|
Fig. 3. Spatial pattern of Kermit expression. In situ hybridization was performed at early gastrula, early and late neurula, and tadpoles stages. (A) A stage 10+ gastrula, with the dorsal lip visible in the lower left. (B) A hemisection of a stage 14 neurulae, with dorsal oriented upwards; diffuse staining is visible in the neural plate, notochord, and paraxial mesoderm. (C) Strong staining in the anterior neural plate of a stage 18 neurula (anterior is towards the left). (D,E) Stage 26 and (F) stage 32 tadpoles, with kermit expression in the neural tube, eye, otic vesicle and branchial arches. (G) Expression of Xfz3 in a stage 32 tadpole.
|
|
Sequence of Kermit. Deduced amino acid sequences from Kermit, human GIPC and C. elegans gene C35D10.2 were aligned using MacVector 6.0 ClustalW alignment. Identical amino acids are in black boxes and similar amino acids are in gray. The PDZ domain is underlined. Kermit sequence has been deposited into the GenBank database under Accession Number AF215838.
|
|
Temporal pattern of Kermit expression. (A) Northern blot of Kermit expression. Kermit was detected as a single band at 4.7 kb. Lanes 1 to 3: total RNA (20 μg) from oocytes, stage 9, and stage 11 embryos. (B) RT-PCR analyses of Kermit, Xfz3, Xfz7 and Xfz8 expression. Lanes 1 to 3: stage II, III-IV and V-VI oocytes. Lanes 4 to 11: RNA from stage 3-4, 7, 10, 12, 20, 27, 32 and 40 embryos. Lane 12: negative control without reverse transcriptase. FGFR1 was used as a loading control.
|
|
Interaction of Kermit with the C termini of Xfzs in yeast two hybrid assays. Yeast strain Y190 was transformed with Kermit or Kermit mutants and Xfz3, Xfz7 or Xfz8, plated on either nonselective medium (-trp, -leu) or selective medium (-trp, -leu, -his). Growth was checked 3 to 4 days later, and the hydrolysis of X-gal was monitored on filter lifts from all plates. Plus signs indicate size of colonies; minus sign indicates no growth (in left and middle columns) or no X-gal hydrolysis (right column). (A) Interaction of Kermit with the C termini of Xfz3, Xfz7 and Xfz8. (B) Domain requirement of Kermit in interaction with Xfz3. Blue, N terminus (amino acids 1-127); green, PDZ domain (amino acids 128-217); purple, C terminus (amino acid 218-331).
|
|
Kermit interacts with Xfzs in vitro and in Xenopus embryos. (A) In vitro binding: Xfz3, Xfz7 and Xfz8 C-termini purified as GST-fusion proteins were incubated with 35S-labeled Kermit (in vitro translated). Autoradiography (top panel) shows that Kermit bound strongly to the Xfz3 C terminus and weakly to Xfz7, but not to Xfz8. The lower panel shows Coomassie Brilliant Blue staining of the GST fusion proteins. (B) Co-immunoprecipitation of Kermit and Xfz3. Embryos were injected at the one-cell stage with mRNAs encoding Xfz3 and Myc-tagged Kermit, and cultured until the late blastula stage. Xfz3/Kermit complexes were immunoprecipitated from embryo lysates with anti-Myc antibody and Xfz3 was visualized by Western blotting.
|
|
Xfz3 causes Kermit membrane translocation. Kermit-GFP or control GFP mRNA were injected into animal poles with Xfz3 or Xfz8 mRNA at the one-cell stage. Animal caps were dissected at stage 8, fixed and analyzed by confocal microscopy. (A) Kermit-GFP is localized to both cytoplasm and nucleus, similar to the GFP control (compare A with C). (B) Expression of Xfz3 causes a marked translocation of Kermit to the plasma membrane, with little remaining in the nucleus or cytoplasm. (C) Control expression of GFP, with localization in cytoplasm and nucleus. (D) Xfz3 expression has no effect on the distribution of GFP alone. (E) Xfz8 has only a small effect on Kermit subcellular distribution (compare A with E).
|
|
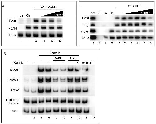
Overexpression of Kermit inhibits neural crest induction by Xwnt1 and Xfz3. mRNAs for chordin, Xwnt1 or Xfz3, and Kermit were injected into the animal pole of fertilized eggs. (A,B) Animal caps were dissected when embryos reached stage 8-9 and RNA was harvested at stage 18 for RT-PCR analysis using primers for Xtwist, Xslug, NCAM or EF-1α (as described in the Materials and Methods). (A) Kermit (0.12, 0.25 or 0.5 ng of Kermit mRNA) inhibits Xwnt1-dependent induction of the neural crest marker Xtwist in a dose-dependent manner. Xslug expression was also inhibited (not shown). (B) Kermit (0.004, 0.016, 0.06, 0.25 or 1.0 ng of Kermit mRNA) inhibits Xslug and Xtwist induction by Xfz3. EF-1α was used as a loading control. (C) Kermit does not affect expression of neural markers NCAM, Nrp1 and Xotx2, or of the epidermal marker keratin. Fertilized eggs were injected with mRNA for chordin (0.1 ng), Xwnt1 (0.1 pg), Xfz3 (0.13 ng) and kermit (1.0 ng), as indicated in the figure; animal caps were explanted at stage 8-9 and harvested at stage 25 for RT-PCR, as above.
|
|
Kermit is required for neural crest induction by Xfz3. (A) Kermit morpholino antisense oligonucleotide (MO) directed against the 5â²UTR of Kermit mRNA blocks translation of Kermit protein. Kermit mRNA was injected into embryos with increasing concentrations of Kermit MO or control MO and embryo lysates were analyzed by western blotting with anti-NIP antibodies (which crossreact with overexpressed Kermit). Translation of Kermit mRNA lacking the 5â²UTR was not inhibited by the Kermit MO (20 ng MO; right panel). (B) Depletion of Kermit with antisense MO (4 ng; lane 6) reduces or eliminates neural crest induction by Xfz3 (lanes 4 and 6). Neural crest induction and RT-PCR were performed as in figure 7. Lane 1 is a no reverse transcriptase control; lane 2 shows uninjected control caps (un); lane 3 shows samples expressing chordin alone; lane 4 shows induction of neural crest makers by Xfz3 + chordin; lane 5 shows Xfz3 + chordin + control MO (C); and lane 6 shows Xfz3 + chordin + Kermit-MO (K). (C) Kermit mRNA lacking the 5â²UTR rescues inhibition by Kermit MO. Neural crest induction assay was performed as above. Kermit MO (4 ng) was injected (lanes 3, 4) with (+) or without (â) Kermit mRNA (10 pg) lacking the 5â²UTR.
|