|
Fig. 2. Analysis of Six2 subfamily gene expression during Xenopus development by whole-mount in situ hybridization. Lateral views are shown in (AâF,IâK) with anterior to the left. Frontal views (G,H) and the sections (LâO) are oriented with dorsal to the top. (AâC) Six1 expression in stage 30 (A), stage 35 (B) and stage 39 (C) embryos. The arrow in panel (C) indicates the olfactory bulbs and the arrowheads highlight the migrating ventral muscle anlagen. (DâF) Six2 expression in stage 30 (D), stage 35 (E) and stage 39 (F) embryos. The arrowheads in panel (F) indicate ventral muscle anlagen. (G,H) Frontal views of stage 20 embryos showing Six1 (G) and Six2 (H) gene expression. The olfactory (arrowhead) and otic placodes (arrows) are indicated in panel H. (I) Close-up view of a stage 30 embryo head illustrating Six1 expression associated with facial (VII), glossopharyngeal (IX) and vagus (X) ganglia. (J,K) Close-up views of stage 35 embryos demonstrating Six1 (J) and Six2 (K) expression in the 1stâ4th ventral abdominal muscle anlagen (arrowheads). (L,M) Transverse sections through the head of stage 39 embryos illustrating Six1 (L) and Six2 (M) expression. Arrowheads highlight expression in the head mesenchyme. (N) Transverse section through the midtrunk of a stage 39 embryo. Arrowheads indicate Six1 expression in migrating abdominal muscle anlagen. (O) Transverse section at the level of the pronephric kidney through a stage 39 embryo. The abdominal muscle anlagen (arrowhead), and the mesenchyme (m) adjacent to the developing stomach and pronephric kidney epithelia are indicated. Abbreviations: cg, cranial ganglia; e, eye; gcl, ganglion cell layer; hm, head mesenchyme; l, lens; p, pharynx; pn, pronephros; ppt, primitive placodal thickening; rpe, retinal pigment epithelium; s, somites; st, stomach.
|
|
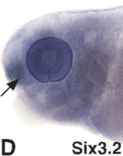
Fig. 3. Expression of Six3 subfamily members during Xenopus head development. (A,F) Frontal views of stage 20 embryos showing Six3.2 (A) and Six6.1 (F) expression in the optic field (op) and future ventral forebrain (arrow). (BâD,GâI) Lateral views of embryonic stages 30 (B,G), 35 (C,H) and 39 (D,I) stained for Six3.2 (BâD) and Six6.2 (GâI). The arrowhead indicates the pineal gland primordium and the arrow highlights the olfactory bulb. (E,J) Transverse head sections of stage 35 embryo at the level of the cement gland illustrating Six3.2 (E) and Six6.2 (J) expression. The developing lens (arrowhead), the ventral floor of the diencephalon (de) and the dorsal portion of Rathke's pouch (arrow) are indicated. (K,L) Transverse sections through the head of stage 39 embryos stained for Six3.2 (K) and Six6.2 (L). The insets illustrate Six gene expression in the eye. Arrowheads indicated head mesenchyme. Abbreviations: cg, cement gland; gcl, ganglion cell layer; inl, inner nuclear layer; lv, lens vesicle; op, optic field; os, optic stalk; p, pharyngeal endoderm; rpe, retinal pigment epithelium; tg, tegmentum.
|
|
Fig. 4. Analysis of Xenopus Six4 gene expression during embryonic development. (A) Lateral view of a stage 26 embryo stained for Six4.2. The arrowheads indicate expression in the developing visceral arches. (B) Lateral view of a stage 34 embryo stained for Six4.1. The arrowhead shows the developing olfactory bulb. (C) Lateral view of a stage 39 embryo displaying widespread Six4.1 expression in the visceral arches (va). (D) Frontal view of a stage 22 embryo illustrating widespread Six4.2 in the primitive placodal thickening (ppt). (E) Transverse section of a stage 32 head cut at the level of the cement gland (cg) showing Six4.1 expression in the head mesenchyme (hm). (F) Transverse section through the head of a stage 39 embryo. Inset shows Six4.1 expression in the eye. Abbreviations: de, diencephalon; gcl, ganglion cell layer; hm, head mesenchyme; l, lens; lp, lens placode; ov, otic vesicle; pm, unsegmented paraxial mesoderm; rp, Rathke's pouch; rpe, retinal pigment epithelium; s, somites.
|
|
|
|
six1 (SIX homeobox 1) gene expression in Xenopus laevis embryo, assayed via in situ hybridization, NF stage 27, lateral view, anterior left, dorsal up.
