Click here to close
Hello! We notice that you are using Internet Explorer, which is not supported by Xenbase and may cause the site to display incorrectly.
We suggest using a current version of Chrome,
FireFox, or Safari.
???displayArticle.abstract???
Members of the Xvent-2 homeodomain transcription factor family are immediate response genes of BMP-4 signaling. The bone morphogenetic protein response element (BRE) of Xvent-2B was previously identified and characterized with respect to Smad1 and Smad4 binding sites. In this study, we further report on the transcriptional regulation of Xvent-2B. We provide evidence that Xvent-2B (Xvent-2) maintains its own expression through autoregulation. This activity was demonstrated for the endogenous gene by reverse transcriptase-PCR analysis and was found to be insensitive to cycloheximide. Localized by DNase I footprinting were several Xvent-2 binding sites within the proximal upstream region including the BRE. In the early Xenopus embryo, the BRE was shown to be sufficient to drive expression of a green fluorescent protein reporter in a similar pattern compared with the endogenous gene. Furthermore, Xvent-2B was able to activate the BRE in luciferase reporter assays, and in co-injection experiments Xvent-2B and Smad1 were found to synergistically activate the BRE. Moreover, glutathione S-transferase pull-down experiments demonstrated that Xvent-2B directly and specifically interacts with Smad1. This association was mediated by the MH1 domain of Smad1 and required the C-terminal domain of Xvent-2. The failure of an Xvent-2 mutant lacking the C terminus to stimulate the BRE underlines the significance of the C-terminal domain in the described autoregulatory loop.
FIG. 1. Positive autoregulation of Xvent-2 and Xvent-2B. Xenopus
embryos were injected with mRNA encoding Xvent-2 or Xvent-2B
into both ventral blastomeres of 4-cell stage embryos. Embryos were
treated with or without cycloheximide at stage 7.5. Total RNA was
isolated from stage 10.5 embryos and was subjected to RT-PCR to
evaluate Xvent-2 and Xvent-2B expression. Histone H4 transcripts
were used as an internal control.
FIG. 2. Comparison of Xvent-2B BRE-driven GFP expression
with the endogenous gene. Whole mount in situ hybridization of
endogenous Xvent-2B at stage 11.5 (A) and GFP expression under the
control of the BRE in transgenic Xenopus embryos at stage 10 (B), 11.5
(C), and 13 (D). GFP expression was visualized by fluorescence in living
embryos. Note that in both the integrated (diffuse staining) as well as
unintegrated DNA (punctuate staining) are not expressed within the
dorsal lip or dorsal midline.
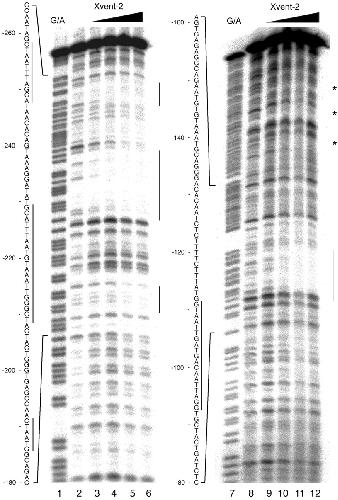
FIG. 3. Specific binding of Xvent-2 to the Xvent-2B promoter.
DNase I footprinting analysis of Xvent-2 protein to 32P-labeled
Xvent-2B DNA fragments, 275/ 152 fused to the minimal promoter
( 32/ 34) (left panel) and 370/ 32 (right panel). Lanes 1 and 7 show
the G/A chemical sequencing reactions, and lanes 2 and 5 contain
DNase I-digested free DNA. In lanes 3â6 and lanes 9â12 DNase I
digestion was performed with increasing amounts of Xvent-2 (from 30
to 240 ng). Asterisks on the right panel denote protein-protected sites as
shown on the left panel.
FIG. 4. Xvent-2B and Smad1 cooperatively activate the
Xvent-2B promoter. Wild-type Xvent-2B BRE fused to the minimal
promoter, cloned upstream of the luciferase reporter or a mutated
construct (Smad binding element; mut SBE 3/4) (21), were co-injected
into both dorsal blastomeres at the 4-cell stage of Xenopus embryos with
Xvent-2B (Xv2; 200 pg), Smad1 (250 pg), and BMP-4 (250 pg) as indicated.
Luciferase activity was measured at stage 11.
FIG. 5. Xvent-2 from Xenopus lysates specifically interacts
with Smad1. Myc-tagged Xvent-2 was injected into both blastomeres of
2-cell Xenopus embryos. Embryos were collected at stage 11, and total
cell lysates were incubated with GST or GST-Smad fusion proteins.
Upper panel, bound Xvent-2 was detected by Western blot analysis
using the Myc antibody. Lower panel, a fraction of each sample was
loaded on a separate gel and stained using Coomassie Blue to illustrate
and quantify the amount of GST proteins used and pulled-down in each
reaction.
FIG. 6. Interaction of Smad1 and Xvent-2 is direct. Smad proteins
were labeled with [35S]methionine by in vitro transcription/translation
and incubated with GST or GST-Xvent-2. The reactions were
washed and analyzed using 10% SDS-PAGE. The gel was stained with
Coomassie Blue before drying to control for GST proteins (data not
shown).
FIG. 7. The Smad1 MH1 domain is required and sufficient to
mediate Xvent-2 binding. Smad1 proteins were labeled with [35S]methionine
by in vitro transcription/translation and incubated with GST
or GST-Xvent-2. The reactions were washed and analyzed using 10%
SDS-PAGE.
FIG. 8. The C terminus of Xvent-2 is essential for association
with Smad1 and for transcriptional activation. A, Xvent-2 proteins
were labeled with [35S]methionine by in vitro transcription/translation
and incubated with GST or GST-Smad1. The reactions were
washed and analyzed using 10% SDS-PAGE. B, 200 pg of indicated
RNAs were co-injected with 20 pg of BRE fused to the minimal promoter/
luciferase constructs into both dorsal blastomeres at the 4-cell stage.
Luciferase activities were measured at stage 11.