Click here to close
Hello! We notice that you are using Internet Explorer, which is not supported by Xenbase and may cause the site to display incorrectly.
We suggest using a current version of Chrome,
FireFox, or Safari.
Tyrosine decaging leads to substantial membrane trafficking during modulation of an inward rectifier potassium channel.
Tong Y
,
Brandt GS
,
Li M
,
Shapovalov G
,
Slimko E
,
Karschin A
,
Dougherty DA
,
Lester HA
.
???displayArticle.abstract???
Tyrosine side chains participate in several distinct signaling pathways, including phosphorylation and membrane trafficking. A nonsense suppression procedure was used to incorporate a caged tyrosine residue in place of the natural tyrosine at position 242 of the inward rectifier channel Kir2.1 expressed in Xenopus oocytes. When tyrosine kinases were active, flash decaging led both to decreased K(+) currents and also to substantial (15-26%) decreases in capacitance, implying net membrane endocytosis. A dominant negative dynamin mutant completely blocked the decaging-induced endocytosis and partially blocked the decaging-induced K(+) channel inhibition. Thus, decaging of a single tyrosine residue in a single species of membrane protein leads to massive clathrin-mediated endocytosis; in fact, membrane area equivalent to many clathrin-coated vesicles is withdrawn from the oocyte surface for each Kir2.1 channel inhibited. Oocyte membrane proteins were also labeled with the thiol-reactive fluorophore tetramethylrhodamine-5-maleimide, and manipulations that decreased capacitance also decreased surface membrane fluorescence, confirming the net endocytosis. In single-channel studies, tyrosine kinase activation decreased the membrane density of active Kir2.1 channels per patch but did not change channel conductance or open probability, in agreement with the hypothesis that tyrosine phosphorylation results in endocytosis of Kir2.1 channels. Despite the Kir2.1 inhibition and endocytosis stimulated by tyrosine kinase activation, neither Western blotting nor (32)P labeling produced evidence for direct tyrosine phosphorylation of Kir2.1. Therefore, it is likely that tyrosine phosphorylation affects Kir2.1 function indirectly, via interactions between clathrin adaptor proteins and a tyrosine-based sorting motif on Kir2.1 that is revealed by decaging the tyrosine side chain. These interactions inhibit a fraction of the Kir2.1 channels, possibly via direct occlusion of the conduction pathway, and also lead to endocytosis, which further decreases Kir2.1 currents. These data establish that side chain decaging can provide valuable time-resolved data about intracellular signaling systems.
Figure 1. Topology of Kir2.1 from Mus musculus (GenBank accession number X73052). The sequence surrounding the tyrosine-242 contains consensus sequences for both tyrosine phosphorylation and tyrosine-based interaction with clathrin adaptor proteins. Other consensus endocytosis sequences are also shown.
Figure 2. Whole-cell current from oocytes expressing Kir2.1 (A) and Kir2.1-Y242F (B). Data columns represent normalized currents (mean ± SEM, 4–5 oocytes). Where indicated, oocytes were coinjected with cRNA for tyrosine kinases v-Src or PyK2 and incubated with 10 μM PAO for at least 30 min before recording. 100% corresponds to 13.3 μA in A and 31.4 μA in B.
Figure 3. Conditions favoring tyrosine phosphorylation do not change single-channel conductance of WT Kir2.1. (A) Traces showing exemplar single-channel currents from cell-attached patches at −100 mV. The arrows point to the closed states and to the open states for control oocytes (left) and for oocytes coinjected with v-Src and treated with PAO (right). (B) Normalized all-points amplitude histograms for exemplar patches. Data from an oocyte injected with Kir2.1 alone are shown as heavy lines, and data from an oocyte injected with Kir2.1 + v-Src and exposed to PAO are shown as light lines.
