Click here to close
Hello! We notice that you are using Internet Explorer, which is not supported by Xenbase and may cause the site to display incorrectly.
We suggest using a current version of Chrome,
FireFox, or Safari.
Gene
2001 Jan 24;2631-2:171-8. doi: 10.1016/s0378-1119(00)00575-8.
Show Gene links
Show Anatomy links
Isolation and characterization of a transforming growth factor-beta Type II receptor cDNA from Xenopus laevis.
Dhanasekaran SM
,
Vempati UD
,
Kondaiah P
.
???displayArticle.abstract???
Transforming Growth Factor-beta (TGF-beta) and their receptors have been characterized from many organisms. Two TGF-beta signaling receptors called Type I and II have been described for various ligands of the superfamily from organisms ranging from Drosophila to humans. In Xenopus laevis, TGF-beta2 and 5 have been reported and presumably, play important roles during early development. Several Type I and type II receptors for many ligands of the TGF-beta superfamily except TGF-beta type II receptor (TbetaIIR), have been characterized in Xenopus laevis. A chemical cross linking experiment using iodinated TGF-beta1 and -beta5, revealed four specific binding proteins on XTC cells. In order to understand the TGF-beta involvement during Xenopus development, a TGF-beta type II receptor (XTbetaIIR) has been isolated from a XTC cDNA library. XTbetaIIR was a partial cDNA lacking a portion of the signal peptide. The sequence analysis and homology comparison with the human TbetaIIR revealed 67% amino acid similarity in the extra cellular domain, 60% similarity in the transmembrane domain and 87% similarity in the cytoplasmic kinase domain, suggesting that XTbetaIIR is a putative TGF-beta type II receptor. In addition, the consensus amino acid motif for serine threonine receptor kinases was also present. Further, a dominant negative expression construct lacking the cytoplasmic kinase domain (engineered with the signal peptide from human TGF-beta type II receptor), was able to abolish TGF-beta mediated induction of a luciferase reporter plasmid, in a transient cell transfection assay. This substantiates the notion that XTbetaIIR cDNA can act as a receptor for TGF-beta. RT-PCR analysis using RNA isolated from various developmental stages of Xenopus laevis revealed expression of this gene in all the early stages of development and in the adult organs, except in stages 46/48.
Fig. 1.
Chemical cross linking of the 125I TGF-βs to the cell surface receptors of XTC cells. Chemical cross linking with 125I labeled TGF-β1 and -β5 were performed on XTC and with 125 I TGF-β1 on Mv1Lu cells. Lanes 1 and 2, 125I labeled TGF-β1. In lane 1, 100-fold molar excess of unlabeled TGF-β1 was added. Lanes 3 and 4, 125 I labeled TGF-β5 and lane 3 with 100-fold molar excess of unlabeled TGF-β5. Lane 5, cross linking with 125I TGF-β1 on Mv1Lu cells. The molecular sizes are indicated on the left. On the right, various types of TGF-β receptors are indicated by solid arrows. Open arrow indicate a higher molecular weight binding protein presumably Xenopus type II receptor.
Fig. 2.
The composite nucleotide sequence the xTβIIR cDNA clones and the corresponding amino acid sequence. The nucleotide and predicted amino acid sequence of xTβIIR cDNA. Amino acid sequence is shown in single letter code. The Transmembrane domain is shown as thick underline. The double underlined amino acids represent the degenerate primer sequences employed for RT-PCR amplifications (Section 3.2). The predicted kinase domain is shown between the arrows. The ‘#’ indicate potential N-linked glycosylation sites. The ‘*’ represents the translation stop codon. The GeneBank accession No. for this sequence is AF213685.
Fig. 3.
Comparison of the xTβIIR amino acid sequence using ClustalW analysis with the TGF-β type II receptors from other species. The organism is indicated on the left and the amino acid numbers on the right. The predicted transmembrane and the kinase domain boundaries are shown as thick overline and between the arrows, respectively. An asterisk (*), the double dot (:) and single dot (.) indicate identical, conserved and semi-conserved amino acids, respectively.
Fig. 4.
A schematic describing the construction of a human - Xenopus chimeric TGF-β type II receptor. (1) PCR amplification using primers A and B to obtain the signal peptide region of hTβIIR with a Xenopus sequence overlap at the 3′ end. (2) PCR amplification with primers C and D to obtain the Xenopus xTβIIR cDNA with a human sequence overlap at the 5′ end. (3) Generation of a chimeric human-Xenopus TGF-β type II receptor using primers A and D. (4) Generation of a kinase deficient (h-xTβIIRDN) type II receptor using primers A and E on the product obtained from 3. The primers used are, (A) 5′CGGATCCATGGGTCGGGGGCTGCTCAGG 3′, (B) 5′GGTGCAGTCAAGTTTCCACAGCTGTGTAAGTGGTGTGTGAC 3′, (C) 5′ GTCACACCACTTACACAGCTGTGGAAACTTGACTGCACC 3′, (D) 5′ GCTCTAGAGCTAGCTCCAGCCA 3′ and (E) 5′CCGCTCGAGTCAGTGGGGTATCTTACTGAG. The regions corresponding to the Xenopus and human sequences are shown in solid and open bars, respectively.
Fig. 5.
Transient expression of ph-xTβIIR-DN interferes with the TGF-β induced reporter activity in HepG2 cells. Transient transfection of the ph-xTβIIR-DN plasmid (DNR) or the vector DNA (pCDNA3.1) along with a TGF-β responsive promoter/reporter plasmid (p3T3PLux) was performed using human hepatoma cell line, HepG2. The bars represent the TGF-β induced luciferase activity represented as relative luciferase units. The concentration of the DNA is indicated on the X-axis. The results represented are mean±SEM (P<0.05) of two independent transfection experiments.
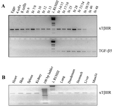
Fig. 6.
RT-PCR amplification of xTβIIR and xTGF-β5 mRNAs from early stage embryos and adult organs of Xenopus laevis. (A) Amplification of xTβIIR RNA and TGF-β5 RNA specific primers, (B) amplification products of xTβIIR from RNA isolated from adult organs. The source of the RNA is indicated on top of the respective lane. The primers used are (1) xTβIIR: ATGGTGACGGTACTGTTCTAC (forward) and CCTCACCTCTCCCGAGCATC (reverse) from positions 448 and 1342 of the xTβIIR sequence (Fig. 2); (2) TGF-β5: TTACCGATTTGAAAGCATAA (forward) and ATCCACTTCCAGCCTAGA (reverse) from positions 834 and 1394, respectively in TGF-β5 sequence (Kondaiah et al., 1990).