Click here to close
Hello! We notice that you are using Internet Explorer, which is not supported by Xenbase and may cause the site to display incorrectly.
We suggest using a current version of Chrome,
FireFox, or Safari.
???displayArticle.abstract???
The Mix/Bix family of Pax-like homeodomain transcription factors is expressed early in vertebrate development and play important roles in endoderm and mesoderm formation. Like other Pax-related homeodomain proteins, the Mix/Bix family binds DNA as monomers or dimers and dimerization is mediated by the homeodomain. While the Mix/Bix family shares extensive sequence homology within the DNA-binding homeodomain, ectopic expression of these proteins has profoundly different outcomes. Expression of Xenopus Mix.3/Mixer in explanted ectoderm results in endoderm differentiation, whereas Mix.1 expression does not. In this study we sought to define the domains of Mix.3/Mixer that are responsible for this endoderm inducing activity. We generated domain swap mutants between Mix.3/Mixer and Mix.1 and tested their ability to induce endoderm in explanted ectoderm. We demonstrate that the homeodomain and sixty-two amino acids in the carboxyl terminus are required to induce endoderm and that these domains must be on the same polypeptide and can not act in trans as a heterodimer. A Smad2 interaction motif in Mix.3/Mixer is involved in endoderm differentiation but is not essential. Thus, we have defined the regions of Mix.3/Mixer that confer endoderm-inducing activity. These studies reveal a novel co-operation between the homeodomain and a small domain in the carboxyl terminal region that is essential for Mix.3/Mixer function.
???displayArticle.pubmedLink???
16330190
???displayArticle.link???Mech Dev ???displayArticle.grants???[+]
Fig. 2. Animal cap assays of Mix mutants demonstrating that the homeodomain and carboxyl terminus of Mix.3 co-operate to induce endoderm. (A) Schematic diagram of the animal cap assay. Mix mRNA (1 ng) is injected into single cell fertilized embryos and incubated until stage 8. The animal polepresumptive ectoderm is dissected and incubated for five days until sibling stage 36. Total RNA is harvested from the caps, reverse transcribed and endoderm specific genes are PCR amplified. Endoderm genes examined are intestinal fatty acid binding proteins (IFABP), endodermin (edd), and GATA-5. Ornithine decarboxylase (ODC) is a control for RNA recovery. Uninjected caps, whole embryos (WE) and whole embryos minus reverse transcriptase are run in all experiments as controls. Neither Mix.1 nor Mix.3 truncation mutants induce endoderm specific genes in animal cap assays (M1HD, M3HD). (B) Homeodomain and carboxyl termini swap mutants do not induce endoderm genes in animal cap assays (M113, M331, M131 and M313). (C) Homeodomain and carboxyl terminus of Mix.3 are necessary (M133) to induce endoderm genes in animal cap assays.
Fig. 3. The homeodomain and carboxyl terminus of Mix.3 must be on the same protein to co-operate. Mutants containing the Mix.3 homeodomain (M131) and the carboxyl terminus (M313) were co-injected into embryos for animal cap assays. The mutants alone or together are unable to induce endodermin indicating that the Mix.3 homeodomain and the Mix.3 C-terminus must be present on the same polypeptide.
Fig. 4. Mix.1 and Mix.3 homeodomains have very similar amino acid sequences but are not functionally equivalent. (A) Comparison of the Mix.1 and Mix.3 homeodomains. Stars and numbers indicate amino acid residues that were mutated. (B) Animal cap assay of Mix.3 homeodomain mutants. Arginine 125 in Mix.3 was changed to the corresponding residues in Mix.1, histidine (R125H). DNA binding activity was disrupted by changing valine 135 to alanine (V135A) similar to the zebrafish bonnie and clyde mutant. Tryptophan, phenyalanine and aspartic acid (WFQ) were changed to alanines to disrupt the DNA binding of helix 3 (WFQ-AAA). (C) Electrophoretic mobility gel shift assay of in vitro transcribed and translated homeodomain mutants. The Mix binding site P3 (TAATTGAATTA) was used for a probe. HD is the Mix.1 homeodomain and TnT contains rabbit reticulocyte lysate transcription/translation reaction without Mix cDNA.
