|
Figure 1. Analysis of Bub1 and Bub3 from Xenopus egg extracts. (A) Characterization of affinity-purified anti-Bub1 and anti-Bub3 antibodies. CSF-arrested egg extracts (lanes 1, 2, 7, and 8), or immunoprecipitates generated with control IgG (lanes 3, 5, 9, and 11), with anti-Bub1 (lanes 4 and 10) or anti-Bub3 antibodies (lanes 6 and 12) were probed with affinity-purified anti-Bub1 antibodies (lanes 1, 3–6), anti-Bub1 antibodies preblocked with recombinant Bub1 protein (lane 2), anti-Bub3 antibodies (lanes 7, 9–12), or anti-Bub3 preblocked with recombinant Bub3 protein (lane 8). The migration of molecular weight standards is indicated on the left. The prominent 55-kD protein is the IgG heavy chain. (B) Bub1 is a phosphoprotein. Bub1 was immunoprecipitated from CSF-arrested extract and treated with LPP (PPase) in the presence or absence of phosphatase inhibitors (PPase Inh.) as indicated on the top. (C) Bub1 is phosphorylated at interphase and mitosis, and under the checkpoint-active condition. Bub1 and Bub3 were coimmunoprecipitated with anti-Bub1 antibodies from interphase (lanes 1 and 4), CSF-arrested (lanes 2 and 5, mitosis), or checkpoint-active extracts (lanes 3 and 6, checkpoint), and left untreated (lanes 1–3) or treated with LPP (lanes 4–6). The upper panel was probed with anti-Bub1 antibody and the lower panel was probed with anti-Bub3 antibody.
|
|
Figure 2. Bub1 is necessary for the establishment and maintenance of the spindle checkpoint in frog egg extract. (A) Anti-Bub1 antibodies abolish the spindle checkpoint. CSF-arrested extracts were incubated for 30 min on ice without addition of anti-Bub1 antibody (top), with anti-Bub1 antibodies (middle), or with anti-Bub1 antibodies preblocked with recombinant Bub1 protein (bottom). Sperm nuclei and nuclei were added for 20 min, followed by the addition of calcium chloride to overcome the metaphase arrest. Samples were taken immediately before (t = 0) the addition of calcium and every 15 min thereafter, and histone H1 kinase activity was determined. Autoradiograms of histone H1 kinase assay as well as photographs of chromosomes at times indicated at bottom are presented. (B) Anti-Bub1 antibodies abolish the establishment and maintenance of the spindle checkpoint. For the effect on checkpoint establishment, CSF-arrested extracts were preincubated with control IgG (top), anti-Bub1 (middle), or anti-Mad1 antibodies (bottom) as described in A. For the effect on checkpoint maintenance, checkpoint was first established in extracts with sperm nuclei and nocodazole, followed by the addition of antibodies. Samples were taken for histone H1 kinase assay as in A. The decline in H1 kinase activity was accompanied by decondensation of chromosomes (data not shown). Bar, 10 μm.
|
|
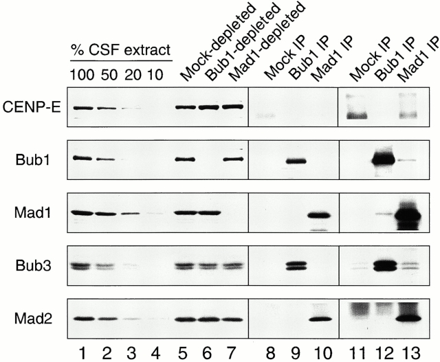
Figure 4. Immunoblot analysis of Bub1, Bub3, Mad1, Mad2, and CENP-E in extracts depleted of Bub1 or Mad1, and in Bub1 or Mad1 immunoprecipitates. The blot contains a serial dilution of CSF-arrested extract (100, 50, 20, and 10%, lanes 1–4), mock-depleted (lane 5), Bub1-depleted (lane 6), Mad1-depleted (lane 7) extracts, or immunoprecipitates generated with control IgG (Mock IP, lanes 8 and 11), anti-Bub1 (Bub1 IP, lanes 9 and 12), or anti-Mad1 antibodies (Mad1 IP, lanes 10 and 13). The blots were probed with antibodies against CENP-E, Bub1, Mad1, Bub3, or Mad2 as indicated on the left. The blots shown in lanes 11–13 are longer exposure of the same blots shown in lanes 8–10. Immunodepletion of Bub1 generally removed 10–20% of Bub3 and depletion of Mad1 removed 20–40% of Mad2 as determined by NIH Image software.
