Click here to close
Hello! We notice that you are using Internet Explorer, which is not supported by Xenbase and may cause the site to display incorrectly.
We suggest using a current version of Chrome,
FireFox, or Safari.
???displayArticle.abstract???
Oncoprotein 18 (Op18) is a microtubule-destabilizing protein that is negatively regulated by phosphorylation. To evaluate the role of the three Op18 phosphorylation sites in Xenopus (Ser 16, 25, and 39), we added wild-type Op18, a nonphosphorylatable triple Ser to Ala mutant (Op18-AAA), and to mimic phosphorylation, a triple Ser to Glu mutant (Op18-EEE) to egg extracts and monitored spindle assembly. Op18-AAA dramatically decreased microtubule length and density, while Op18-EEE did not significantly affect spindle microtubules. Affinity chromatography with these proteins revealed that the microtubule-destabilizing activity correlated with the ability of Op18 to bind tubulin. Since hyperphosphorylation of Op18 is observed upon addition of mitotic chromatin to extracts, we reasoned that chromatin-associated proteins might play a role in Op18 regulation. We have performed a preliminary characterization of the chromatin proteins recruited to DNA beads, and identified the Xenopus polo-like kinase Plx1 as a chromatin-associated kinase that regulates Op18 phosphorylation. Depletion of Plx1 inhibits chromatin-induced Op18 hyperphosphorylation and spindle assembly in extracts. Therefore, Plx1 may promote microtubule stabilization and spindle assembly by inhibiting Op18.
Figure 5. Plx1 is a chromatin-associated kinase and its depletion inhibits chromatin-induced Op18 hyperphosphorylation. (A) Immunoblot analysis of total extract (EXT) and proteins eluted from mitotic chromatin beads using 0.5 M KCl (CHR) probed with antibodies against MAP kinase, cdk1, and Plx1. (B) Immunofluorescence micrograph showing Plx1 localization to chromatin and microtubules in sperm spindles assembled in Xenopus egg extracts. Microtubules appear red, sperm chromosomes blue, and Plx1 green. (C) Immunoblot of total extract (Extract), IgG-depleted (Control), and Plx1-depleted (ΔPlx1) extracts shows that >99% of Plx1 has been removed. (D) Autoradiogram showing [γ32P]phosphate incorporation in Op18 immunoprecipitated from mitotic extract (Extract) or in IgG-depleted (Control) or Plx1-depleted (ΔPlx1) mitotic extract + chromatin beads.
Figure 1. Differential effects of phosphorylation site mutants of Op18 on spindle assembly reactions in Xenopus egg extracts. (A) Effects of 6 μM Op18-WT, AAA (all three Serine phosphorylation sites mutated to Alanine) or EEE (all three Serine phosphorylation sites mutated to Glutamic acid) on spindle assembly in Xenopus egg extracts. Microtubules appear red and sperm chromosomes blue. (B) Biochemical quantification of depolymerizing activities shown by antitubulin immunoblot of microtubules pelleted from extracts in the presence of 6 or 12 μM Op18-WT, -AAA, and -EEE. The control (CON) is buffer addition in both A and B.
