|
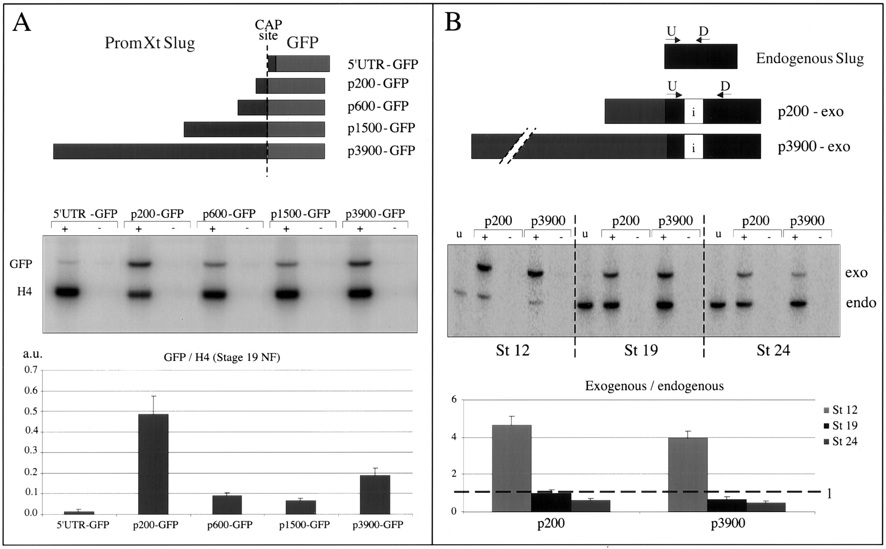
FIG. 1. The X. tropicalis slug promoter is inefficient in X. laevis embryos. A, constructs containing different fragments of the X. tropicalis
slug promoter (Prom Xt Slug) were injected into X. laevis embryos (upper panel). GFP expression was detected by RT-PCR performed on stage 19
NF embryos (middle panel). Histone H4 was used as an internal control for semiquantitative analysis (lower panel). The bars indicate the means
S.D. of three independent experiments. Negative control lanes of the gel correspond to samples where no reverse transcriptase was added. The
p200-GFP and p3900-GFP constructs gave the strongest expression. B, to compare the efficiency of the X. tropicalis slug promoter with that of the
endogenous promoter, a modified X. laevis Slug cDNA was inserted downstream from the p200 and p3900 promoters (upper panel). With a single
set of primers (U and D), both endogenous (endo) and exogenous (exo) Slug cDNAs were amplified (middle panel). This made it possible to compare
mRNA levels (lower panel). The relative amount of exogenous product was much lower than expected with the Sleeping Beauty expression system,
indicating that the X. tropicalis slug promoter is inefficient in X. laevis embryos. a.u., arbitrary units; u, uninjected; St, stage.
|
|
FIG. 2. Comparison of the three Xenopus Slug genes. A, all three genes displayed the same organization, with three exons (dark-gray boxes)
and two introns (i1 and i2; white boxes) of similar length. Asterisks indicate the positions of the stop codons in the coding regions. The 5 -flanking
regions are divergent except for two conserved regions, each 300 bp long (regions A and B). Region A is located just upstream from the CAP site,
whereas the position of region B is variable. The repeat boxes indicate repeats of a 79-nucleotide motif in X. laevis (X.l.) sequences. The GT box
indicates a region of GT repeats in the X. tropicalis (X.t.) sequence. B, comparison of the sequences of X. tropicalis and X. laevis promoters around
the transcription start site (indicated by arrows). Asterisks indicate differences between the two species. We predicted CAP sites and determined
score as described by Bucher (21). In the X. laevis promoter, a 9-bp insertion creates an extra CAP site, with a better predicted score than the initial
CAP site and that of X. tropicalis.
|
|
FIG. 3. The two X. laevis Slug genes
have identical expression patterns.
A, RT-PCR experiments were performed
on X. laevis embryos at various stages of
development. A specific primer was designed
for each gene based on the 5 -UTR.
