|
XB-ANTIBODY-17307198
|
Antibody Name:
Gsn Ab1
Common Name: Gelsolin RRID: Synonyms:
Source: |
|
| Antibody | |
| Clone Number | |
| Purification | |
| Isotype | IgG |
| Host Organism | guinea pig |
| Xenopus Reactivity | X. tropicalis, X. laevis |
| Non-Xenopus Reactivity | |
| Description: | Generated by Franke Lab in 1988 |
| Immunogen | |
| Name | |
| Type | polypeptide |
| Post Translational Modifications | None |
| Source Organism | frog |
| Description | |
| Sequence | |
| Reported Usage | |
| western blot | |
| immunofluorescence | |
| immunohistochemistry | |
| Publications | |
| ???displayAntibody.papersFirst??? |
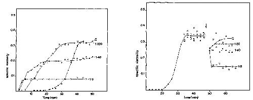
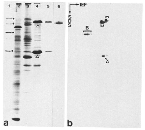
Proteins regulating actin assembly in oogenesis and early embryogenesis of Xenopus laevis: gelsolin is the major cytoplasmic actin-binding protein., J Cell Biol 1988 |
| ???displayAntibody.papersRecent??? | |
| ???displayAntibody.papersAll??? | |