Figure 4. Inhibition of current and decrease of capacitance in oocytes expressing Kir2.1-Y242TAG suppressed with Tyr(ONB). (A) Typical current traces from individual oocytes. The left panel shows the effect of irradiating an oocyte (3 s at arrow) that is neither coexpressing v-Src nor exposed to PAO. The center panel shows the effect of coexpression of v-Src and exposure to PAO, but no irradiation of the oocyte. The right panel shows traces from an oocyte coexpressing v-Src, exposed to PAO, and irradiated. Oocytes were clamped at 0 mV and stepped to −80 mV to elicit an inward current. Bath solutions contained 96 mM KCl. Time after irradiation is shown. (B) Plots of current and capacitance versus time from the individual oocytes in A. (C) Averaged data from batches of oocytes recorded at t = 30 min. The filled bars correspond to the left-hand y-axis, indicating normalized current decrease. Average values (and ranges) for 100% current were 8.7 (5.5–13), 6.5 (4.5–10.4), and 6.6 (1.6–15.5) μA for the three groups (left to right). The hollow bars correspond to the right-hand y-axis, indicating capacitance decrease. Average values (and ranges) for 100% capacitance were 190 (159–227), 187 (167–202), and 194 (132–234) nF for the three groups (left to right). Error bars indicate SEM, n = 4–6 oocytes.
Figure 5. Dynamin expression distinguishes inhibition of the channel from endocytosis. (A) Current and capacitance data from representative oocytes coexpressing v-Src and Kir2.1-Y242TAG suppressed with Tyr(ONB) and treated with PAO. Data were recorded 48 h after injection. (Left) An oocyte without coinjected dynamin cRNA. (Center) An oocyte coinjected with 10 ng WT dynamin cRNA. The capacitance decrease for this cell was unusually large. (Right) An oocyte coinjected with 10 ng dominant negative dynamin-K44A. (B) Data for current and capacitance for oocytes recorded 30 min after irradiation (mean ± SEM, n = 5). Left-hand y-axis and full bars represent normalized current decrease. Average values (and ranges) for 100% were 4.1 (3.15–4.8), 3.1 (2.8–3.7), and 4.1 (3.0–5.7) μA for the three groups (left to right). Right-hand axis corresponds to hollow bars, representing normalized capacitance decrease. The rightmost column shows capacitance change of uninjected control oocytes. Average values (and ranges) for 100% capacitance were 197 (191–205), 225 (191–248), 189 (174–199), and 197 (190–209) nF for the four groups (left to right). Error bars represent SEM.
Figure 6. Fluorescence analysis of membrane retrieval. (A) Confocal image of two oocytes labeled with 10 μM tetramethylrhodamine-5-maleimide, a membrane-impermeant thiol-reactive fluorophore. The oocyte at left was injected with v-Src and Kir2.1-Y242TAG suppressed with Tyr(ONB). The oocyte on the right was not injected. (B) Fluorescence measurements for individual oocytes coexpressing v-Src and Kir2.1 Y242Tyr(ONB) and exposed to PAO. Oocytes were labeled with 10 μM tetramethylrhodamine-5-maleimide for 30 min before recording. Fluorescence is measured as PMT output voltage. As indicated, controls included omission of coinjected v-Src and omission of irradiation. (C) Normalized, average fluorescence change at t = 30 min for oocytes expressing Kir2.1-Y242TAG suppressed with Tyr(ONB) and treated with PAO, and then labeled with tetramethylrhodamine maleimide. The first column represents a control in which oocytes were not coinjected with v-Src. In all other columns, oocytes expressed the Kir2.1-Y242Tyr(ONB) along with v-Src. The second column represents a control in which oocytes were not irradiated. In the third column, no exogenous dynamin was added. The fourth column shows oocytes coexpressing WT dynamin. The fifth column represents oocytes coexpressing dynamin-K44A. Each bar represents six or seven oocytes. The average values (and ranges) for 100% fluorescence were 5.76 (3–9.5), 5.74 (3.5–7.2), 6.45 (3.7–9.5), 5.60 (3.93–6.92), and 5.62 (1–9.7) V.