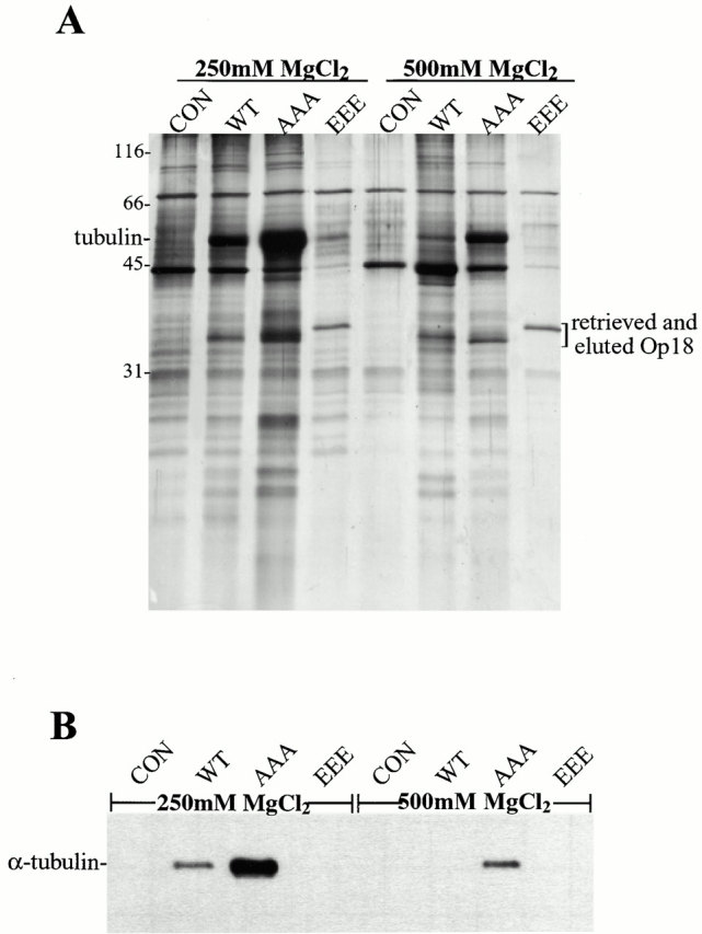
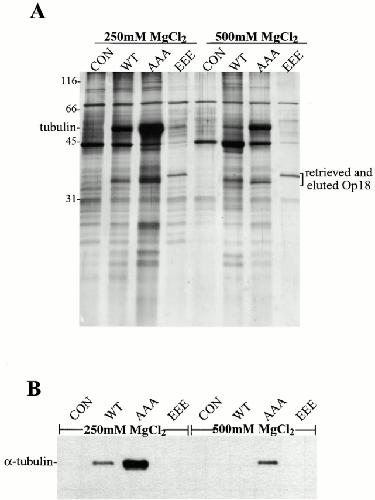
Figure 2. Nonphosphorylatable Op18 binds tightly to tubulin in extracts. (A) Silver-stained gel of MgCl2 elutions of control, ZZ-WT, -AAA, and -EEE Op18 bound to IgG Sepharose retrieved from extracts. (B) The elutions from A were blotted for α tubulin. The control (CON) is buffer addition in both A and B.
Figure 3. Chromatin assembles on DNA beads. (A) Silver stained gel of proteins associated with DNA beads and control beads in interphase (I) and mitotic (M) extracts. Arrowheads point to bands that are different between I and M. Histones (H) are indicated. (B) Western blot of the same samples from A probed with antibodies to Xklp1 and Topoisomerase II. (C) Micrococcal nuclease digestion of DNA beads for 1, 2, or 5 min; mononucleosomes (mono) and dinucleosomes (di) are indicated. Outer lanes are 123-bp markers.
Figure 4. Chromatin-associated proteins phosphorylate recombinant Op18 in vitro. (A) Autoradiogram of recombinant Op18 showing [γ32P]phosphate incorporation after incubation with interphase or mitotic extract, or chromatin beads isolated from interphase or mitotic extract. (B) Quantification of in vitro Op18 kinase data comparing total extract (I, M extract) and 0.5 M KCl-eluted chromatin proteins (I, M eluate).
Figure 6. Plx1 depletion causes defects in microtubule polymerization and spindle assembly. (A) Representative microtubule structures found in control- and Plx1-depleted extracts. (B) Quantification of spindle defects showing the decrease in total microtubule structures formed in Plx1-depleted (ΔPlx1, 64) compared with IgG-depleted (Con, 247), and (C) the small percentage of normal bipolar spindles formed in Plx1-depleted extract. A total of 933 structures were counted in three separate experiments.
Figure 7. Model for Op18 regulation of microtubule dynamics in Xenopus. The curved line represents Op18 and P is a phosphate group. Unphosphorylated Op18 promotes microtubule depolymerization by sequestering tubulin. Op18 that encounters mitotic chromatin is phosphorylated by Plx1, preventing the Op18-tubulin interaction and promoting microtubule stabilization.
Andersen,
Mitotic chromatin regulates phosphorylation of Stathmin/Op18.
1997, Pubmed,
Xenbase
Andersen,
Mitotic chromatin regulates phosphorylation of Stathmin/Op18.
1997,
Pubmed
,
Xenbase
Andersen,
Spindle assembly and the art of regulating microtubule dynamics by MAPs and Stathmin/Op18.
2000,
Pubmed
Arnaud,
GFP tagging reveals human Polo-like kinase 1 at the kinetochore/centromere region of mitotic chromosomes.
1998,
Pubmed
Bähler,
Role of polo kinase and Mid1p in determining the site of cell division in fission yeast.
1998,
Pubmed
Belmont,
Identification of a protein that interacts with tubulin dimers and increases the catastrophe rate of microtubules.
