|
Figure 1. Sequence alignment of the preM2/M2 segments of rat α, β, and γ ENaC. The number of the first residue shown is indicated. The putative start of M2 and the position of the amiloride binding site (αS583, βG525, and γG537) are indicated. Mutations that change ionic selectivity are mutations of αG587 and αS589 as well as residues at the homologous positions in β and γ subunits. Residues shown in white on a dark background change Na+/K+ selectivity when mutated, and mutation of αG587 and the homologous residues in β and γ subunits change Li+/Na+ selectivity. Mutation of γS541 (shown in black on gray background) changes Li+/Na+, but not Na+/K+ selectivity.
|
|
Figure 2. The K+/Na+ permeability ratio is increased by αS589 mutations. Current-voltage relationship in 120-mM Na+ and 120-mM K+ bath solution from oocytes expressing αS589A, αS589C, and αS589N measured with two-electrode voltage clamp. Currents were measured during 1-s voltage steps from a holding potential of −20 mV to test potentials of −140 to +40 mV in 20-mV increments. Currents measured in the presence of 10 μM amiloride were subtracted from currents measured in the absence of amiloride. In each experiment, the amiloride-sensitive Na+ and K+ currents were normalized to the amiloride-sensitive Na+ current at −100 mV. To allow Na+ to enter the oocyte during the expression phase without downregulation of channel activity, mutant α subunits were coexpressed with β subunits containing the Liddle mutation βY618A together with wt γ ENaC and oocytes were kept in a solution containing 90 mM Na+ during the expression phase (Kellenberger et al. 1998). The mutation βY618A does not affect ion selectivity. Erev, Na − Erev, K was 114 mV (wt), 96 mV (αS589A), 37 mV (αS589C), and 15 mV (αS589N), n = 4–5. INa at −100 mV was 30.0 ± 3.6 μA (αS589A), 8.3 ± 1.7 μA (αS589C), and 9.3 ± 2.1 μA (αS589N).
|
|
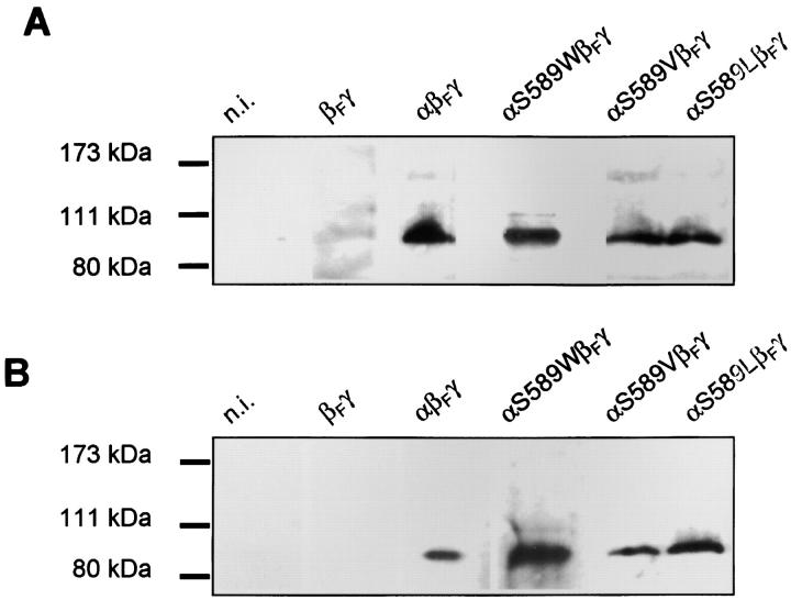
Figure 3. Analysis of translation of wt and mutant α subunits and of assembly with β subunits. Oocytes were not injected or injected with RNAs encoding ENaC carrying a FLAG epitope on the β subunit, αβFγ, αS589LβFγ, αS589VβFγ, αS589WβFγ, or βFγ, as indicated. (A) Western blot immunostaining of solubilized wt and mutant ENaC subunits. Solubilized proteins were subjected to SDS-PAGE, and αENaC was visualized on Western blots using an anti–rat αENaC antibody (May et al. 1997). Molecular markers are indicated. (B) Western blot immunostaining for coimmunoprecipitation of wt and mutant ENaC under nondenaturing conditions. Nondenaturing coimmunoprecipitation was performed with an anti-FLAG antibody. Immunoprecipitates were subjected to SDS-PAGE and αENaC was visualized on Western blots using an anti–rat αENaC antibody. Specificity of the anti–rat αENaC antibody is demonstrated by a control in which no αENaC RNA was injected (βFγ).
