|
XB-ANTIBODY-14586981
|
Antibody Name:
Znf208 Ab2
Common Name: Fin RRID: Synonyms: xFin, xFin2
Source: |
|
| Antibody | |
| Clone Number | |
| Purification | |
| Isotype | IgG |
| Host Organism | rabbit |
| Xenopus Reactivity | X. tropicalis, X. laevis |
| Non-Xenopus Reactivity | |
| Description: | Generated by Barsacchi lab in 1991 |
| Immunogen | |
| Name | |
| Type | |
| Post Translational Modifications | None |
| Source Organism | |
| Description | |
| Sequence | |
| Reported Usage | |
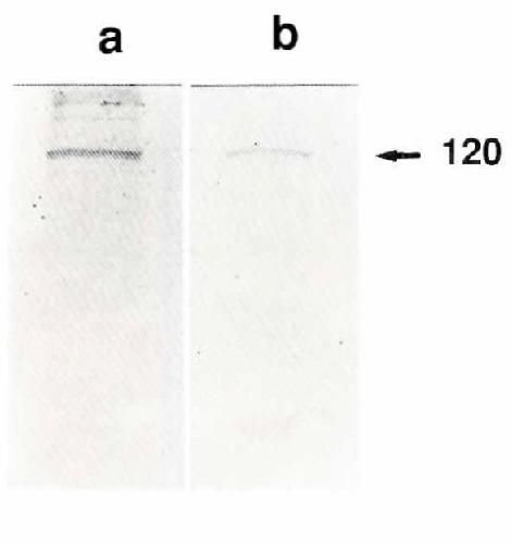
| western blot | 120kDa |
| Publications | |
| ???displayAntibody.papersFirst??? |
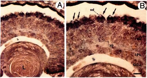
A Xenopus multifinger protein, Xfin, is expressed in specialized cell types and is localized in the cytoplasm., Mech Dev 1991 |
| ???displayAntibody.papersRecent??? |
A Zn-finger protein, Xfin, is expressed during cone differentiation in the retina of the frog Xenopus laevis., Int J Dev Biol 1993 |
| ???displayAntibody.papersAll??? | |
