Click here to close Hello! We notice that you are using Internet Explorer, which is not supported by Xenbase and may cause the site to display incorrectly. We suggest using a current version of Chrome, FireFox, or Safari.

Summary Images Attributions Wiki Source
XB-ANTIBODY-14586986

Antibody Name: Rpsa Ab1

Common Name: Laminin Receptor

RRID:
Synonyms: 37-kD Laminin Receptor, 67-kD Laminin Receptor, LR

Antigens
XAO: intestine

Clone Type: Polyclonal
Source:

Antibody
Clone Number
Purification
Isotype IgG
Host Organism rabbit
Xenopus Reactivity X. tropicalis, X. laevis
Non-Xenopus Reactivity
Description: Generated by Shi lab in 2005
Immunogen
Name LR
Type polypeptide
Post Translational Modifications None
Source Organism frog
Description raised against full-length Xenopus LR from Covance
Sequence
Reported Usage
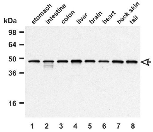
western blot 1:10,000, 47kDa
immunohistochemistry 1:4000
Publications
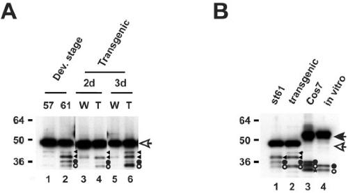
???displayAntibody.papersFirst??? Spatio-temporal regulation and cleavage by matrix metalloproteinase stromelysin-3 implicate a role for laminin receptor in intestinal remodeling during Xenopus laevis metamorphosis., Dev Dyn 2005     
???displayAntibody.papersRecent???
???displayAntibody.papersAll???