|
Figure 1. Topological representation of the type IIa Na+/Pi cotransporter that shows the eight putative membrane-spanning domains (TMD-1 to -8) determined from hydropathy analysis. The amino acid residues in the stretch from site 437 through site 465 of the putative ECL-3 are shown expanded. Residues in this stretch that were mutated individually to cysteines are indicated by filled circles. Amino acids are named using the single letter code.
|
|
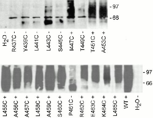
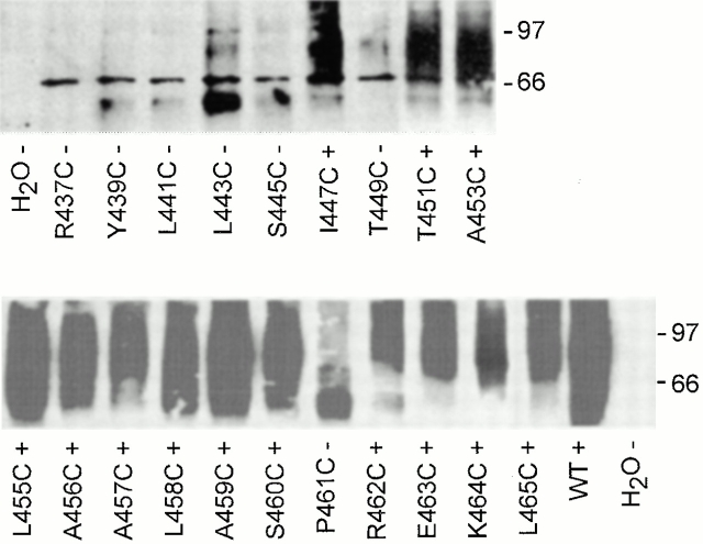
Figure 2. Protein expression and function of mutant cotransporters. Western blots of whole cell lysate from oocytes injected with cRNA coding for the indicated mutant constructs (see Fig. 1) as well as wild type (WT) and water injected (H2O) oocytes as controls. The two Western blots were made from lysates using different batches of oocytes. The main band in the range 80–100 kD corresponds to the glycolsylated form of NaPi-IIa. The symbol after the name signifies whether functional activity was detected: +, cells displayed Pi-induced currents > −20 nA (Vh = −50 mV, Pi = 1mM); −, cells displayed neither electrogenic activity (< −20 nA) nor 32Pi uptake above the background level.
|
|
Figure 3. Effect on electrogenic response of incubation in MTS reagents. (A) Excerpts from continuous recordings made from representative oocytes that expressed the WT (top), S460C (center), and A453C (bottom) constructs, respectively. After a control application, substrates Pi (1 mM) (filled bars) and PFA (3 mM) (empty bars) were applied successively and tested after incubation (vertical arrows) in MTSEA for 3 min and washout at the concentration indicated. Only the baseline that immediately preceded application and washout of the test substrates is shown. The dashed line indicates holding current reached during control PFA application. Continuous line indicates initial holding current in ND100 superfusate. No external adjustment of current offset was made during the recording period. Cells were continuously voltage clamped to −50 mV during whole experiment; records were low-pass filtered at 20 Hz, sampling 2 ms/point. IPFA and IPi are the changes in holding current induced by Pi and PFA, respectively, relative to the holding current in ND100. (B) Excerpts from two contiguous recordings that illustrate the effect of changing external Na+ on slippage before and after MTSEA exposure to an oocyte that expressed A453C and a noninjected (NI) oocyte. The external solutions were changed as indicated: ND100 (light gray bars), ND50 (dark gray bars), Pi (1 mM) (filled bars), PFA (3 mM) (empty bars). Dotted lines indicate holding currents reached during PFA, continuous lines indicate current level in the absence of test substrate.