1996,
Pubmed
,
Xenbase
Brattsand,
Cell-cycle-regulated phosphorylation of oncoprotein 18 on Ser16, Ser25 and Ser38.
1994,
Pubmed
Carmena,
Drosophila polo kinase is required for cytokinesis.
1998,
Pubmed
Cassimeris,
Accessory protein regulation of microtubule dynamics throughout the cell cycle.
1999,
Pubmed
,
Xenbase
Charles,
The Polo-related kinase Cdc5 activates and is destroyed by the mitotic cyclin destruction machinery in S. cerevisiae.
1998,
Pubmed
Curmi,
The stathmin/tubulin interaction in vitro.
1997,
Pubmed
Curmi,
Overexpression of stathmin in breast carcinomas points out to highly proliferative tumours.
2000,
Pubmed
Desai,
The use of Xenopus egg extracts to study mitotic spindle assembly and function in vitro.
1999,
Pubmed
,
Xenbase
Desai,
Microtubule polymerization dynamics.
1997,
Pubmed
Descombes,
The polo-like kinase Plx1 is required for M phase exit and destruction of mitotic regulators in Xenopus egg extracts.
1998,
Pubmed
,
Xenbase
Di Paolo,
Phosphorylation regulates the microtubule-destabilizing activity of stathmin and its interaction with tubulin.
1997,
Pubmed
Felix,
A post-ribosomal supernatant from activated Xenopus eggs that displays post-translationally regulated oscillation of its cdc2+ mitotic kinase activity.
1989,
Pubmed
,
Xenbase
Gard,
Ectopic spindle assembly during maturation of Xenopus oocytes: evidence for functional polarization of the oocyte cortex.
1993,
Pubmed
,
Xenbase
Gavet,
The stathmin phosphoprotein family: intracellular localization and effects on the microtubule network.
1998,
Pubmed
Gigant,
The 4 A X-ray structure of a tubulin:stathmin-like domain complex.
2000,
Pubmed
Glover,
Polo-like kinases: a team that plays throughout mitosis.
1998,
Pubmed
Golsteyn,
Cell cycle regulation of the activity and subcellular localization of Plk1, a human protein kinase implicated in mitotic spindle function.
1995,
Pubmed
Gruss,
Ran induces spindle assembly by reversing the inhibitory effect of importin alpha on TPX2 activity.
2001,
Pubmed
,
Xenbase
Hamanaka,
Polo-like kinase is a cell cycle-regulated kinase activated during mitosis.
1995,
Pubmed
Heald,
Spindle assembly in Xenopus egg extracts: respective roles of centrosomes and microtubule self-organization.
1997,
Pubmed
,
Xenbase
Heald,
Motor function in the mitotic spindle.
2000,
Pubmed
Heald,
Self-organization of microtubules into bipolar spindles around artificial chromosomes in Xenopus egg extracts.
1996,
Pubmed
,
Xenbase
Hirano,
A heterodimeric coiled-coil protein required for mitotic chromosome condensation in vitro.
1994,
Pubmed
,
Xenbase
Horwitz,
The microtubule-destabilizing activity of metablastin (p19) is controlled by phosphorylation.
1997,
Pubmed
Howell,
Dissociation of the tubulin-sequestering and microtubule catastrophe-promoting activities of oncoprotein 18/stathmin.
1999,
Pubmed
Howell,
Decreasing oncoprotein 18/stathmin levels reduces microtubule catastrophes and increases microtubule polymer in vivo.
1999,
Pubmed
Hyman,
Centrosomes: Sic transit gloria centri.
2000,
Pubmed
Jourdain,
Stathmin: a tubulin-sequestering protein which forms a ternary T2S complex with two tubulin molecules.
1997,
Pubmed
Karaïskou,
Phosphatase 2A and polo kinase, two antagonistic regulators of cdc25 activation and MPF auto-amplification.
1999,
Pubmed
,
Xenbase
Kotani,
PKA and MPF-activated polo-like kinase regulate anaphase-promoting complex activity and mitosis progression.
1998,
Pubmed
Kumagai,
Purification and molecular cloning of Plx1, a Cdc25-regulatory kinase from Xenopus egg extracts.
1996,
Pubmed
,
Xenbase
Kumagai,
The Xenopus Chk1 protein kinase mediates a caffeine-sensitive pathway of checkpoint control in cell-free extracts.
