XB-ART-8812
Differentiation
2001 Mar 01;673:80-3.
Show Gene links
Show Anatomy links
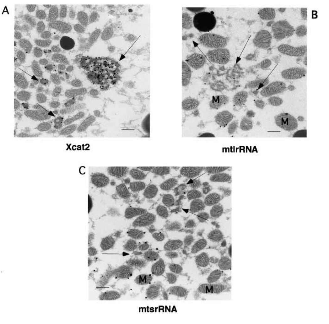
Mitochondrial ribosomal RNA in the germinal granules in Xenopus embryos revisited.
???displayArticle.abstract???
Germ cells of various animals contain a determinant that is called the germ plasm. In amphibians such as Xenopus laevis, the germ plasm is composed of mitochondria and electron dense germinal granules that are embedded in a fibrillar matrix. Previous reports indicated that one of the components of germinal granules was mitochondrial large and small ribosomal RNA (mtlrRNA and mtsrRNA). Utilizing a modified procedure for electron microscopy in situ hybridization, we investigated the distribution of these RNAs along with other components of the germ plasm in Xenopus laevis embryos. We found, that contrary to previous reports, the mtlrRNA and mtsrRNA were located in close vicinity to the germinal granules but were not major constituents of granules. The majority of the mtlrRNA and mtlsrRNAs was present inside the mitochondria and in the germ plasm matrix.
???displayArticle.pubmedLink??? 11428130
???displayArticle.link??? Differentiation
???displayArticle.grants???
Species referenced: Xenopus laevis
Genes referenced: cat2 nanos1
???attribute.lit??? ???displayArticles.show???
