Click here to close
Hello! We notice that you are using Internet Explorer, which is not supported by Xenbase and may cause the site to display incorrectly.
We suggest using a current version of Chrome,
FireFox, or Safari.
???displayArticle.abstract???
DNA replication in higher eukaryotic cells occurs at a large number of discrete sites called replication foci. We have previously purified a protein, focus-forming activity 1 (FFA-1), which is involved in the assembly of putative prereplication foci in Xenopus egg extracts. FFA-1 is the orthologue of the Werner syndrome gene product (WRN), a member of the RecQ helicase family. In this paper we show that FFA-1 colocalizes with sites of DNA synthesis and the single-stranded DNA binding protein, replication protein A (RPA), in nuclei reconstituted in the egg extract. In addition, we show that two glutathione S-transferase FFA-1 fusion proteins can inhibit DNA replication in a dominant negative manner. The dominant negative effect correlates with the incorporation of the fusion proteins into replication foci to form "hybrid foci," which are unable to engage in DNA replication. At the biochemical level, RPA can interact with FFA-1 and specifically stimulates its DNA helicase activity. However, in the presence of the dominant negative mutant proteins, the stimulation is prevented. These results provide the first direct biochemical evidence of an important role for FFA-1 in DNA replication.
Figure 1. Colocalization of FFA-1 and RPA in nuclei reconstituted around sperm chromatin in the interphase egg extract. Representative nuclei from early (40–45 min; A–D), middle (45–85 min; E–H), and late (85–150 min; I–L) stages are shown. (A, E, and I) FFA-1 staining. (B, F, and J) RPA staining. (C, G, and K) Merge of FFA-1 staining and RPA staining. (D, H, and L) DNA staining by Hoechst.
Figure 2. Colocalization of FFA-1 and sites of DNA synthesis. (A–F) In normal reconstituted nuclei. Biotin-dCTP was added 5 min before fixation. (A–C) 45 min. (D–F) 60 min. (G–L) In reconstituted nuclei formed in the presence of aphidicolin. (G–I) An aphidicolin-arrested nucleus directly fixed and stained. Biotin-dCTP was added to the reaction at the beginning. (H–L) An aphidicolin-arrested nucleus pelleted through 1 M sucrose cushion and then labeled with dATP, dGTP, TTP, and biotin-dCTP. (A, D, G, and J) FFA-1 staining. (B, E, H, and K) Biotin staining. (C, F, I, and L) Merge of FFA-1 staining and biotin staining.
Figure 3. The effect of FFA-1 depletion on DNA replication and RPA focus formation. (A) Western blot for FFA-1 in the extracts depleted with either anti–FFA-1 antibody or control antibody. Arrowhead indicates the position of FFA-1. (B) DNA synthesis in nuclei reconstituted around sperm chromatin with the depleted extracts. Samples were taken at the times indicated. (C and D) Immunofluorescence staining for RPA on sperm chromatin incubated in either FFA-1–depleted (C) or control-depleted cytosol (D).
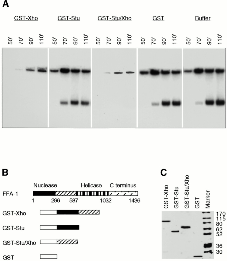
Figure 4. Effect of GST–FFA-1 fusion protein on DNA replication. (A) Replication of nuclei reconstituted around sperm chromatin in the presence of various fusion proteins (500 nM final concentration for GST-Xho and GST-Stu/Xho; 1 μM for GST-Stu and GST) or buffer. The fusion proteins and [32P]dATP were added at the beginning of the reactions. Samples were taken at the indicated times and separated on 0.8% agarose/TAE gel. The top band is the DNA that was too large to enter the gel and the bottom band is the sheared DNA (>20 kb) introduced during sample preparation. (B) Diagram of the GST–FFA-1 fusion proteins used in this study. Numbers indicate the positions of the amino acids that demarcate the various domains in FFA-1. (C) The fusion proteins used in this study separated on a 12% SDS polyacrylamide gel and stained by Coomassie blue. Molecular weight markers are labeled on the right in kilodaltons.