The graph shows quantification using histone
H4 as an internal control. The two
Slug mRNAs displayed similar temporal
expression patterns and were produced at
similar levels. B, the distribution of Slug
and Slug mRNA was determined in
stage 14 NF embryos by in situ hybridization
using 5 -UTR sequences as short specific
probes. The two genes were expressed
at the same site in the
presumptive cephalic NCCs (arrowheads)
as previously described for Slug mRNA.
a.u., arbitrary units.
|
|
FIG. 4. Both X. laevis Slug promoters
drive specific expression in
NCCs. Constructs containing the GFP
coding region under the control of the slug
or slug promoter were injected into
one blastomere of a two-cell stage embryo,
and GFP levels were monitored throughout
early development. The dashed lines
indicate the midline of the embryo. e, eye
vesicle; c, cement gland. With both constructs,
a pattern similar to that for endogenous
Slug was obtained. Note that at
stage (St.) 25 NF, migrating cells colonizing
the branchial arches were still GFPpositive,
but the signal was weaker because
the acquisition time required to
detect it was three times longer (inset in
the upper right panel).
|
|
FIG. 5. The second CAP site is necessary for X. laevis Slug promoter function, whereas the first intron is not. A, the second CAP site
was deleted from the slug promoter ( 1700- CAP construct) (left panel). This construct was injected into embryos, and GFP expression was
quantified by RT-PCR analysis and compared with that driven by the full-length promoter (right panel). No fluorescence was detected with this
construct in living embryos, and the mRNA level at stage 19 NF was about one-fifth that obtained with the full-length promoter. A construct
containing the full-length promoter and the first intron gave results similar to those obtained with the promoter alone. Int1, intron 1; n, number
of embryos analyzed. B, shown is the comparison of the sequences surrounding the transcription initiation site in the 1700- CAP construct and
in the X. laevis and X. tropicalis Slug promoters. The transcription start sites are indicated by an uppercase G. Note that the X. laevis construct
lacking the second CAP site was very similar to the X. tropicalis promoter in this region. a.u., arbitrary units.
|
|
FIG. 6. Combination of the two conserved
regions is necessary and sufficient
to drive specific expression in
NCCs. Various constructs (left panel)
were injected into one blastomere of a
two-cell stage embryo at two different
concentrations. In 1 injections, 2
1017 mol of plasmid was injected in 15 nl.
This corresponded to 100 pg of the 3000-
GFP construct. In 8 injections, eight
times as many plasmids were injected in
the same volume. GFP expression was analyzed
both by fluorescence monitoring in
living embryos and by semiquantitative
RT-PCR with stage 19 NF total RNA. n,
number of embryos analyzed; fluo, localization
and intensity of the observed fluorescence
(major phenotype); nc, neural
crest; ep, presumptive epidermis. The
bars indicate the amount of GFP mRNA
relative to histone H4 mRNA. The images
show the GFP expression pattern obtained
with the 70TATA-GFP (TATA),
200A
-GFP (A
), 270A-GFP (A), and
700BA-GFP (BA) constructs.
Charact
|
|
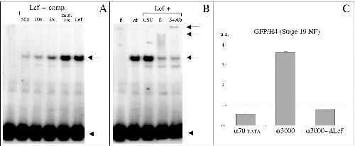
FIG. 7. Region B contains a functional Lef/ -catenin site necessary for positive regulation. A, shown are the results from a mobility
shift assay with a fragment of region B including the predicted Lef/ -catenin-binding site as a probe. Purified Lef-1 bound to this fragment (arrow).
This binding was inhibited in a dose-dependent manner by adding various amounts (2 to 50) of a DNA fragment including the published Lef-1
consensus binding site. No competition effect was detected with a mutated Lef-1 site (mut. 10 lane). The arrowhead indicates free probe. comp.,
competitor. B, if Lef-1 was incubated with a GST/ -catenin fusion protein before adding the probe, a DNALef-1 -catenin complex was detected
by electrophoretic mobility shift assay (middle arrow). This complex was not very stable under the conditions used, but its existence was confirmed
by adding an anti- -catenin antibody (Ab; upper arrow). The lane is a negative control in which the probe was incubated with GST/ -catenin
alone. The GST lane is a negative control in which Lef-1 was incubated with GST alone before adding the probe. The arrowhead indicates free
probe. C, GFP expression in stage 19 NF embryos injected with the indicated constructs was assessed by RT-PCR. The bars indicate the means
S.D. of three independent experiments. The 3000 Lef construct, which contained a promoter lacking the Lef-binding site, gave levels of GFP
much lower than those obtained with the full-length 3000 promoter, but similar to those obtained with the negative 70TATA control. a.u.,
arbitrary units.
30356
|