Click here to close Hello! We notice that you are using Internet Explorer, which is not supported by Xenbase and may cause the site to display incorrectly. We suggest using a current version of Chrome, FireFox, or Safari.

Summary Images Attributions Wiki Source
XB-ANTIBODY-15887679

Antibody Name: Rho Ab3

Common Name: Rhodopsin

RRID: AB_2315277
Synonyms: B6-30N, B630N

Antigens
Gene: rho
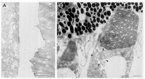
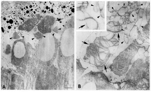
XAO: eye, photoreceptor layer, eye photoreceptor cell, retinal rod cell

Clone Type: Monoclonal
Source:

Antibody
Clone Number B6-30N
Purification
Isotype isotype unknown
Host Organism mouse
Xenopus Reactivity X. tropicalis, X. laevis
Non-Xenopus Reactivity
Description: antibody gifted by W. Clay Smith and Paul Hargrave
Immunogen
Name Rhodopsin
Type polypeptide
Post Translational Modifications None
Source Organism Other
Description
Sequence
Reported Usage
immunofluorescence
Publications
???displayAntibody.papersFirst??? Photoreceptor outer segment development in Xenopus laevis: influence of the pigment epithelium., Dev Biol 1994     
???displayAntibody.papersRecent??? Modeling Dominant and Recessive Forms of Retinitis Pigmentosa by Editing Three Rhodopsin-Encoding Genes in Xenopus Laevis Using Crispr/Cas9., Sci Rep 2017     
???displayAntibody.papersAll???