Figure 5. Formation of hybrid foci. (A–F) Nuclei were reconstituted around sperm chromatin for 52 min in the presence of GST-Xho and stained with the affinity-purified anti-GST (A and D), RPA (B), or FFA-1 (E). (C) Merge of GST staining and RPA staining. (F) Merge of GST staining and FFA-1 staining. The anti–FFA-1 antibody is against the COOH-terminal end of FFA-1 and does not react with GST-Xho. (G–O) Nuclei reconstituted in the presence of GST-Stu/Xho (G–I), GST-Stu (J–L), and GST (M–O) for 52 min. (G, J, and M) GST staining (green). (H, K, and N) RPA staining (red). (I, L, and O) Merge of GST and RPA staining.
Figure 6. Interaction between FFA-1 and RPA. (A) Coimmunoprecipitation of FFA-1 and RPA. Western blot analysis of the proteins brought down from the cytosol by the Affi-gel protein A beads precoated with the indicated antibodies. Blots were probed with the rabbit anti–FFA-1C (top) and rabbit anti-RPA (bottom). (B) Mapping of the RPA interaction domain in FFA-1. The various GST–FFA-1 fusion proteins were incubated with the cytosol and then brought down by glutathione beads. The bound proteins were then subject to Western blot analysis with the purified rat anti-RPA antibody. (C) Interaction between GST-Xho and the purified Xenopus RPA in the presence or absence of DNase I. The proteins brought down by glutathione beads were analyzed by Western blot with the purified rat anti-RPA antibody. (D) Amount of RPA bound to GST-Stu/Xho. GST-Stu/Xho (500 nM) was incubated with 5 μl of cytosol in a 15-μl reaction and then brought down by glutathione beads. Indicated amounts (as percentages of cytosol) of the beads and supernatant fractions were analyzed by Western blot with the purified rat anti-RPA antibody.
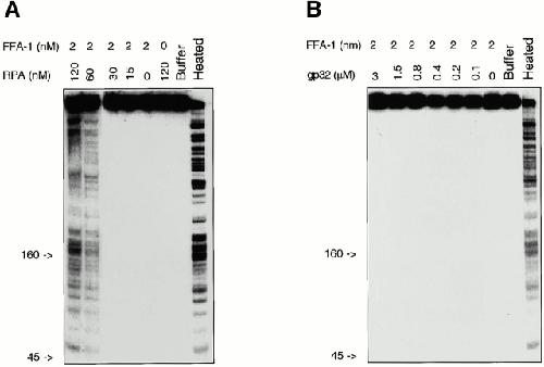
Figure 7. Effect of RPA and gp32 on the helicase activity of FFA-1. (A) Helicase reactions containing the indicated amounts of FFA-1 and RPA (in nM). (B) Helicase reactions containing the indicated amounts of FFA-1 (in nM) and gp32 (in μM). In both A and B, the second lanes from the right contain buffer only, whereas the rightmost lanes contain the heated DNA substrate. All the reactions also contain 2.5 μM (in nucleotides) DNA and 2 mM ATP. Indicated on the left of each gel are the migration positions of double-stranded DNA markers.
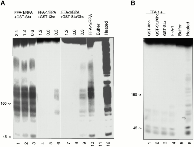
Figure 8. Effect of GST–FFA-1 fusion proteins on FFA-1 helicase activity. (A) In the presence of RPA. Lanes 1–10 contain 2 nM FFA-1 and 60 nM RPA, but lanes 1–9 also contain the various fusion proteins at the indicated final concentrations (in μM). Lane 11 contains the substrate incubated in buffer only and lane 12 contains the heated substrate. (B) In the absence of RPA. Lanes 1–3 contain 5 nM FFA-1 and GST-Xho (0.75 μM), GST-Stu/Xho (0.75 μM), and GST-Stu (1.5 μM). Lane 4 contains 5 nM FFA-1 only, lane 5 contains the substrate incubated in buffer only, and lane 6 contains the heated substrate. More FFA-1 was used in this experiment to better detect the weak helicase activity in the absence of RPA. The film was also exposed four times as long as that of A. All the reactions contain 2.5 μM DNA and 2 mM ATP.
Adachi,
Identification of nuclear pre-replication centers poised for DNA synthesis in Xenopus egg extracts: immunolocalization study of replication protein A.
1992, Pubmed,
Xenbase
Adachi,
Identification of nuclear pre-replication centers poised for DNA synthesis in Xenopus egg extracts: immunolocalization study of replication protein A.
1992,
Pubmed
,
Xenbase
Adachi,
Study of the cell cycle-dependent assembly of the DNA pre-replication centres in Xenopus egg extracts.
