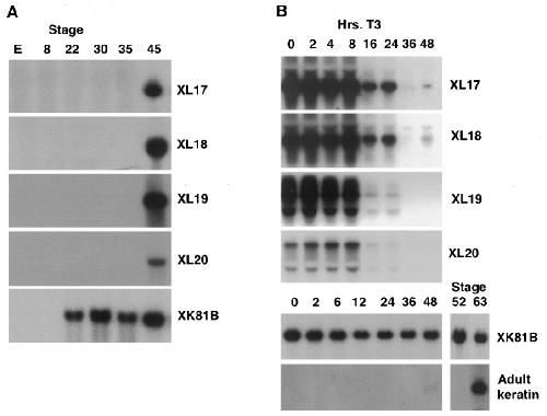
Description A peptide (VTETSDSSVEPKLYLLQNGC) corresponding to amino acids 230 –259 of XL17 was made using an Applied Biosystems 431A peptide synthesizer, coupled to preactivated keyhole limpet hemocyanin (Pierce), and dialyzed overnight against three changes of PBS
Sequence [+]
Reported Usage
immunohistochemistry 1:500
Publications
???displayAntibody.papersFirst??? A set of novel tadpole specific genes expressed only in the epidermis are down-regulated by thyroid hormone during Xenopus laevis metamorphosis., Dev Biol 1997     
???displayAntibody.papersRecent???
???displayAntibody.papersAll???