Click here to close
Hello! We notice that you are using Internet Explorer, which is not supported by Xenbase and may cause the site to display incorrectly.
We suggest using a current version of Chrome,
FireFox, or Safari.
Multiple cadherin extracellular repeats mediate homophilic binding and adhesion.
Chappuis-Flament S
,
Wong E
,
Hicks LD
,
Kay CM
,
Gumbiner BM
.
???displayArticle.abstract???
The extracellular homophilic-binding domain of the cadherins consists of 5 cadherin repeats (EC1-EC5). Studies on cadherin specificity have implicated the NH(2)-terminal EC1 domain in the homophilic binding interaction, but the roles of the other extracellular cadherin (EC) domains have not been evaluated. We have undertaken a systematic analysis of the binding properties of the entire cadherin extracellular domain and the contributions of the other EC domains to homophilic binding. Lateral (cis) dimerization of the extracellular domain is thought to be required for adhesive function. Sedimentation analysis of the soluble extracellular segment of C-cadherin revealed that it exists in a monomer-dimer equilibrium with an affinity constant of approximately 64 microm. No higher order oligomers were detected, indicating that homophilic binding between cis-dimers is of significantly lower affinity. The homophilic binding properties of a series of deletion constructs, lacking successive or individual EC domains fused at the COOH terminus to an Fc domain, were analyzed using a bead aggregation assay and a cell attachment-based adhesion assay. A protein with only the first two NH(2)-terminal EC domains (CEC1-2Fc) exhibited very low activity compared with the entire extracellular domain (CEC1-5Fc), demonstrating that EC1 alone is not sufficient for effective homophilic binding. CEC1-3Fc exhibited high activity, but not as much as CEC1-4Fc or CEC1-5Fc. EC3 is not required for homophilic binding, however, since CEC1-2-4Fc and CEC1-2-4-5Fc exhibited high activity in both assays. These and experiments using additional EC combinations show that many, if not all, the EC domains contribute to the formation of the cadherin homophilic bond, and specific one-to-one interaction between particular EC domains may not be required. These conclusions are consistent with a previous study on direct molecular force measurements between cadherin ectodomains demonstrating multiple adhesive interactions (Sivasankar, S., W. Brieher, N. Lavrik, B. Gumbiner, and D. Leckband. 1999. PROC: Natl. Acad. Sci. USA. 96:11820-11824; Sivasankar, S., B. Gumbiner, and D. Leckband. 2001. Biophys J. 80:1758-68). We propose new models for how the cadherin extracellular repeats may contribute to adhesive specificity and function.
Figure 1. Sedimentation equilibrium analysis of the soluble C-cadherin ectodomain (CEC1-5). (A) Sedimentation equilibrium data. (Bottom) Show global fit of data collected at six loading concentrations ranging from 2–25 μM and rotor speeds of 10,000 rpm (○) and 14,000 rpm (□) to a monomer–dimer self association model. Symbols represent measured data points, and solid lines represent theoretical fits to the model. (Top) Illustrates the deviations of the measured points from the theoretical fit lines. (B) Plots illustrating expected fractions of monomer (solid line) and dimer (dashed line) at different CEC1-5 concentrations, calculated using the Kd(1-2) of 64 μM determined by the global fit of the sedimentation equilibrium data to a monomer–dimer association model.
Figure 2. Schematic representation of Xenopus C-cadherin and the chimeric Fc fusion proteins. Full-length C-cadherin molecule consists of the ectodomain (five EC domains), transmembrane region (TM) and the cytoplasmic tail (CP). CEC1-5Fc consists of the ectodomain fused to the Fc part of the human IgG (Fc). Domains were expressed as Fc chimaeras to force dimerization, since dimerization of C-cadherin was shown to be crucial for adhesive function. CEC1-4Fc, CEC1-3Fc, and CEC1-2Fc consist of successively fewer number of cadherin repeats fused to Fc at the COOH terminus. CEC3-4-5Fc consists of the ectodomain deleted from the NH2-terminal region fused to Fc at the COOH terminus. CEC1-2FNFc consists of the first two domains fused to the two fibronectin type III repeats of the chicken N-CAM (FN III), still having Fc as the COOH-terminal region. CEC1-2-4Fc consists of successively domains 1-2 and 4 fused to Fc at the COOH terminus and on the same scheme CEC1-2-4-5Fc of domains 1-2 and 4-5.
