|
Figure 1. Identification of Cep135 in the mammalian centrosome. CHO cells at interphase (A) and mitosis (B) are double immunostained with anti-tubulin (green) and anti-Cep135 (yellow) antibodies. (C) Proteins prepared from isolated mitotic spindles (lanes 1 and 1′) and whole cell lysates (lanes 2 and 2′) were run on 7.5% SDS-PAGE and immunoblotted with polyclonal anti-Cep135 bacterial fusion protein antibodies (lanes 1′ and 2′). An arrowhead indicates the position of the 135-kD band recognized by the anti-Cep135 antibody. The positions of α- and β-tubulin are also indicated by arrows. Bars: (A) 10 μm; (B) 5 μm.
|
|
Figure 2. Localization of Cep135 at the centrosome in nocodazole-treated CHO cells (A, A′, B, and B′), mouse embryonic fibroblasts lacking p53 (C and C′), frog fibroblasts (D), and sea urchin eggs (E). Cells were double stained with anti-Cep135 (A–C) and either anti–β-tubulin (A'), anti–γ-tubulin (B'), or anti-pericentrin (C') antibodies. Cep135 is present in the centrosome in a microtubule-independent manner. Interphase centrosomes and spindle poles in nonmammalian cells also contain the Cep135 antigen (D and E). An arrow indicates mitotic chromosomes aligned at the metaphase plate. Bars: (A–D) 10 μm; (E) 50 μm.
|
|
Figure 3. Immunoelectron microscopy of Cep135 in interphase CHO cells (A) and isolated mitotic spindles (B). 6-nm gold-conjugated Cep135 antibodies were detected around the centrioles (arrowheads) and in the amorphous material (arrows) in the centrosome located next to the nucleus (N). At the pole, in isolated mitotic spindles, Cep135 is present in close association with the centriole, both outside (C) and inside (D and E) the centriole wall. Bars: (A and B) 1 μm; (C–E) 0.2 μm.
|
|
Figure 4. Schematic diagram of the secondary structure of Cep135 (A) and the presence of two types of Cep135 transcripts in CHO cells (B). (A) The protein consists of 1,145-amino acid residues in which extensive α-helical domains (shaded blocks) span almost the continuous length of polypeptide chain. The positions of two leucine zipper consensus motifs and three putative tyrosine phosphorylation motifs are indicated by black boxes and arrows, respectively. Numbers indicate the position of amino acids. (B) 10 cDNA clones isolated by screening of a CHO expression library are classified into two categories. All clones share the overlapping restriction maps and identical Cep135 coding sequence. Indicated are the start and stop codons as well as some restriction sites included in the sequences.
|
|
Figure 5. A map of deletion constructs created for identification of the centrosomal target domain in Cep135. Numbers indicate the positions of amino acids. The results of the immunolocalization of HA-tagged polypeptides at the centrosome and in the cytoplasm are summarized at the right.
|
|
Figure 6. Immunolocalization of truncated Cep135 polypeptides expressed in CHO cells by transient transfection. The same cells are seen by double immunostaining with anti-HA (left side of each pair) and with either anti–γ-tubulin, anti-Cep135, or anti-pericentrin antibodies as indicated in each frame. Although the sequences encoded by Δ1, Δ11, Δ5, and Δ13 are not found in the centrosome, other clones produce proteins recruited to the centrosome. Note the NH2-terminal Δ1 and Δ11 proteins in the cytoplasm are not recognized by the Cep135 antibody raised against the COOH-terminal #0 sequence. Bar, 10 μm.
|
|
Figure 7. Overexpression of Cep135 polypeptides causes the formation of cytoplasmic foci. (A–E) Dots of various size and number were detected in cells overexpresssing different domains of the Cep135 sequence. The foci containing the COOH-terminal domain of Cep135 (#0, #1, and Δ14) show smooth and well-rounded surfaces. Arrows indicate the position of HA-tagged Δ3 and Δ14 that were successfully targeted to the centrosome as determined by γ-tubulin staining. (F–I′) Cytoplasmic dots containing the full-coding sequence of GFP-labeled Cep135 nucleate microtubules in vivo upon release from nocodazole treatment. Cells expressing GFP–Cep135 were treated with nocodazole for 2 h to depolymerize in situ microtubules. 5–15 min after removing nocodazole, cells were fixed, stained with anti-β-tubulin antibodies, and visualized for GFP–Cep135 (F', G', and H'). In addition to Cep135 (F), the dots are associated with pericentrin (G) and γ-tubulin (H). I and I′ show the control cell expressing a GFP leader sequence only. Bars, 10 μm.
