Click here to close Hello! We notice that you are using Internet Explorer, which is not supported by Xenbase and may cause the site to display incorrectly. We suggest using a current version of Chrome, FireFox, or Safari.

Summary Images Attributions Wiki Source
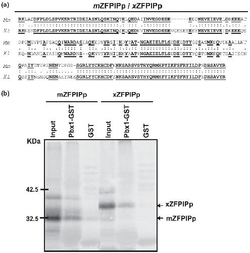
XB-ANTIBODY-17250729

Antibody Name: ZNF462 Ab1

Common Name: ZFPIP

RRID:
Synonyms: xZFPIP

Antigens
Gene: znf462

Clone Type: Polyclonal
Source:

Antibody
Clone Number
Purification
Isotype IgG
Host Organism rabbit
Xenopus Reactivity X. tropicalis, X. laevis
Non-Xenopus Reactivity
Description: Generated by Pellerin Lab in 2009
Immunogen
Name ZNF462
Type polypeptide
Post Translational Modifications None
Source Organism frog
Description
Sequence
Reported Usage
western blot
Publications
???displayAntibody.papersFirst??? Interaction of ZFPIP with PBX1 is crucial for proper expression of neural genetic markers during Xenopus development., Dev Growth Differ 2009     
???displayAntibody.papersRecent???
???displayAntibody.papersAll???