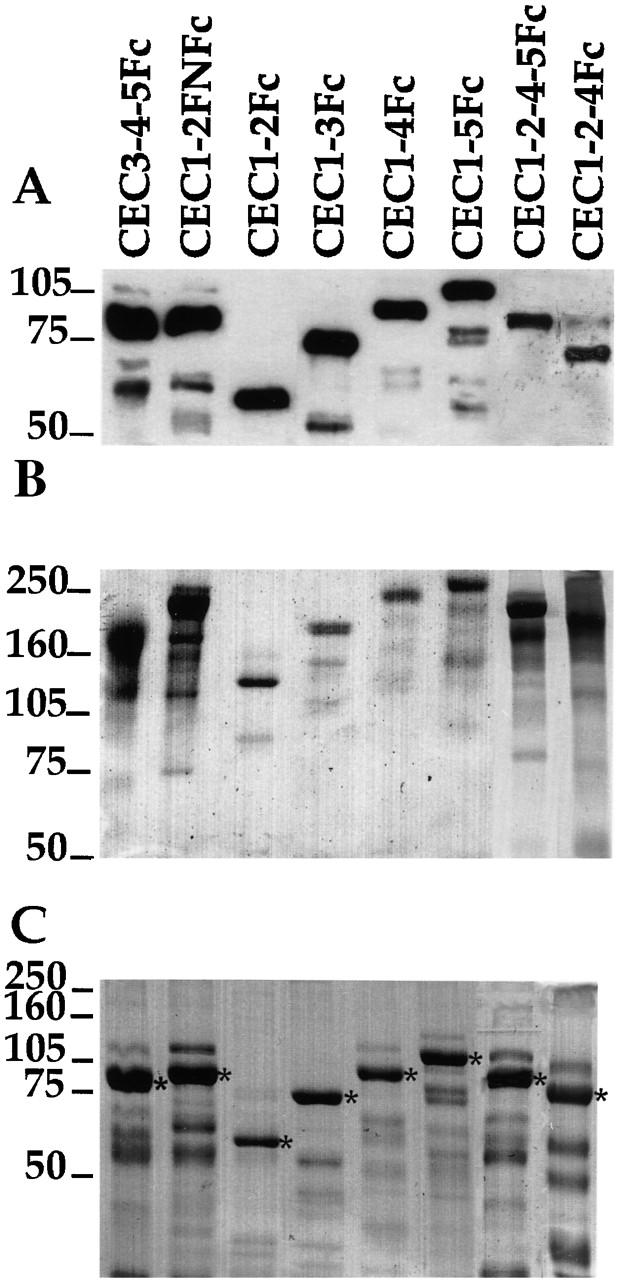
Figure 3. Expression and purification of the mutant cadherin proteins secreted from transfected CHO cells. (A) Western blotting of purified proteins with an anti–human Fc; (B) Coomassie staining of purified proteins on a non reducing gel; (C) Coomassie staining of purified proteins separated by an 8% reducing gel. *Indicate processed mature full-length protein as confirmed by NH2-terminal sequencing.
Figure 4. Basic homophilic binding activity of cadherin mutants assessed by bead aggregation assay. (A) Full-length and COOH-terminal EC domain deletions: CEC1-5Fc, CEC1-4Fc, CEC1-3Fc, and CEC1-2Fc. (B) Analysis of CEC1-2 with spacers inserted: CEC1-2FNFc compared to CEC1-5Fc. The number of aggregates of coated microspheres large enough to be detected by a Coulter counter is plotted as function of time. Samples were incubated in the absence of calcium (EDTA) or in the presence of calcium (Ca). The experiment was performed with at least three different batches of protein and the mean ± SEM is shown.
Figure 5. Adhesive activity of C-cadherin mutants assessed by a cell detachment assay. The adhesive strength is measured by the resistance of cell detachment under a laminar flow from surfaces coated with chimeric proteins. (A) Adhesion of CHO cells expressing C-cadherin (C-CHO cells) to CEC1-5Fc at different concentrations of CEC1-5Fc (100, 20, 10, and 5 μg/μl). The construct was attached to the tube surface via protein A, and the cells were allowed to bind to the substrate under static conditions. The flow was subsequently increased every 30 s, and the number of cells remaining within the field of view was counted. Assays were performed in the presence of calcium using C-CHO cells or control CHO cells. (B) Adhesion of C-CHO cells to surfaces coated with CEC1-5Fc, CEC1-4Fc, CEC1-3Fc, CEC1-2Fc (two different clones), and CEC1-2FNFc, all at 5 μg/μl. The experiments were performed in triplicate and the mean ± SEM is shown.
Figure 6. Homophilic binding and cell attachment activities of constructs lacking the EC3 domain: CEC1-2-4Fc and CEC1-2-4-5Fc. (A) Bead aggregation assay using a Coulter counter as described in the legend to Fig. 4. (B and C) Analysis of adhesion to chimaeric proteins using the laminar flow assay as described in Fig. 5. Adhesion of C-CHO cells to CEC1-2-4Fc (B) and CEC1-2-4-5Fc (C) compared with CEC1-5Fc, all at 5 μg/μl. The experiments were performed in triplicate and the mean ± SEM is shown.
