Click here to close
Hello! We notice that you are using Internet Explorer, which is not supported by Xenbase and may cause the site to display incorrectly.
We suggest using a current version of Chrome,
FireFox, or Safari.
J Biol Chem
2001 Jun 22;27625:22819-25. doi: 10.1074/jbc.M011188200.
Show Gene links
Show Anatomy links
Expression, activity, and subcellular localization of the Yin Yang 1 transcription factor in Xenopus oocytes and embryos.
Ficzycz A
,
Eskiw C
,
Meyer D
,
Marley KE
,
Hurt M
,
Ovsenek N
.
???displayArticle.abstract??? Yin Yang 1 (YY1) is a multifunctional transcription factor that acts as an activator, repressor, or initiator of transcription of numerous cellular and viral genes. Previous studies in tissue culture model systems suggest YY1 plays a role in development and differentiation in multiple cell types, but the biological role of YY1 in vertebrate oocytes and embryos is not well understood. Here we analyzed expression, activity, and subcellular localization profiles of YY1 during Xenopus laevis development. Abundant levels of YY1 mRNA and protein were detected in early stage oocytes and in all subsequent stages of oocyte and embryonic development through to swimming larval stages. The DNA binding activity of YY1 was detected only in early oocytes (stages I and II) and in embryos after the midblastula transition (MBT), which suggested that its potential to modulate gene expression may be specifically repressed in the intervening period of development. Experiments to determine transcriptional activity showed that addition of YY1 recognition sites upstream of the thymidine kinase promoter had no stimulatory or repressive effect on basal transcription in oocytes and post-MBT embryos. Although the apparent transcriptional inactivity of YY1 in oocytes could be explained by the absence of DNA binding activity at this stage of development, the lack of transcriptional activity in post-MBT embryos was not expected given the ability of YY1 to bind its recognition elements. Subsequent Western blot and immunocytochemical analyses showed that YY1 is localized in the cytoplasm in oocytes and in cells of developing embryos well past the MBT. These findings suggest a novel mode of YY1 regulation during early development in which the potential transcriptional function of the maternally expressed factor is repressed by cytoplasmic localization.
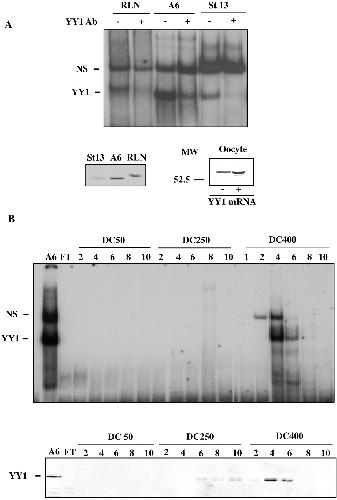
Figure 1
Identification of YY1 in Xenopuscells and embryos. A, upper panel, gel mobility shift assay of rat liver nuclear (RLN), A6, and neurula stage embryo (St 13) extracts with the α YY1 element. Antibodies were added to binding reactions as indicated above the panel. The positions of nonspecific (NS) and specific (YY1) bands are indicated on the left. lower panels: left, Western immunoblot of YY1 in extracts used for gel mobility shifts; right, Western blot of YY1 in oocytes that were not injected or microinjected with mRNA encoding Xenopus YY1. B, gel mobility shift assay (upper panel) and immunoblot (lower panel) of A6 cell fractions separated on a heparin-agarose column with increasing KCl concentrations. Fraction numbers are indicated above each panel. FT is the flow-through fraction.
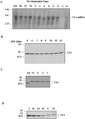
Figure 2
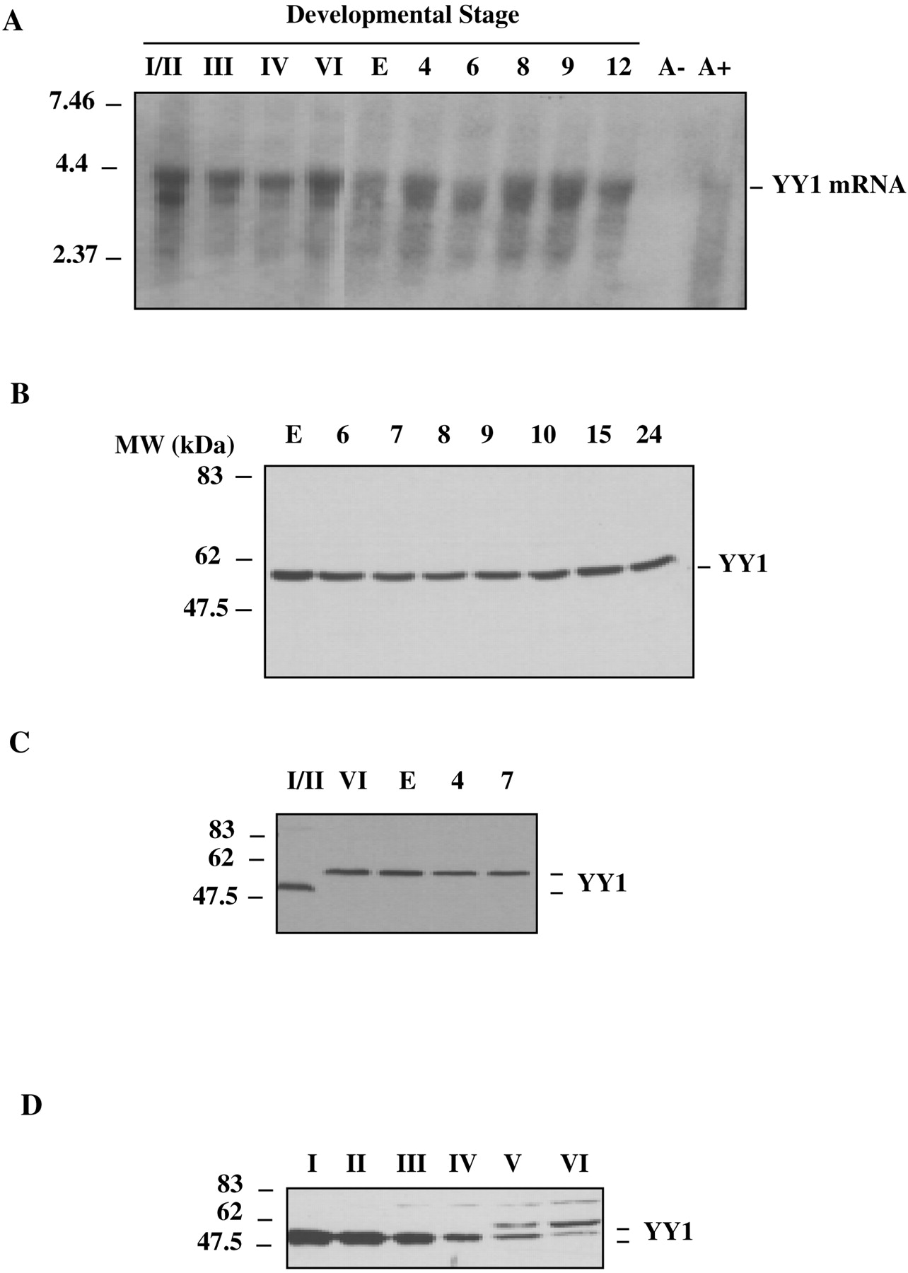