|
|
Figure 4. Effect of incubation in MTS reagents on the cotransport mode. Suppression of Pi-induced response was calculated by determining IPi − IPFA (indicated on WT record, Fig. 3 A) after each incubation and normalizing this to the initial control response. Each point represents mean ± SEM of at least four determinations using oocytes from two donor frogs. (A) Data for mutants with Cys substitution before Pro-461 tested at selected concentrations of MTSEA to determine the range of sensitivity: I447C (⋄); T451C (▪); A453C (•); L455C (♦); A456C (▴); A457C (□); L458C (▿); A459C (▾); S460C (▵). (B) Data for mutants with Cys substitution after Pro-461 that were tested at only two MTSEA concentrations (100 and 1,000 μM). Each cell was also tested after a second incubation at 1,000 μM MTSEA under the same conditions (*). R462C (▪); E463C (▴); K464C (▾); L465C (♦). Points have been joined for visualization purposes.
|
|
Figure 5. Determination of MTSEA-Cys reaction rates. (A) Loss of cotransport function for mutants T451C through S460C with MTSEA concentration as the independent variable. (I) A457C, (II) S460C (▪, MTSEA; □, MTSET), (III) A453C (▪) and A456C (▾), (IV) A455C (▪) and A459C (▴), (V) L458C (▴) and T451C (▪). Each data point represents mean from at least four cells. A single decaying exponential was fit to these data (). In II, the dotted line is a fit to the MTSET data. In IV, the dotted line is a fit to the A459C data. (B) The time dependency of the reaction of MTSEA with Cys-460 at 1 μM (▪) and 5 μM (▴). Single decaying exponentials were fit to these data (continuous lines). Data points are mean ± SEM (n = 5) normalized to the initial response. When corrected for the MTSEA concentration, the apparent second-order reaction rate (k) was 2.2 × 10−3 μM−1 s−1 for 1 μM MTSEA and 1.3 × 10−3 μM−1 s−1 for 5 μM MTSEA. (C) Shows a plot of apparent second-order rate constant (k) for MTSEA inhibition of Pi-induced transport function for each of the functional mutants between T451C and S460C. Continuous line is an unconstrained sine-wave fit to the data points using a nonlinear regression algorithm. The dotted line is a sine-wave fit to the data points with its period constrained to 3.6 residues.
|
|
Figure 6. Steady-state functional assay of electrogenic properties. (A) Current records from a representative oocyte that expressed the WT protein measured under voltage-clamp conditions (Vh = −50 mV). Different substrate combinations were applied in the sequence during the time indicated by the bars to allow quantification in terms of Pi and Na+ activation (IPi 0.1Pi/IPi 1.0Pi and IPi50Na/IPi100Na, respectively), and slippage [IPFA/(IPFA − IPi)] and pH (IPi pH6.2/IPi pH7.4). All data are shown relative to the same initial baseline level (continuous line) that was stable throughout the assay (ND100, pH 7.4). Test substrates were applied for ∼20 s, as indicated. The speed of response to changing substrate conditions depended on the oocyte batch and also reflects diffusion limitations of the unstirred layer surrounding the oocyte, particularly for that part of the cell exposed to the base of the chamber (Forster et al. 1998, Forster et al. 2000). After substrate washout, the holding current was always allowed to return to the same baseline before the next application. The shift in baseline current for a 50% reduction in external Na+ (ND100 to ND50) is contributed by the slippage current response and the endogenous oocyte response. The change observed for a decrease in pH of ND100 (pH 7.4 to 6.2) is an endogenous response also reported for noninjected oocytes (Forster et al. 2000). (B) Derivation of the steady-state voltage dependency. (Left) Current response to voltage steps from Vh = −60 mV to potentials in the range −120 to +20 mV in ND100 (top) and ND100 +1 mM Pi (bottom). Note the downward shift in holding current at −60 mV caused by the application of Pi. (Right) The difference between two sets of traces gives the Pi-dependent current (IPi). Responses at V = −100 and 0 mV used for the data Fig. 7 C (arrow). The nonlinear relaxations to the steady state arise from pre–steady-state charge movements (see ).