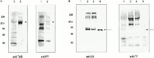
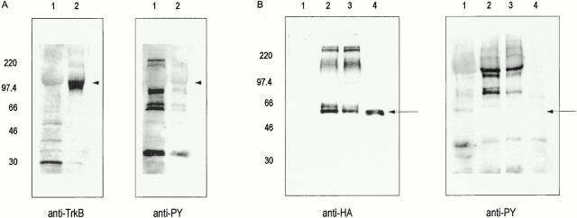
Figure 7. Western blotting shows that Kir2.1 appears not to be phosphorylated on tyrosine, where detection of TrkB phosphorylation serves as a control for the method. The experiment is typical of at least six similar results. (A) Western blot of membranes from oocytes expressing TrkB shows positive staining with both anti-TrkB and anti-PY antibodies. (Lane 1) Uninjected oocytes; and (lane 2) TrkB. Nitrocellulose blot is stained on the left with C14 anti-TrkB antibody, and on the right with 4G10 antiphosphotyrosine antibody. Lane 1 has been loaded with 50% more membrane protein than lane 2 (which received protein from membrane dissected from 21 oocytes), to emphasize the absence of an endogenous phosphorylated band at the position of TrkB. Arrowheads indicate TrkB. (B) Western blot of membranes from oocytes expressing epitope-tagged Kir2.1 shows positive staining with anti-HA antibody, but not with the antiphosphotyrosine antibody 4G10. (Lane 1) Uninjected oocytes; (lane 2) Kir2.1-HA; (lane 3) Kir2.1Y242F-HA; and (lane 4) Kir2.1-HA prepared by in vitro translation from wheat germ extract. Nitrocellulose blot is stained on the left with BAbCo HA.11 antihemagglutinin antibody, and on the right with 4G10 antiphosphotyrosine antibody. Arrows indicate Kir2.1. Lanes 1–3 contain protein from membranes dissected from 21–23 oocytes.
Figure 8. Schematic interpretation of the experiments. Irradiation leads to decaging of Tyr242 of Kir 2.1. Pathway A shows direct phosphorylation of the newly revealed tyrosine, which may be reversible/transient. Failure to observe phosphotyrosine directly makes this pathway unlikely. Pathways B and C involve the μ subunit of AP-1, AP-2, or AP-3 or a similar molecule. In pathway B the adaptor protein (AP) is phosphorylated, which enables it to bind to the now available tyrosine-based interaction motif of Kir 2.1 and inhibit the channel. Endocytosis follows. Pathway C includes phosphorylation of an unspecified protein, which, in combination with the adaptor protein, binds to and inhibits Kir 2.1 and leads to endocytosis.
Boll,
Sequence requirements for the recognition of tyrosine-based endocytic signals by clathrin AP-2 complexes.
1996, Pubmed
Boll,
Sequence requirements for the recognition of tyrosine-based endocytic signals by clathrin AP-2 complexes.
1996,
Pubmed
Bourinet,
Protein kinase C regulation of cardiac calcium channels expressed in Xenopus oocytes.
1992,
Pubmed
,
Xenbase
Chao,
Neurotrophin receptors: a window into neuronal differentiation.
1992,
Pubmed
Chen,
Activation of Src family kinase activity by the G protein-coupled thrombin receptor in growth-responsive fibroblasts.
1994,
Pubmed
Curley,
Caged regulators of signaling pathways.
1999,
Pubmed
Curley,
Light-activated proteins.
1999,
Pubmed
Damke,
Induction of mutant dynamin specifically blocks endocytic coated vesicle formation.
1994,
Pubmed
Dikic,
A role for Pyk2 and Src in linking G-protein-coupled receptors with MAP kinase activation.
1996,
Pubmed
England,
Site-specific, photochemical proteolysis applied to ion channels in vivo.
