Click here to close Hello! We notice that you are using Internet Explorer, which is not supported by Xenbase and may cause the site to display incorrectly. We suggest using a current version of Chrome, FireFox, or Safari.

Summary Images Attributions Wiki Source
XB-ANTIBODY-17251661

Antibody Name: Cdt1 Ab1

Common Name: XCDT1

RRID:
Synonyms:

Antigens

Clone Type: Polyclonal
Source:

Antibody
Clone Number
Purification Affinity Purification
Isotype isotype unknown
Host Organism rabbit
Xenopus Reactivity X. tropicalis, X. laevis
Non-Xenopus Reactivity
Description: XCDT1 polyclonal antibodies were raised in rabbits against recombinant 6His(Delta)XCDT1 protein further purified by SDS-PAGE.
Immunogen
Name cdt1
Type polypeptide
Post Translational Modifications None
Source Organism frog
Description
Sequence
Reported Usage
western blot
Publications
???displayAntibody.papersFirst??? XCDT1 is required for the assembly of pre-replicative complexes in Xenopus laevis., Nature 2000  
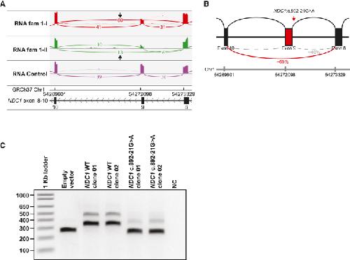
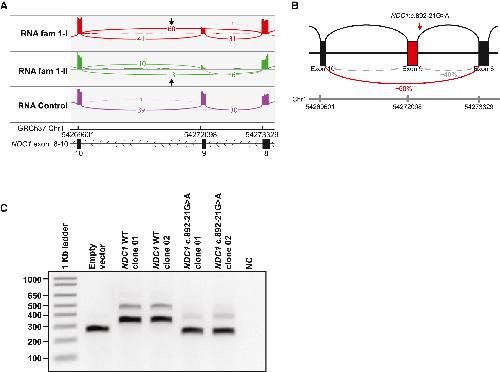
???displayAntibody.papersRecent??? Biallelic NDC1 variants that interfere with ALADIN binding are associated with neuropathy and triple A-like syndrome., HGG Adv 2024     
???displayAntibody.papersAll???