Expression of YY1 during Xenopusdevelopment. A, Northern blot analysis of YY1 mRNA expression during development. Each lane contains 10 μg of total RNA isolated from developing oocytes (stages indicated inRoman numerals), unfertilized eggs (E), and embryos (Arabic numerals). Positions of RNA markers are shown on the left. B, Western immunoblot of staged extracts from eggs (E) and embyros at various stages of development. C, Western immunoblot showing a comparison of YY1 expression in early and late oocytes and at stages of development around fertilization. D, Western immunoblot showing a comparison of YY1 expression during each stage of oogenesis. Positions of protein molecular weight markers are indicated at theleft of the panels.
Figure 3
Alterations in the DNA binding activity of YY1 during development. A, upper panel, gel mobility shift analysis showing relative YY1 activity in staged oocyte and embryonic extracts. The addition of competitor YY1 antibody to DNA binding reactions is indicated below the panel. Lower panel, gel mobility shift showing relative AP-1 binding activity during development. The addition of unlabeled competitor oligonucleotides (50-fold molar excess) to DNA binding reactions is shownbelow the panel. B, stage VI extracts were treated with calf intestinal phosphatase, and the size of YY1 was compared directly by Western immunoblot (left panel) using YY1 polyclonal antibody. Aliquots of the same stage VI extracts were analyzed by gel mobility shift assay (right panel) with the YY1 probe.
Figure 4
Transcriptional activity of YY1 in post-MBT embryos. A, diagram of plasmid constructs containing the CAT gene driven by the TK promoter and YY1 elements as described under “Experimental Procedures.” B, embryos were microinjected after fertilization with the indicated plasmid constructs and then allowed to develop to gastrula stage, at which point CAT assays were performed (upper panel). The experiment was repeated at least five times with different batches of embryos; a representative CAT assay is shown. CAT activity is expressed as a percentage of the highest relative activity (TK-CAT), which was arbitrarily assigned a value of 100 (lower panel).C, CAT assays of stable transfectant CHO cells. Constructs are indicated above the panel. Activity is presented as percent acetylation. The experiment was performed with triplicate sets of plates.
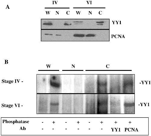
Figure 5
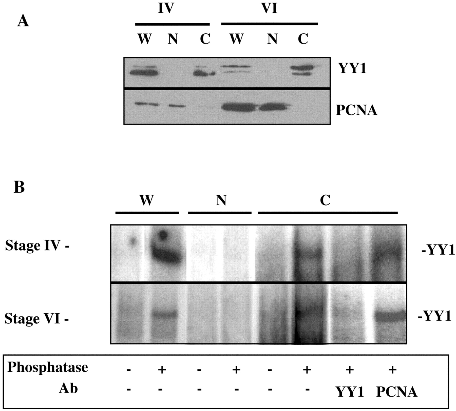
Subcellular localization of YY1 in oocytes. A, Western immunoblot of YY1 and PCNA in stage IV and stage VI oocytes that were manually dissected into nuclear (N) and cytoplasmic (C) fractions. W, indicates whole cell extract. B, gel mobility shift analysis of YY1 binding activity in whole cell, cytoplasmic, and nuclear fractions. Phosphatase treatments were done with 1 unit of calf intestinal alkaline phosphatase for 20 min on ice immediately prior to DNA binding reactions. The addition of antibodies for supershifts is indicated below the panel.
Figure 6
YY1 is a cytoplasmic protein in oocytes and embryos. An immunohistochemical analysis of YY1 and PCNA in oocytes and embryos was done. Oocyte and embryo stages are indicated at the left of each series of panels. In the stage 9 embryo panels, the dorsal part of the embryo is shown. In the neurula panels, the dorsolateral part of the embyro is shown. Thebottom panels show YY1 localization in hepatocyte nuclei of adult frog rat liver.
Figure 7
YY1 is detected only in cytoplasmic but not nuclear extracts of neurula stage embryos. Western immunoblot analysis of YY1 in whole cell (W), nuclear (N), and cytoplasmic (C) fractions obtained from stage 13 neurula embryos. An immunoblot of the same fractions using the PCNA antibody is shown in the lower panel.