1997,
Pubmed
,
Xenbase
Eskandari,
Number of subunits comprising the epithelial sodium channel.
1999,
Pubmed
,
Xenbase
Felsch,
Activation of protein tyrosine kinase PYK2 by the m1 muscarinic acetylcholine receptor.
1998,
Pubmed
Glenney,
Ligand-induced endocytosis of the EGF receptor is blocked by mutational inactivation and by microinjection of anti-phosphotyrosine antibodies.
1988,
Pubmed
Haucke,
AP-2 recruitment to synaptotagmin stimulated by tyrosine-based endocytic motifs.
1999,
Pubmed
Hirsch,
Regulation of Na+/glucose cotransporter expression by protein kinases in Xenopus laevis oocytes.
1996,
Pubmed
,
Xenbase
Holmes,
Tyrosine phosphorylation of the Kv1.3 potassium channel.
1996,
Pubmed
Holmes,
Association of Src tyrosine kinase with a human potassium channel mediated by SH3 domain.
1996,
Pubmed
Huang,
Direct activation of inward rectifier potassium channels by PIP2 and its stabilization by Gbetagamma.
1998,
Pubmed
,
Xenbase
Huyer,
Mechanism of inhibition of protein-tyrosine phosphatases by vanadate and pervanadate.
1997,
Pubmed
Isom,
Structure and function of the beta 2 subunit of brain sodium channels, a transmembrane glycoprotein with a CAM motif.
1995,
Pubmed
,
Xenbase
Ivanina,
Phosphorylation by protein kinase A of RCK1 K+ channels expressed in Xenopus oocytes.
1994,
Pubmed
,
Xenbase
Jonas,
Regulation of potassium channels by protein kinases.
1996,
Pubmed
Kirchhausen,
Linking cargo to vesicle formation: receptor tail interactions with coat proteins.
1997,
Pubmed
Kubo,
Primary structure and functional expression of a mouse inward rectifier potassium channel.
1993,
Pubmed
,
Xenbase
Levitan,
Modulation of ion channels by protein phosphorylation. How the brain works.
1999,
Pubmed
Li,
An intermediate state of the gamma-aminobutyric acid transporter GAT1 revealed by simultaneous voltage clamp and fluorescence.
2000,
Pubmed
,
Xenbase
Ling,
Enhanced activity of a large conductance, calcium-sensitive K+ channel in the presence of Src tyrosine kinase.
2000,
Pubmed
Marriott,
Caged peptides and proteins: new probes to study polypeptide function in complex biological systems.
1999,
Pubmed
Miller,
Flash decaging of tyrosine sidechains in an ion channel.
1998,
Pubmed
,
Xenbase
Müllner,
Heterologous facilitation of G protein-activated K(+) channels by beta-adrenergic stimulation via cAMP-dependent protein kinase.
2000,
Pubmed
,
Xenbase
Naruse,
Effects of PS1 deficiency on membrane protein trafficking in neurons.
1998,
Pubmed
Nehring,
Neuronal inwardly rectifying K(+) channels differentially couple to PDZ proteins of the PSD-95/SAP90 family.
2000,
Pubmed
Noren,
A general method for site-specific incorporation of unnatural amino acids into proteins.
1989,
Pubmed
Nowak,
In vivo incorporation of unnatural amino acids into ion channels in Xenopus oocyte expression system.
1998,
Pubmed
,
Xenbase
Nowak,
Nicotinic receptor binding site probed with unnatural amino acid incorporation in intact cells.
1995,
Pubmed
,
Xenbase
Ohno,
The medium subunits of adaptor complexes recognize distinct but overlapping sets of tyrosine-based sorting signals.
1998,
Pubmed
Owen,
A structural explanation for the recognition of tyrosine-based endocytotic signals.
1998,
Pubmed
Pafford,
Effects of the protein tyrosine phosphatase inhibitor phenylarsine oxide on excision-activated calcium channels in Lymnaea neurons.