|
|
Figure 3. Kinetochore binding of Bub1 during the metaphase to anaphase transition. (A) Immunofluorescent staining of Bub1 and Mad1 in replicated sperm chromosomes in the presence (+Noc) or absence (−Noc) of nocodazole. Chromosomes were isolated and stained with rabbit anti-Bub1 and mouse anti-Mad1 antibodies. Fluorescein-conjugated anti–rabbit and Texas red–conjugated anti–mouse IgG antibodies were used as secondary antibodies. The DNA was stained with the DNA-binding dye Hoechst 33258. The merges of all three fluorochromes are also shown (Merge). All pictures were taken using the same magnification. (B) Bub1 dissociates from kinetochores during anaphase. Metaphase chromosomes were assembled with the addition of rhodamine-conjugated tubulin to visualize the mitotic spindle. Synchronous anaphase was induced by adding calcium chloride to inactivate the CSF activity, and samples were taken at times indicated on top. Chromosomes were isolated and stained with anti-Bub1 antibody and with Hoechst 33258 (top). A second aliquot of the sample was fixed directly with a solution containing formaldehyde and Hoechst 33258 to visualize the mitotic spindle and chromosomes (bottom). Bub1 dissociates from kinetochores after sister chromatids are well separated by 20 min after calcium addition. The inset shows an enlargement of a pair of sister chromatids that have clearly separated and still retain Bub1. Bars, 10 μm.
|
|
Figure 5. Dependency of kinetochore binding between various checkpoint proteins. Mitotic chromosomes were assembled in mock-depleted, Bub1-depleted, or Mad1-depleted extracts in the presence of nocodazole. The isolated chromosomes were then stained with mouse anti-Mad1 antibody along with rabbit anti-Mad2, anti-Bub1, anti-Bub3, or anti–CENP-E antibodies. The use of secondary antibodies and DNA staining were as described in the legend to Fig. 3. For space conservation, pictures of Mad1 staining are shown only once for each type of extract. Photographs for each antibody staining were taken for the same exposure time to reflect a difference in the staining level. Bar, 10 μm.
|
|
Figure 6. Bub1K872R is kinase deficient. Bub1 protein in various extracts was analyzed by immunoblot (lanes 1–4), or immunoprecipitated for an in vitro autophosphorylation reaction (lanes 5–8). Bub1-depleted extract was supplemented with mock translation (lanes 1 and 5), Bub1 translation (lanes 2 and 6), or Bub1K872R translation (lanes 3 and 7). Lanes 4 and 8, CSF-arrested extract. The migration of molecular weight standards is indicated on the left.
|
|
Figure 7. Bub1K872R is functional in the spindle checkpoint. (A) Bub1-depleted extracts containing mock, Bub1, or Bub1K872R translation as indicated on the left were incubated with sperm nuclei and nocodazole. Samples were taken for histone H1 kinase measurement as described in the legend to Fig. 2. The level of added protein compared with the endogenous protein is indicated on the left. Both Bub1 and Bub1K872R restore the checkpoint when added at 50–100% of the level of the endogenous protein. (B) Immunoblot of Bub1 for samples used in A.
|
|
Figure 8. Bub1 and Bub1K872R restore kinetochore binding of Mad1, Mad2, Bub3, and CENP-E in Bub1-depleted extract. Sperm nuclei and nocodazole were incubated with mock-depleted extract or Bub1-depleted extract supplemented with mock, Bub1, or Bub1K872R translation as indicated on the top. Isolated chromosomes were incubated with rabbit antibodies against Mad1, Mad2, Bub3, or CENP-E as indicated on the left, followed by fluorescein-conjugated anti–rabbit antibody. Bub1 was then detected with biotinylated anti-Bub1 antibody and Texas red–conjugated streptavidin. For space conservation, pictures of Bub1 are shown only once for each type of extract. The merge pictures contain all three fluorochromes. Bar, 10 μm.
|
|
Figure 9. Models for the interaction of spindle checkpoint proteins at the kinetochore. (A) Bub1 interacts directly with CENP-E and Mad1–Mad2 on unattached kinetochores. Binding of CENP-E to microtubules may induce a conformational change in Bub1 that disrupts its interaction with the Mad1–Mad2 complex. The anti–CENP-E antibody may produce a similar effect on Bub1, thus dissociating Mad1–Mad2 from kinetochores (Abrieu et al. 2000). (B) Bub1 interacts with Mad1–Mad2 through CENP-E. Loss of Mad1–Mad2 on kinetochores in Bub1-depleted extracts may be a result of a lack of CENP-E on kinetochores.
|