Fig. 5. The Smad2 binding domain (SBD) of Mix.3 is involved in endoderm induction. (A) Yeast two-hybrid analysis of Mix.3 and M1PPT interaction with xSmad2. Mix genes fused to the Gal 4 DNA binding domain were expressed with xSmad2 fused to the Gal4 activation domain in yeast and cultured on two drop out (2DO) and four drop out (4DO) selection agar plates. Growth on the non-selective media (2DO) indicates that all the yeast strains are viable. Only the wild type Mix.3 and the Mix.1 mutant with the added SDB (M1PPT) supported growth on the selective (4DO) media indicating interaction with Xenopus Smad2. (B) Mix.3 with a SBD mutation (M3QTN) and Mix.1 with an added SBD (M1PPT) were assayed for endoderm induction in animal cap assays. One nanogram of RNA was injected and caps were harvested at stage 35. (C) Lower amounts of RNA were injected into embryos (0.5 and 0.1 ng) and caps were harvested at stage 35. Levels of edd normalized to ODC were assayed by real-time PCR. Edd levels were undectable in uninjected cap cDNA (*). (D) A dose response of Mix.3 and M3QTN RNA (0.1, 0.5 and 1 ng) for induction of Sox17α in stage 11.5 animal caps. Sox17α was detected by real-time PCR and normalized to ODC.
Fig. 6. (A) Animal cap assay demonstrating that truncation of the acidic domain from Mix.3 (M3Δ58) destroys endoderm inducing activity. (B) Schematic diagram of the acidic domain swap mutants. The carboxyl terminal sixty-two amino acids of Mix.3 was swapped onto M131 to generate M131.3 and the carboxyl terminal fifty-nine amino acids of Mix.1 was swapped onto M333 to generate M333.1. Animal cap assays demonstrate that the homeodomain and acidic domain of Mix.3 are sufficient for endoderm induction (M131.3) whereas the acidic domain of Mix.1 is not (M333.1).
Fig. 7. Induction of early endoderm markers by the Mix swap mutants correlates with the induction of late endoderm markers. RNA (0.1 ng) was injected and animal caps were harvested at stage 11.5. The early endoderm markers, Sox17α (A), and Darmin (B), were detected by real-time PCR and normalized to ODC levels. Error bars represent standard deviation of mean of duplicate reactions. Shown is a representative of three experiments.
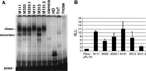
Fig. 8. (A) Electrophorectic mobility gel shift assay of Mix.3 swap mutants demonstrating that all of the mutants retain DNA binding capability. In vitro transcribed and translated proteins shifted the Mix binding site P3 (TAATTGAATTA). HD is the Mix.1 homeodomain and TnT contains rabbit reticulocyte lysate transcription/translation reaction without Mix cDNA. (B) Luciferase transcriptional assay of Mix.3 swap mutants. A Mix.3 responsive promoter, which contained three P3 sites and a minimal promoter (TATA box), driving luciferase gene expression (P3luc) was co-injected with a Renilla luciferase internal control plasmid (pRL-TK) either with or without Mix synthetic mRNA. Pools of embryos were harvested at stage 11 and assayed for luciferase activity. Luciferase activity was normalized to embryos injected with reporter constructs without Mix mRNA. Shown is the combined average of three separate experiments. All of the mutants show some transcriptional activity although high-levels of activity do not correlate with endoderm induction.
Fig. 9. Embryos were injected in one blastomere at the two cell stage with Mix.3 mRNA constructs (0.5 ng) together with β-galactosidase as a lineage tracer, Mix.3, M3Δ58, M3QTN, M3WFQ and β-galactosidase alone. Embryos were fixed at stage 11 and stained with Red-gal (red stain=β-gal) and then subjected to in situ hybridization for Xbra expression (blue stain=Xbra).
Fig. 10. Mix.3 mutants induce the ectopic expression of endodermin (edd) in whole embryos. Single cell fertilized embryos were injected with Mix RNA (1 ng) and assayed for endodermin expression by in situ hybridization at stage 36. Embryos were injected with M111 (B), M333 (C), M131 (D), M131.3 (E) and M313 (F) or left uninjected (A). Mutants that induce endoderm marker expression in the animal cap assays (M333 and M131.3) also induce ectopic expression of endodermin in the whole embryo (C and E, respectively).