Figure 7. Lack of adhesion activity of a construct lacking EC domains 1 and 2 (CEC3-4-5Fc) by laminar flow assay. Attachment of C-CHO cells to high concentrations of CEC3-4-5Fc (100 μg/μl) compared with CEC1-5Fc. The experiment was performed in triplicate and the mean ± SEM is shown.
Figure 8. Mixed bead aggregation assay to assess homophilic binding activity between different cadherin mutants. Flow cytometry was used to detect and quantify mixed aggregates formed between yellow fluorescent beads (Y) and red fluorescent beads (R) coated with different cadherin EC constructs. Mixed aggregates appear in the region to the right of and above the lines drawn on the graph. (Yellow only singlets and small aggregates appear in the lower right region, but red only singlets and small aggregates do not appear on the graph because they lie on the y axis.) (A) Analysis of aggregation between CEC1-5Fc on both sets of beads. (B) Analysis of aggregation between CEC1-2Fc on both sets of beads. (C) Analysis of aggregation between CEC3-4-5FC on both sets of beads. (D) Analysis of aggregation between CEC1-2Fc–coated yellow beads and CEC3-4-5FC–coated red beads.
Figure 9. Model of adhesive bond formation via the extracellular cadherin repeats. (A) Binding via multiple EC domains, as demonstrated in this study. If binding sites have different orientations, cadherin dimers could form two-dimensional lattices (not shown). (B) Linear zipper model for the homophilic bond via the EC1 domains alone, as proposed in Shapiro et al. (1995).
Figure 10. Two hypothetical models for role of EC1 domain in determining cadherin binding specificity. (A) Cis-dimerization specificity could influence adhesive binding specificity. Calcium binding causes the ectodomain to behave as a single structural unit. Therefore, alterations in the orientation of the EC1 domain dimerization interface are propagated to the binding sites throughout the rest of the EC domains. (B) An initial cadherin specific interaction between EC1 domains could precede the formation of the final homophilic bonds between the other EC domains. A repulsive barrier between cells would be postulated to prevent interactions between EC2-5 from occurring directly, and an initial weak binding between EC1 domains would lower the energy barrier leading to the final binding state.
Amagai,
Autoantibodies against the amino-terminal cadherin-like binding domain of pemphigus vulgaris antigen are pathogenic.
1992, Pubmed
Amagai,
Autoantibodies against the amino-terminal cadherin-like binding domain of pemphigus vulgaris antigen are pathogenic.
1992,
Pubmed
Babul,
Measurement of protein concentration with interferences optics.
1969,
Pubmed
Baumgartner,
Cadherin interaction probed by atomic force microscopy.
2000,
Pubmed
Bazzoni,
Are changes in integrin affinity and conformation overemphasized?
1998,
Pubmed
Berx,
Dysregulation of the E-cadherin/catenin complex by irreversible mutations in human carcinomas.
1998,
Pubmed
Berx,
Mutations of the human E-cadherin (CDH1) gene.
1998,
Pubmed
Blaschuk,
Identification of a cadherin cell adhesion recognition sequence.
1990,
Pubmed
Brieher,
Lateral dimerization is required for the homophilic binding activity of C-cadherin.
1996,
Pubmed
,
Xenbase
Chitaev,
Adhesive but not lateral E-cadherin complexes require calcium and catenins for their formation.
1998,
Pubmed
Cunningham,
Neural cell adhesion molecule: structure, immunoglobulin-like domains, cell surface modulation, and alternative RNA splicing.
1987,
Pubmed
Davis,
High level expression in Chinese hamster ovary cells of soluble forms of CD4 T lymphocyte glycoprotein including glycosylation variants.
1990,
Pubmed
Dransfield,
Divalent cation regulation of the function of the leukocyte integrin LFA-1.
1992,
Pubmed
Grumet,
Evidence for the binding of Ng-CAM to laminin.
1993,
Pubmed
Grumet,
Neuron-glia cell adhesion molecule interacts with neurons and astroglia via different binding mechanisms.
1988,
Pubmed
Gumbiner,
Cell adhesion: the molecular basis of tissue architecture and morphogenesis.
1996,
Pubmed
Horton,
Engineering hybrid genes without the use of restriction enzymes: gene splicing by overlap extension.
1989,
Pubmed
Hyafil,
Cell-cell interactions in early embryogenesis: a molecular approach to the role of calcium.
1981,
Pubmed
Johnson,
Analysis of data from the analytical ultracentrifuge by nonlinear least-squares techniques.
1981,
Pubmed
Kim,
N-Cadherin extracellular repeat 4 mediates epithelial to mesenchymal transition and increased motility.
