Click here to close Hello! We notice that you are using Internet Explorer, which is not supported by Xenbase and may cause the site to display incorrectly. We suggest using a current version of Chrome, FireFox, or Safari.

Summary Images Attributions Wiki Source
XB-ANTIBODY-14579657

Antibody Name: Gut Ab1

Common Name:

RRID:
Synonyms: Gut 4G6.2G8

Antigens
XAO: alimentary system

Clone Type: Monoclonal
Source:

Antibody
Clone Number 4G6.2G8
Purification
Isotype isotype unknown
Host Organism mouse
Xenopus Reactivity X. tropicalis, X. laevis
Non-Xenopus Reactivity
Description: Supplied by EXRC
Immunogen
Name Gut
Type homogenized tissue
Post Translational Modifications None
Source Organism frog
Description
Sequence
Reported Usage
immunohistochemistry
Publications
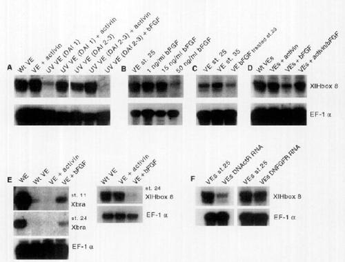
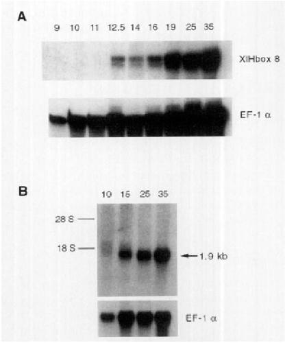
???displayAntibody.papersFirst??? Autonomous endodermal determination in Xenopus: regulation of expression of the pancreatic gene XlHbox 8., Dev Biol 1995     
???displayAntibody.papersRecent??? Mesoderm and endoderm differentiation in animal cap explants: identification of the HNF4-binding site as an activin A responsive element in the Xenopus HNF1alpha promoter., Development 1996     
???displayAntibody.papersAll???