1994,
Pubmed
,
Xenbase
Blow,
Initiation of DNA replication in nuclei and purified DNA by a cell-free extract of Xenopus eggs.
1986,
Pubmed
,
Xenbase
Bravo,
Existence of two populations of cyclin/proliferating cell nuclear antigen during the cell cycle: association with DNA replication sites.
1987,
Pubmed
Brosh,
Functional and physical interaction between WRN helicase and human replication protein A.
1999,
Pubmed
Budd,
A yeast replicative helicase, Dna2 helicase, interacts with yeast FEN-1 nuclease in carrying out its essential function.
1997,
Pubmed
Budd,
DNA2 encodes a DNA helicase essential for replication of eukaryotic chromosomes.
1995,
Pubmed
Cardoso,
Reversal of terminal differentiation and control of DNA replication: cyclin A and Cdk2 specifically localize at subnuclear sites of DNA replication.
1993,
Pubmed
Constantinou,
Werner's syndrome protein (WRN) migrates Holliday junctions and co-localizes with RPA upon replication arrest.
2000,
Pubmed
Courcelle,
RecQ and RecJ process blocked replication forks prior to the resumption of replication in UV-irradiated Escherichia coli.
1999,
Pubmed
Cox,
DNA replication occurs at discrete sites in pseudonuclei assembled from purified DNA in vitro.
1991,
Pubmed
,
Xenbase
DePamphilis,
Origins of DNA replication in metazoan chromosomes.
1993,
Pubmed
Dimitrova,
Mcm2, but not RPA, is a component of the mammalian early G1-phase prereplication complex.
1999,
Pubmed
,
Xenbase
Fang,
Distinct roles of cdk2 and cdc2 in RP-A phosphorylation during the cell cycle.
1993,
Pubmed
,
Xenbase
Ferrari,
Co-operative binding of Escherichia coli SSB tetramers to single-stranded DNA in the (SSB)35 binding mode.
1994,
Pubmed
Frei,
The yeast Sgs1p helicase acts upstream of Rad53p in the DNA replication checkpoint and colocalizes with Rad53p in S-phase-specific foci.
2000,
Pubmed
Fujiwara,
Abnormal fibroblast aging and DNA replication in the Werner syndrome.
1985,
Pubmed
Fujiwara,
A retarded rate of DNA replication and normal level of DNA repair in Werner's syndrome fibroblasts in culture.
1977,
Pubmed
Fukuchi,
Mutator phenotype of Werner syndrome is characterized by extensive deletions.
1989,
Pubmed
Fukuchi,
Increased frequency of 6-thioguanine-resistant peripheral blood lymphocytes in Werner syndrome patients.
1990,
Pubmed
Gangloff,
Homologous recombination is responsible for cell death in the absence of the Sgs1 and Srs2 helicases.
2000,
Pubmed
Gray,
The Werner syndrome protein is a DNA helicase.
1997,
Pubmed
Gray,
Werner helicase is localized to transcriptionally active nucleoli of cycling cells.
1998,
Pubmed
Hanaoka,
Decrease in the average size of replicons in a Werner syndrome cell line by Simian virus 40 infection.
1983,
Pubmed
Hand,
Eucaryotic DNA: organization of the genome for replication.
1978,
Pubmed
Hoehn,
Variegated translocation mosaicism in human skin fibroblast cultures.
1975,
Pubmed
Huang,
The premature ageing syndrome protein, WRN, is a 3'-->5' exonuclease.
1998,
Pubmed
Ivessa,
The Saccharomyces Pif1p DNA helicase and the highly related Rrm3p have opposite effects on replication fork progression in ribosomal DNA.
2000,
Pubmed
Kamath-Loeb,
Functional interaction between the Werner Syndrome protein and DNA polymerase delta.
2000,
Pubmed
Krude,
Chromatin assembly factor 1 (CAF-1) colocalizes with replication foci in HeLa cell nuclei.
1995,
Pubmed
Lebel,
The Werner syndrome gene product co-purifies with the DNA replication complex and interacts with PCNA and topoisomerase I.
1999,
Pubmed
Lee,
Requirement of yeast SGS1 and SRS2 genes for replication and transcription.
1999,
Pubmed
Leonhardt,
A targeting sequence directs DNA methyltransferase to sites of DNA replication in mammalian nuclei.
1992,
Pubmed
Leonhardt,
Dynamics of DNA replication factories in living cells.
