Click here to close
Hello! We notice that you are using Internet Explorer, which is not supported by Xenbase and may cause the site to display incorrectly.
We suggest using a current version of Chrome,
FireFox, or Safari.
???displayArticle.abstract???
The beta-amyloid precursor protein APP is generally accepted to be directly or indirectly involved in the neurodegenerative disorder Alzheimer's disease and has been extensively studied in a number of mammalian systems. Its normal function remains, however, still elusive. We have used the clawed toad, Xenopus laevis, to study the first non-mammalian APP protein. Screening of a Xenopus laevis intermediate pituitary cDNA library led to the identification of two structurally different APP gene transcripts presumably resulting from duplicated genes. Sequence comparison between the Xenopus and human APP proteins revealed at the amino acid sequence level an identity of 92%. Both Xenopus genes were found to be expressed in all tissues examined, but their expression levels differed among tissues. In addition, as in mammals, alternative splicing was observed and the alternatively spliced APP(695) mRNA variant was expressed predominantly in the brain and the oocyte, while the longer isoforms (APP(751-770)) were predominant in the other tissues examined. Of special interest is the finding that, like human but unlike mouse or rat beta-amyloid (Abeta), the Xenopus peptide contains all amino acid residues implicated in amyloidogenesis. We conclude that Xenopus APP mRNA is ubiquitously expressed and alternatively spliced, and that the highly conserved Xenopus APP protein contains an Abeta peptide with amyloidogenic potency.
Fig. 1. Alignment of Xenopus laevis cDNA sequences encoding the APP proteins A and B with the previously published Xenopus laevis APP–cDNA-sequence ( [36]; EMBL #S52417). Conserved nucleotides are boxed. The arrow indicates the translational start codon and the asterisk denotes the translational termination codon (Accession #AJ298150 corresponds to X-APP-A and #AJ298151 to X-APP-B).
Fig. 2. Comparison of the amino acid sequences of the Xenopus laevis (A and B), human, rat and mouse APP proteins. The one-letter amino acid notation is used and conserved amino acids are boxed. The signal peptide is represented by a dashed line and the transmembrane domain by a bold line; dots represent the conserved cysteines and asterisks indicate potential N-linked glycosylation sites. The human (#Y00264), rat (#X07648) and mouse (#X59379) APP sequences were obtained from the EMBL database.
Fig. 3. Alignment of the amino acid sequences of human, dog, polar bear, rabbit, cow, sheep, pig, guinea pig, mouse, rat, Xenopus-A and Xenopus-B β-amyloid. Amino acid residues that differ from the human sequence are bold and underlined. The numbering refers to the human APP695 sequence [26]. Residues implicated in amyloidogenesis are indicated with asterisks.
Fig. 4. RNase protection analysis of APP mRNA in Xenopus tissues. Radiolabeled anti-sense RNA (nt 1â591 of X-APP-A) was transcribed from Xenopus APPâcDNA and hybridized to 5 μg of total RNA extracted from brain (Br), heart (He), lung (Lu), liver (Li), kidney (Ki), spleen (Sp), muscle (Mu), oocyte (Oo), ovary (Ov), testis (Te) and intestine (In). Following RNase treatment, samples were loaded onto a denaturing polyacrylamide gel and the dried gel was analyzed with a phosphor-imager (BioRad). Undigested probe (C1) or probe hybridized to 20 μg of yeast tRNA prior to digestion (C2) served as the controls for the specificity of the protected fragments.
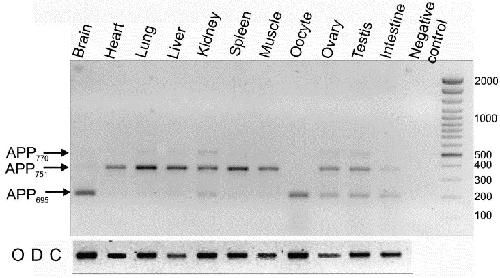
Fig. 5. APP mRNA splicing variants in Xenopus laevis tissues. RT–PCR analysis of alternatively spliced variants of APP mRNA in Xenopus laevis tissues. The PCR band of 215 nt lacks the APP coding region of the KPI and the OX-2 domains, the band of 383 nt contains only the KPI region and the band of 440 nt contains both the KPI and the OX-2 regions. The tissues examined were brain (Br), heart (He), lung (Lu), liver (Li), kidney (Ki), spleen (Sp), muscle (Mu), oocyte (Oo), ovary (Ov), testis (Te) and intestine (In; duodenum).