|
|
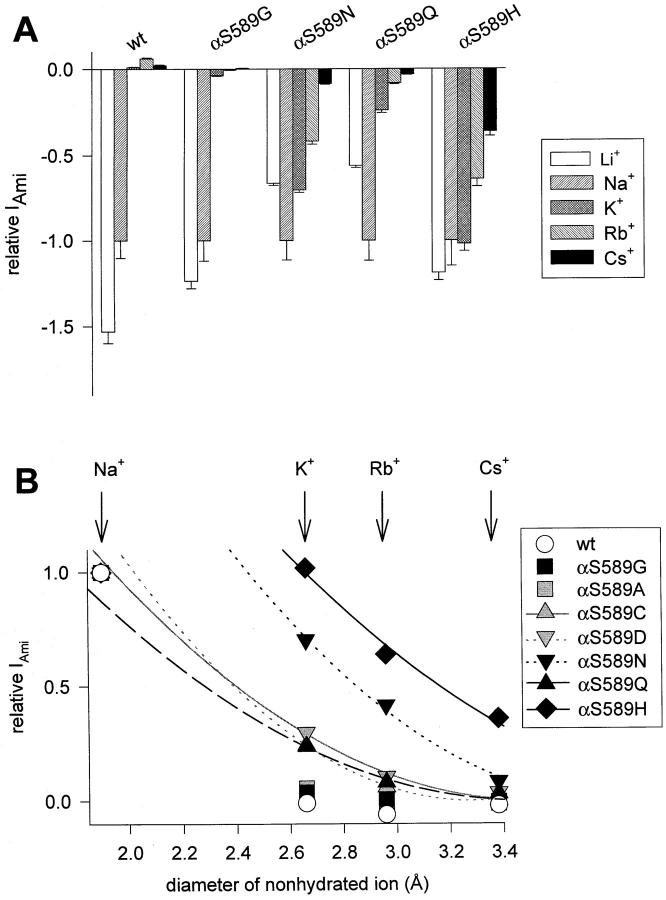
Figure 4. Selectivity of αS589 mutants to alkali metal cations. Two-electrode voltage-clamp recordings from Xenopus oocytes expressing ENaC wt or αS589 mutants. (A) Macroscopic amiloride-sensitive currents were measured at −100 mV in oocytes superfused with Li+, Na+, K+, Rb+, or Cs+ external solutions (materials and methods). Amiloride-sensitive currents are normalized to INa, and presented as mean ± SEM (n = 4–83 per condition). Positive current values correspond to outward currents. (B) Relationship between the size of the ion and permeability. The normalized amiloride-sensitive currents are plotted as a function of the diameter of the nonhydrated ion. Fits to the equation Ix/INa = f x [1 − (dS/2)/(dC/2)]2, where f is a scaling factor, dS is the diameter of permeating spheres, and dC is the diameter of the cylinder (the pore; Dwyer et al. 1980) are shown for the αS589 mutants that are permeable to at least K+ and Rb+. Data and fits of the previously studied mutants αS589A, C, and D are shown in gray. The values of dC obtained from the fit are 3.8 Å for αS589N, 3.5 Å for αS589Q, and 4.4 Å for αS589H.
|
|
Figure 5. Single-channel records of ENaC wt and αS589 mutants. Traces are from outside-out patches from Xenopus oocytes at a holding potential of −100 mV in extracellular Li+ solution. The dotted lines indicate the baseline when all ENaC channels in the patch are closed. The outside-out configuration was chosen to verify amiloride-sensitivity of channel activity.
|
|
Figure 6. Selectivity of αS589 mutants to organic cations. (A) I-V relationship of amiloride-sensitive Na+ and NH4+ currents in Xenopus oocytes expressing either ENaC wt or the αS589D mutant. Currents were measured during 500- ms voltage-steps from a holding potential of â100 mV to test potentials of â160 to +60 mV in 20-mV increments. Currents measured in the presence of 5 μM amiloride were subtracted from currents measured in the absence of amiloride. Amiloride-sensitive currents were in each oocyte normalized to the amiloride-sensitive Na+ current at â100 mV. (B) Macroscopic amiloride-sensitive currents were measured at â100 mV in oocytes superfused with Na+, NH4+, MA, DMA, TriMA, or guanidine external solution (materials and methods). Amiloride-sensitive currents are normalized to INa, and presented as mean ± SEM (n = 2â20 per condition). Positive current values correspond to outward currents.
|
|
Figure 7. Graphical summary of the main results with inorganic and organic cations. Bar graph summarizing the amiloride-sensitive current ratios IX/INa for all ions in all αS589 mutants tested. On the axis âαS589 substitutions,â the different mutants are labeled by the single-letter code of the substituting amino acid. The ions are represented in the order of their size (diameter derived from Pauling radius for alkali metal cations and minimum diameter [Sun et al. 1997] for organic cations). The minimum diameter is as follows (in Ã
): 3.6 for NH4+, 3.8 for MA, 4.6 for DMA, 6.0 for TriMA, and 5.8 for guanidine.
|
|
Figure 8. Model illustrating the mechanism by which mutations of αS589 may enlarge the channel pore at the selectivity filter. Residue αS589 and analogues in the β and γ subunit arranged around the channel pore are shown in a cross-section of the pore seen from the top for wt ENaC (left) and the mutant αS589N (right). Each residue is represented by its backbone part in gray, with the carbonyl oxygen shown as a hatched circle pointing toward the pore lumen and the side chain identified by the black edge. The side chains are located at the interface between the subunits. Increasing the size of the side chain of the two αS589 residues adds extra volume at the subunit–subunit interface and makes the pore wider.
|