|
|
Figure 7. Overview of electrogenic properties of mutants. The shaded region in each case represents the typical range of values obtained for WT-expressing oocytes (mean ± 2 SEM) (n ≥ 4, and assay repeated using oocytes from at least two donor frogs). (A) Substrate activation index at Vh = −50 mV for Pi (Ip0.1Pi/Ip1.0Pi) (▪) and Na+ (IPi50Na/IPi100Na) (□). *Mutants for which a complete Pi dose response was obtained. **Mutants for which a complete Na+ dose response was also obtained. (B) Uncoupled leakage current, or slippage for each active mutant, expressed as a fraction of the total cotransport current at Vh = −50 mV). (C) The pH dependency of the mutants at Vh = −50 mV. For each oocyte, the ratio of the current induced at pH 6.2 to that at 7.4 (Ip6.2/Ip7.4) was determined (1 mM total Pi, Vh = −50 mV, ND100) and data pooled as in A. (D) Voltage dependence of the mutants. For each oocyte, the ratio of the current induced at Vh = 0 to that at Vh = −100 mV (Ip0/Ip−100) was determined (1 mM Pi, 100 mM Na+) and data pooled as in A. Points without error bars have SEM smaller than the symbol. Boxed points in C and D indicate sites where Cys mutagenesis results in reciprocal deviations from the WT phenotype (see discussion).
|
|
Figure 8. Current voltage curves for representative mutants belonging to the three categories referred to in the text. (A) E463C (▪) and K464C (▴) that show an I-V similar to the WT; (B) I447C (▪) and A459C (▴) that show supralinear I-V relations; (C) T451C (▴) and R462C (▪) that show reduced voltage dependence. Points at each test potential were determined from voltage-step protocols in which the response to 1 mM Pi ND100 was subtracted from the response in ND100 alone. Data for each oocyte were then normalized to the current at −100 mV and pooled. Points without error bars have SEM smaller than the symbol. The same data set for WT (♦) is repeated in all cases. Continuous lines are for visualization only.
|
|
Figure 9. Interpretation of MTSEA accessibility in terms of an α-helix motif and its incorporation in a revised topology of NaPi-IIa. (A) The revised topology of ECL-3 depicted as a re-entrant loop, accessible to the extracellular medium and incorporating a 2.5 turn α-helix from Pro-461 to Thr-451. (Bold) Residues mutated to cysteines, (filled squares) nonfunctional mutants, (gray circles) functional mutants that showed little MTSEA sensitivity. The inset shows a helical wheel representation of the residues Pro-461 through Thr-451 with shading to represent their relative accessibility to MTSEA, based on the data in Fig. 5 C. (B) Predictions for secondary topology based on the Chou-Fasman algorithm for the region from Pro-440 through Pro-461. Upper and lower case letters indicate probable and possible predictions, respectively (S/s, sheet; H/h, helix; T, turn).
|
|
Figure A1. Properties of pre–steady-state relaxations for selected mutant constructs. (A) Typical pre–steady-state ON relaxations after subtraction of response in 3 mM PFA to eliminate endogenous components for the wild type (WT) and two mutants that deviate from WT behavior (I447C and R462C). Each data set is for voltage steps from −160 to +80 mV from Vh = −60 mV. Each trace is the average of four sweeps, low-pass filtered at 500 Hz. (B) τON vs.V (left) and Q vs. V (right) data for mutants I447C (▴), L458C (▾), and A459C (♦) that show shifts toward hyperpolarizing potentials compared with the WT (▪). C, τON vs.V (left) and Q vs. V (right) data for mutant R462C (▴) that shows significantly faster relaxations and a shift toward depolarizing potentials compared with the WT (▪). For the τON vs.V data, a single exponential function was fit to ON relaxations. Data points are joined for visualization only. For the Q vs. V data, the same relaxations were integrated for both the ON and OFF (data not shown) transitions and the mean charge transfer was determined. Data were normalized and pooled as described in the . Lines are the result of fitting to the pooled data: WT (broken), mutant (continuous).
|