|
|
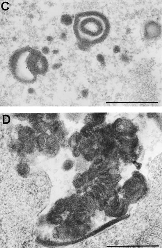
Figure 8. Induction of fibrous aggregates in the centrosome (A and B) and the cytoplasm (C and D). (A) A cell expressing GFP-tagged Δ3 includes a centrosome that appears as a large electron-dense cloud (oval area within inset at lower magnification) containing characteristic whorl-like particles (A, arrowheads). (B) Similar whorl-like particles of various shapes and sizes (arrowheads; B' and B” at higher magnification) and 6-nm fibers (small arrows) are seen in the centriole (large arrow)-containing centrosome. (C and D) The cytoplasmic dots are composed of electron-dense, curved aggregates. Similar to the whorls seen in A and B, the filamentous aggregates are composed of dense, curved parallel lines arranged with a periodicity of 6 nm. Bars: (A and B) 0.5 μm; (B' and B”) 0.1 μm; (C and D) 0.5 μm.
|
|
Figure 9. Abnormal mitotic spindles induced in cells overexpressing HA-tagged Δ3 polypeptides of Cep135. The same cells are seen by fluorescence microscopy after double immunostaining with anti-tubulin and anti-HA antibodies as indicated in each figure. A′–C″ and F1–F2′ represent the images at different focal planes. D″ shows a double image of phase-contrast and fluorescence microscopy. Exogenous Δ3 Cep135 causes the formation of extra dots to which spindle microtubules are frequently attached (C, E, and F). Some dots are also labeled by anti–β-tubulin staining (D). Quantitative analysis of normal and abnormal spindles is summarized in the table. Note that the nocodazole treatment necessary to synchronize M phase cells resulted in the production of more abnormal cells (17–23%) than nontreated controls, which generally include less than 2–5% abnormal cells (Matuliene et al., 1999). Bar, 10 μm.
|
|
Figure 10. Suppression of Cep135 expression by RNAi. (A) Immunoblotting analysis: equal amounts of proteins prepared from CHO cells at 27 (lane 2), 48 (lane 3), and 83 h (lanes 1 and 4) after mock (lane 1), single (RNAi-I; lanes 2 and 3), and double (RNAi-II; lane 4) siRNA transfections were run on a 7.5% protein gel. Arrow indicates the position of Cep135 bands. (B) Immunofluorescence staining: mock- (a) and siRNA-treated (b–d) CHO cells were fixed at 72 (b and c) and 96 h (a and d) after transfection, and immunostained with Cep135; single (RNAi-I; b), double (RNAi-II; c), and triple (RNAi-III; d) RNAi. To correctly represent the amount of endogenous Cep135 in all cells, both mock- and siRNA-transfected cells were fixed and immunostained in an identical manner, and all images were captured and printed under identical conditions. Nontransfected cells in RNAi-I formed a colony as indicated by arrowheads (b), and arrows in RNAi-III indicate the position of weakly stained centrosomes (d). Bar, 50 μm. (C) Frequency histogram of Cep135 immunofluorescence intensity at the centrosome in mock- (Mock) and siRNA-transfected cells (RNAi-I, -II, and -III). Cells were classified into four categories: 100–75, 75–50, 50–25, and 25–0% of the Cep135 fluorescence intensity at the centrosome relative to the mean value of the centrosomal Cep135 fluorescence mock cells.
|
|
Figure 11. RNAi causes abnormal organization of interphase and mitotic microtubules in CHO cells. The same cells were stained with anti-Cep135 (A–F), anti–α-tubulin (A'–F') antibodies, and DAPI (A”–F”). D” shows a double image of phase-contrast and fluorescence microscopy. siRNA-transfected cells tended to lose the microtubule focal point during interphase (B'). Abnormal spindles in monopolar (C–C″ and E–E″) and multipolar (C–C″ and D–D″) orientation were frequently seen in mitotic cells. (F–F”) Cep135 was still weakly detected at each pole (arrows), but central spindle microtubules were severely disorganized. Tables summarize normal and abnormal microtubule patterns scored in interphase (RNAi-II and RNAi-III) and mitotic (RNAi-I + RNAi-II) cells. Bars: (A–B″) 50 μm; (C–F″) 10 μm.
|