Click here to close Hello! We notice that you are using Internet Explorer, which is not supported by Xenbase and may cause the site to display incorrectly. We suggest using a current version of Chrome, FireFox, or Safari.

Summary Images Attributions Wiki Source
XB-ANTIBODY-16331261

Antibody Name: Uts2r Ab1

Common Name: UTR

RRID:
Synonyms:

Antigens
Gene: uts2r
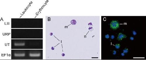
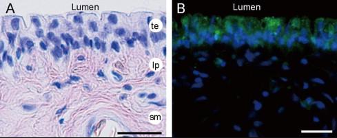
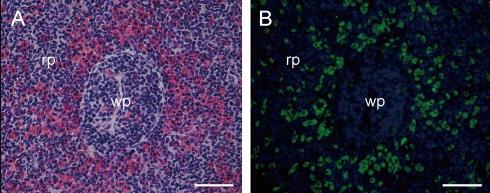
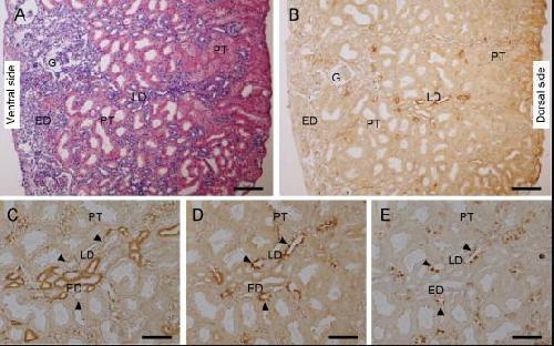
XAO: lung, bladder, late distal tubule, spleen, chondrocyte

Clone Type: Polyclonal
Source:

Antibody
Clone Number
Purification Affinity Purification
Isotype IgG
Host Organism rabbit
Xenopus Reactivity X. tropicalis
Non-Xenopus Reactivity
Description: Generated by Uchiyama lab in 2013
Immunogen
Name Uts2r
Type synthetic sequence
Post Translational Modifications None
Source Organism frog
Description synthetic peptide RVSGRSMSTSSQQC which corresponds to AA 324-337 of Xenopus UTR
Sequence [+]
Reported Usage
immunofluorescence
western blot
Publications
???displayAntibody.papersFirst??? Urotensin II receptor (UTR) exists in hyaline chondrocytes: a study of peripheral distribution of UTR in the African clawed frog, Xenopus laevis., Gen Comp Endocrinol 2013     
???displayAntibody.papersRecent???
???displayAntibody.papersAll???