|
|
|
|
six1 (SIX homeobox 1) gene expression in Xenopus laevis embryo, assayed via in situ hybridization, NF stage 39, lateral view, anterior left, dorsal up.
|
|
six1 (SIX homeobox 1) gene expression in Xenopus laevis embryo, assayed via in situ hybridization, NF stage 20, anterior view, dorsal up.
|
|
|
|
|
|
six1 (SIX homeobox 1) gene expression in Xenopus laevis embryo, transverse sections through the head, assayed via in situ hybridization, NF stage 39, dorsal up.
|
|
six1 (SIX homeobox 1) gene expression in Xenopus laevis embryo, transverse sction through trunk region, assayed via in situ hybridization, NF stage 39, dorsal up.
|
|
six2 (SIX homeobox 2) gene expression in Xenopus laevis embryo, assayed via in situ hybridization, NF stage 28/29, lateral view, anterior left, dorsal up.
|
|
|
|
six2 (SIX homeobox 2) gene expression in Xenopus laevis embryo, assayed via in situ hybridization, NF stage 39, lateral view, anterior left, dorsal up.
|
|
six2 (SIX homeobox 2) gene expression in Xenopus laevis embryo, assayed via in situ hybridization, NF stage 20, anterior view, dorsal up.
|
|
|
|
six2 (SIX homeobox 2) gene expression in Xenopus laevis embryo, transverse sections through the head, assayed via in situ hybridization, NF stage 39, dorsal up.
|
|
six2 (SIX homeobox2) gene expression in Xenopus laevis embryo, transverse sction through trunk region, assayed via in situ hybridization, NF stage 39, dorsal up.
|
|
six3 (SIX homeobox 3) gene expression in Xenopus laevis embryo, assayed via in situ hybridization, NF stage 20, anterior view, dorsal up.
|
|
|
|
|
|
six3 (SIX homeobox 3) gene expression in Xenopus laevis embryo, assayed via in situ hybridization, NF stage 39, lateral view, anterior left, dorsal up.
|
|
six3 (SIX homeobox 3) gene expression in Xenopus laevis embryo, transverse sections through the head, assayed via in situ hybridization, NF stage 39, dorsal up, and higher magnification of sectioned eye (right).
Key: rpe: retinal pigmented epithelium; inl= inner nuclear layer; gcl= ganglionic cell layer, p=pharyngeal endoderm; arrow head: head mesenchyme.
|
|
six6 (SIX homeobox 6) gene expression in Xenopus laevis embryo, assayed via in situ hybridization, NF stage 20, anterior view, dorsal up
|
|
|
|
|
|
six3 (SIX homeobox 3) gene expression in Xenopus laevis embryo, assayed via in situ hybridization, NF stage 39, lateral view, anterior left, dorsal up
|
|
|
|
six6 (SIX homeobox 6) gene expression in Xenopus laevis embryo, transverse sections through the head, assayed via in situ hybridization, NF stage 39, dorsal up, and higher magnification of sectioned eye (right).
Key: rpe: retinal pigmented epithelium; inl= inner nuclear layer; gcl= ganglionic cell layer, p=pharyngeal endoderm; arrowhead: head mesenchyme.
|
|
six4 (SIX homeobox 4) gene expression in Xenopus laevis embryo, assayed via in situ hybridization, NF stage 26/27, lateral view, anterior left, dorsal up.
Key: lp= lensplacode; ov= otic vesicle; s= somites; pm= presomitic mesoderm.
|
|
six4 (SIX homeobox 4) gene expression in Xenopus laevis embryo, assayed via in situ hybridization, NF stage 22, anterior view, dorsal up.
Key: ppt= primitive placodal thickening
|
|
|
|
six4 (SIX homeobox 4) gene expression in Xenopus laevis embryo, assayed via in situ hybridization, NF stage 39, lateral view, anterior left, dorsal up.
|
|
six4 (SIX homeobox 4) gene in transverse section of Xenopus laevis embryo, NF stage 32 head, at the level of the cement gland (cg).
Key:hm= head mesenchyme; de= diencephalon; rp= Rathke's pouch; cg; cement gland.
|
|
six4 (SIX homeobox 4) gene expression in Xenopus laevis embryo, transverse sections through the head, assayed via in situ hybridization, NF stage 39, dorsal up, and higher magnification of sectioned eye (right).
Key: rpe: retinal pigmented epithelium; gcl= ganglionic cell layer, p=pharyngeal endoderm; hm= head mesenchyme; l= lens
|