1995,
Pubmed
Pan,
Caged cysteine and thiophosphoryl peptides.
1997,
Pubmed
Peters,
Syntaxin 1A inhibits regulated CFTR trafficking in xenopus oocytes.
1999,
Pubmed
,
Xenbase
Quick,
Second messengers, trafficking-related proteins, and amino acid residues that contribute to the functional regulation of the rat brain GABA transporter GAT1.
1997,
Pubmed
,
Xenbase
Ramjeesingh,
Novel method for evaluation of the oligomeric structure of membrane proteins.
1999,
Pubmed
,
Xenbase
Rodríguez-Tarduchy,
Apoptosis but not other activation events is inhibited by a mutation in the transmembrane domain of T cell receptor beta that impairs CD3zeta association.
1996,
Pubmed
Rogalski,
TrkB activation by brain-derived neurotrophic factor inhibits the G protein-gated inward rectifier Kir3 by tyrosine phosphorylation of the channel.
2000,
Pubmed
,
Xenbase
Ruppersberg,
Complexity of the regulation of Kir2.1 K+ channels.
1996,
Pubmed
,
Xenbase
Saks,
An engineered Tetrahymena tRNAGln for in vivo incorporation of unnatural amino acids into proteins by nonsense suppression.
1996,
Pubmed
,
Xenbase
Sanderfoot,
A putative vacuolar cargo receptor partially colocalizes with AtPEP12p on a prevacuolar compartment in Arabidopsis roots.
1998,
Pubmed
Schlessinger,
Growth factor signaling by receptor tyrosine kinases.
1992,
Pubmed
Shimkets,
The activity of the epithelial sodium channel is regulated by clathrin-mediated endocytosis.
1997,
Pubmed
,
Xenbase
Shiratori,
Tyrosine phosphorylation controls internalization of CTLA-4 by regulating its interaction with clathrin-associated adaptor complex AP-2.
1997,
Pubmed
Sunder-Plassmann,
Functional analysis of immunoreceptor tyrosine-based activation motif (ITAM)-mediated signal transduction: the two YxxL segments within a single CD3zeta-ITAM are functionally distinct.
1997,
Pubmed
Taghon,
Insulin-like growth factor 1 receptor-mediated endocytosis in Xenopus laevis oocytes. A role for receptor tyrosine kinase activity.
1994,
Pubmed
,
Xenbase
Takahashi,
CFTR-dependent membrane insertion is linked to stimulation of the CFTR chloride conductance.
1996,
Pubmed
,
Xenbase
Thorn,
Identification and characterisation of Xenopus moesin, a Src substrate in Xenopus laevis oocytes.
1999,
Pubmed
,
Xenbase
Timpe,
Modulation of a voltage-activated potassium channel by peptide growth factor receptors.
1994,
Pubmed
,
Xenbase
van der Bliek,
Mutations in human dynamin block an intermediate stage in coated vesicle formation.
1993,
Pubmed
van der Geer,
Receptor protein-tyrosine kinases and their signal transduction pathways.
1994,
Pubmed
Vasilets,
Activation of protein kinase C by phorbol ester induces downregulation of the Na+/K(+)-ATPase in oocytes of Xenopus laevis.
1990,
Pubmed
,
Xenbase
Vély,
Analysis of immunoreceptor tyrosine-based activation motif (ITAM) binding to ZAP-70 by surface plasmon resonance.
1997,
Pubmed
Wischmeyer,
Acute suppression of inwardly rectifying Kir2.1 channels by direct tyrosine kinase phosphorylation.
1998,
Pubmed
,
Xenbase
Yu,
NMDA channel regulation by channel-associated protein tyrosine kinase Src.
1997,
Pubmed
Zampighi,
A method for determining the unitary functional capacity of cloned channels and transporters expressed in Xenopus laevis oocytes.
1995,
Pubmed
,
Xenbase