2000,
Pubmed
Kitagawa,
Mutation analysis of cadherin-4 reveals amino acid residues of EC1 important for the structure and function.
2000,
Pubmed
Koch,
Homophilic adhesion by cadherins.
1999,
Pubmed
Lambert,
Immobilized dimers of N-cadherin-Fc chimera mimic cadherin-mediated cell contact formation: contribution of both outside-in and inside-out signals.
2000,
Pubmed
Laue,
Modern applications of analytical ultracentrifugation.
1999,
Pubmed
Lee,
Disruption of gastrulation movements in Xenopus by a dominant-negative mutant for C-cadherin.
1995,
Pubmed
,
Xenbase
Levine,
Selective disruption of E-cadherin function in early Xenopus embryos by a dominant negative mutant.
1994,
Pubmed
,
Xenbase
Nagar,
Structural basis of calcium-induced E-cadherin rigidification and dimerization.
1996,
Pubmed
Nose,
Localization of specificity determining sites in cadherin cell adhesion molecules.
1990,
Pubmed
Nose,
Expressed recombinant cadherins mediate cell sorting in model systems.
1988,
Pubmed
Ozawa,
Correct proteolytic cleavage is required for the cell adhesive function of uvomorulin.
1990,
Pubmed
Ozawa,
A possible new adhesive site in the cell-adhesion molecule uvomorulin.
1990,
Pubmed
Ozawa,
Single amino acid substitutions in one Ca2+ binding site of uvomorulin abolish the adhesive function.
1990,
Pubmed
Pertz,
A new crystal structure, Ca2+ dependence and mutational analysis reveal molecular details of E-cadherin homoassociation.
1999,
Pubmed
Pokutta,
Conformational changes of the recombinant extracellular domain of E-cadherin upon calcium binding.
1994,
Pubmed
Ranheim,
Homophilic adhesion mediated by the neural cell adhesion molecule involves multiple immunoglobulin domains.
1996,
Pubmed
Retzler,
Analysis of neurocan structures interacting with the neural cell adhesion molecule N-CAM.
1996,
Pubmed
Shan,
The adhesive binding site of cadherins revisited.
1999,
Pubmed
Shan,
Functional cis-heterodimers of N- and R-cadherins.
2000,
Pubmed
Shapiro,
Structural biology of cadherins in the nervous system.
1998,
Pubmed
Shapiro,
Structural basis of cell-cell adhesion by cadherins.
1995,
Pubmed
Shimoyama,
Biochemical characterization and functional analysis of two type II classic cadherins, cadherin-6 and -14, and comparison with E-cadherin.
1999,
Pubmed
Shimoyama,
Identification of three human type-II classic cadherins and frequent heterophilic interactions between different subclasses of type-II classic cadherins.
2000,
Pubmed
Sivasankar,
Direct measurements of multiple adhesive alignments and unbinding trajectories between cadherin extracellular domains.
2001,
Pubmed
Sivasankar,
Direct molecular force measurements of multiple adhesive interactions between cadherin ectodomains.
1999,
Pubmed
,
Xenbase
Steinberg,
Experimental specification of cell sorting, tissue spreading, and specific spatial patterning by quantitative differences in cadherin expression.
1994,
Pubmed
Steinberg,
Cadherins and their connections: adhesion junctions have broader functions.
1999,
Pubmed
Stewart,
Regulation of leukocyte integrin function: affinity vs. avidity.
1996,
Pubmed
Takeda,
E-cadherin functions as a cis-dimer at the cell-cell adhesive interface in vivo.
1999,
Pubmed
Takeichi,
Cadherin cell adhesion receptors as a morphogenetic regulator.
1991,
Pubmed
Takeichi,
Morphogenetic roles of classic cadherins.
1995,
Pubmed
Tamura,
Structure-function analysis of cell adhesion by neural (N-) cadherin.
1998,
Pubmed
Tomschy,
Homophilic adhesion of E-cadherin occurs by a co-operative two-step interaction of N-terminal domains.
1996,
Pubmed
Volk,
Formation of heterotypic adherens-type junctions between L-CAM-containing liver cells and A-CAM-containing lens cells.
1987,
Pubmed
Williams,
A novel family of cyclic peptide antagonists suggests that N-cadherin specificity is determined by amino acids that flank the HAV motif.
2000,
Pubmed
Yap,
Lateral clustering of the adhesive ectodomain: a fundamental determinant of cadherin function.
1997,
Pubmed
,
Xenbase
Yauch,
Mutational evidence for control of cell adhesion through integrin diffusion/clustering, independent of ligand binding.
1997,
Pubmed
Zhong,
Analysis of C-cadherin regulation during tissue morphogenesis with an activating antibody.
1999,
Pubmed
,
Xenbase