1998,
Pubmed
,
Xenbase
Lane,
Antibody microinjection reveals an essential role for human polo-like kinase 1 (Plk1) in the functional maturation of mitotic centrosomes.
1996,
Pubmed
Larsson,
Control of microtubule dynamics by oncoprotein 18: dissection of the regulatory role of multisite phosphorylation during mitosis.
1997,
Pubmed
Lawler,
Microtubule dynamics: if you need a shrink try stathmin/Op18.
1998,
Pubmed
Llamazares,
polo encodes a protein kinase homolog required for mitosis in Drosophila.
1991,
Pubmed
Logarinho,
The Drosophila POLO kinase localises to multiple compartments of the mitotic apparatus and is required for the phosphorylation of MPM2 reactive epitopes.
1998,
Pubmed
Luo,
Regulation of phosphoprotein p18 in leukemic cells. Cell cycle regulated phosphorylation by p34cdc2 kinase.
1994,
Pubmed
Marklund,
Oncoprotein 18 is a phosphorylation-responsive regulator of microtubule dynamics.
1996,
Pubmed
Maucuer,
Stathmin gene family: phylogenetic conservation and developmental regulation in Xenopus.
1993,
Pubmed
,
Xenbase
McKim,
Chromosomal control of meiotic cell division.
1995,
Pubmed
Moutinho-Santos,
In vivo localisation of the mitotic POLO kinase shows a highly dynamic association with the mitotic apparatus during early embryogenesis in Drosophila.
1999,
Pubmed
Murray,
Cell cycle extracts.
1991,
Pubmed
Nachury,
Importin beta is a mitotic target of the small GTPase Ran in spindle assembly.
2001,
Pubmed
,
Xenbase
Nigg,
Polo-like kinases: positive regulators of cell division from start to finish.
1998,
Pubmed
Ohkura,
The conserved Schizosaccharomyces pombe kinase plo1, required to form a bipolar spindle, the actin ring, and septum, can drive septum formation in G1 and G2 cells.
1995,
Pubmed
Qian,
Activated polo-like kinase Plx1 is required at multiple points during mitosis in Xenopus laevis.
1998,
Pubmed
,
Xenbase
Qian,
Mitotic effects of a constitutively active mutant of the Xenopus polo-like kinase Plx1.
1999,
Pubmed
,
Xenbase
Sandaltzopoulos,
Transcriptional repression by nucleosomes but not H1 in reconstituted preblastoderm Drosophila chromatin.
1994,
Pubmed
Sawin,
Mitotic spindle assembly by two different pathways in vitro.
1991,
Pubmed
,
Xenbase
Schubart,
Normal development of mice lacking metablastin (P19), a phosphoprotein implicated in cell cycle regulation.
1996,
Pubmed
Shirayama,
The Polo-like kinase Cdc5p and the WD-repeat protein Cdc20p/fizzy are regulators and substrates of the anaphase promoting complex in Saccharomyces cerevisiae.
1998,
Pubmed
Steinmetz,
Op18/stathmin caps a kinked protofilament-like tubulin tetramer.
2000,
Pubmed
Sunkel,
polo, a mitotic mutant of Drosophila displaying abnormal spindle poles.
1988,
Pubmed
Taagepera,
DNA topoisomerase II alpha is the major chromosome protein recognized by the mitotic phosphoprotein antibody MPM-2.
1993,
Pubmed
Tournebize,
Distinct roles of PP1 and PP2A-like phosphatases in control of microtubule dynamics during mitosis.
1997,
Pubmed
,
Xenbase
Vernos,
Xklp1, a chromosomal Xenopus kinesin-like protein essential for spindle organization and chromosome positioning.
1995,
Pubmed
,
Xenbase
Walczak,
A model for the proposed roles of different microtubule-based motor proteins in establishing spindle bipolarity.
,
Pubmed
,
Xenbase
Wallon,
Model for stathmin/OP18 binding to tubulin.
2000,
Pubmed
Wianny,
Mouse polo-like kinase 1 associates with the acentriolar spindle poles, meiotic chromosomes and spindle midzone during oocyte maturation.
1998,
Pubmed
Wiese,
Role of importin-beta in coupling Ran to downstream targets in microtubule assembly.
2001,
Pubmed
,
Xenbase
Wray,
Silver staining of proteins in polyacrylamide gels.
1981,
Pubmed
Zhang,
Chromosomes initiate spindle assembly upon experimental dissolution of the nuclear envelope in grasshopper spermatocytes.
1995,
Pubmed