2000,
Pubmed
Liu,
Multiple domains are involved in the targeting of the mouse DNA methyltransferase to the DNA replication foci.
1998,
Pubmed
,
Xenbase
Lohka,
Formation in vitro of sperm pronuclei and mitotic chromosomes induced by amphibian ooplasmic components.
1983,
Pubmed
,
Xenbase
Marciniak,
Nucleolar localization of the Werner syndrome protein in human cells.
1998,
Pubmed
Melendy,
Purification of DNA polymerase delta as an essential simian virus 40 DNA replication factor.
1991,
Pubmed
Mills,
Replication occurs at discrete foci spaced throughout nuclei replicating in vitro.
1989,
Pubmed
,
Xenbase
Montecucco,
The N-terminal domain of human DNA ligase I contains the nuclear localization signal and directs the enzyme to sites of DNA replication.
1995,
Pubmed
Montecucco,
DNA ligase I is recruited to sites of DNA replication by an interaction with proliferating cell nuclear antigen: identification of a common targeting mechanism for the assembly of replication factories.
1998,
Pubmed
Mushegian,
Positionally cloned human disease genes: patterns of evolutionary conservation and functional motifs.
1997,
Pubmed
Nakamura,
Structural organizations of replicon domains during DNA synthetic phase in the mammalian nucleus.
1986,
Pubmed
Nakayasu,
Mapping replicational sites in the eucaryotic cell nucleus.
1989,
Pubmed
Newport,
Nuclear reconstitution in vitro: stages of assembly around protein-free DNA.
1987,
Pubmed
,
Xenbase
Newport,
Organization of DNA into foci during replication.
1996,
Pubmed
Salk,
Cytogenetics of Werner's syndrome cultured skin fibroblasts: variegated translocation mosaicism.
1981,
Pubmed
Scappaticci,
Clonal structural chromosomal rearrangements in primary fibroblast cultures and in lymphocytes of patients with Werner's Syndrome.
1982,
Pubmed
Shen,
Werner syndrome protein. I. DNA helicase and dna exonuclease reside on the same polypeptide.
1998,
Pubmed
Shen,
Characterization of Werner syndrome protein DNA helicase activity: directionality, substrate dependence and stimulation by replication protein A.
1998,
Pubmed
Shiratori,
Detection by epitope-defined monoclonal antibodies of Werner DNA helicases in the nucleoplasm and their upregulation by cell transformation and immortalization.
1999,
Pubmed
Smythe,
Systems for the study of nuclear assembly, DNA replication, and nuclear breakdown in Xenopus laevis egg extracts.
1991,
Pubmed
,
Xenbase
Stefanini,
Chromosome instability in lymphocytes from a patient with Werner's syndrome is not associated with DNA repair defects.
1989,
Pubmed
Stewart,
rqh1+, a fission yeast gene related to the Bloom's and Werner's syndrome genes, is required for reversible S phase arrest.
1997,
Pubmed
Strausfeld,
Cip1 blocks the initiation of DNA replication in Xenopus extracts by inhibition of cyclin-dependent kinases.
1994,
Pubmed
,
Xenbase
Suzuki,
DNA helicase activity in Werner's syndrome gene product synthesized in a baculovirus system.
1997,
Pubmed
Takeuchi,
Altered frequency of initiation sites of DNA replication in Werner's syndrome cells.
1982,
Pubmed
Takeuchi,
Prolongation of S phase and whole cell cycle in Werner's syndrome fibroblasts.
1982,
Pubmed
Tye,
MCM proteins in DNA replication.
1999,
Pubmed
Wold,
Replication protein A: a heterotrimeric, single-stranded DNA-binding protein required for eukaryotic DNA metabolism.
1997,
Pubmed
Yan,
Cell cycle-regulated nuclear localization of MCM2 and MCM3, which are required for the initiation of DNA synthesis at chromosomal replication origins in yeast.
1993,
Pubmed
Yan,
FFA-1, a protein that promotes the formation of replication centers within nuclei.
1995,
Pubmed
,
Xenbase
Yan,
An analysis of the regulation of DNA synthesis by cdk2, Cip1, and licensing factor.
1995,
Pubmed
,
Xenbase
Yan,
Replication focus-forming activity 1 and the Werner syndrome gene product.
1998,
Pubmed
,
Xenbase
Yu,
Positional cloning of the Werner's syndrome gene.
1996,
Pubmed