Click here to close
Hello! We notice that you are using Internet Explorer, which is not supported by Xenbase and may cause the site to display incorrectly.
We suggest using a current version of Chrome,
FireFox, or Safari.
J Biol Chem
2002 May 17;27720:17836-44. doi: 10.1074/jbc.M111795200.
Show Gene links
Show Anatomy links
FOR, a novel orphan nuclear receptor related to farnesoid X receptor.
Seo YW
,
Sanyal S
,
Kim HJ
,
Won DH
,
An JY
,
Amano T
,
Zavacki AM
,
Kwon HB
,
Kim WS
,
Kang H
,
Moore DD
,
Choi HS
.
???displayArticle.abstract???
We have identified and characterized a new amphibian orphan member of the nuclear receptor superfamily and termed it FOR1 (farnesoid X receptor (FXR)-like Orphan Receptor) because it shares the highest amino acid identity with the mammalian FXR. We also identified a variant of FOR1, called FOR2, which has 15 additional C-terminal amino acids. Both variants include an unusual insertion of 33 amino acids in the helix 7 region of the canonical ligand binding domain sequence, suggesting a unique structure for FOR. Northern blot analysis demonstrates that the FOR gene is highly expressed in adult and tadpoleliver, kidney, and tail bud stage of the embryo. Detailed expression analysis using in situ hybridization indicates that FOR expression is first detectable at stage 30/31 in the presumptive liver region lasting until stage 41 with a peak level evident at stage 35/36. FOR forms heterodimeric complexes with retinoid X receptor (RXR) as demonstrated by biochemical and mammalian two-hybrid approaches. Gel mobility shift assays demonstrate that FORs form specific DNA-protein complexes on an FXR binding element consisting of an inverted repeat DNA element with 1 nucleotide spacing (IR1) from the phospholipid transfer protein gene promoter. Finally, although FORs do not exhibit constitutive transcriptional activity, frog gallbladder extract significantly augments the transcriptional activities of FORs.
FIG. 1. FOR is a novel member of nuclear receptor superfamily. A, deduced amino acid sequences of FOR1 (GenBankTM accession number
AF456451) and FOR2 (GenBankTM accession number AF456452) were aligned using MacVector software from Macintosh. The DBD is underlined,
and the numbers represent corresponding amino acids. B, comparison of amino acid identities between FOR and related members of the nuclear
receptor superfamily. The amino acid identities are indicated as percentages. The numbers represent position of amino acids corresponding to the
A/B, C, or DEF domains. C, sequence alignment of the helix 7 motif in the LBD of FOR with related nuclear receptors. The unusual addition of
amino acids in the helix 7 motif is characterized in SHP, DAX-1, and FOR. Numbers represent respective amino acid positions. D, genomic
Southern blot analysis of the FOR gene. 20 g of Xenopus genomic DNA was digested with indicated restriction enzymes and hybridized with
32P-labeled FOR1 cDNA. E, deduced amino acid sequences of the A/B domain, DBD, or part of the LBDs of FOR, rFXR, and cFXR (GenBankTM
accession number AF456453) were aligned as indicated. The hinge region is marked by a gray bar. Helices 1 and 2 are underlined. Dark shading
represents identical amino acids, and light shading represents similar amino acids.
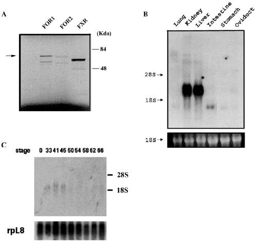
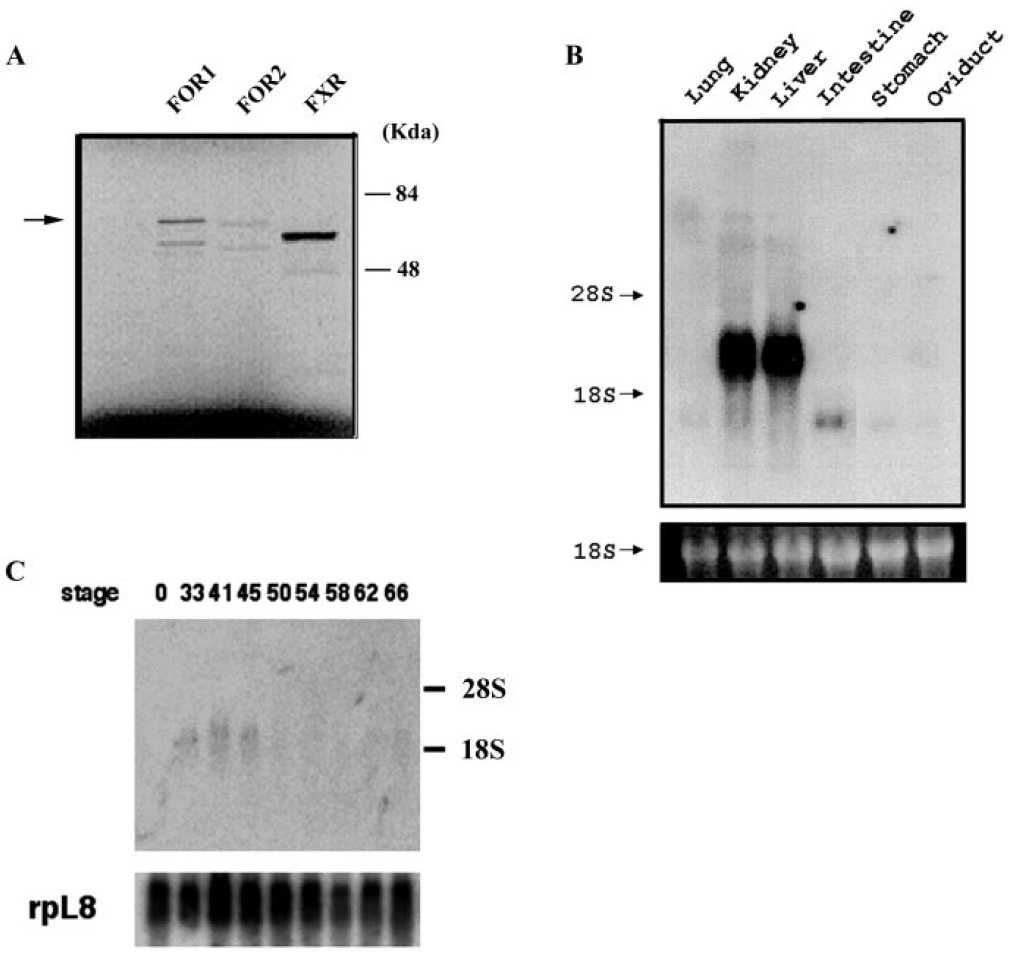
FIG. 2. Expression of FOR. A, SDSPAGE
analysis of in vitro transcribed and
translated FOR1 and FOR2. FOR1 and
FOR2 were transcribed and translated in
the presence of [35S]methionine in vitro,
and resolved by 12% PAGE. Murine FXR
was used as a positive control. Numbers
on the right indicate molecular mass in
kilodaltons. The positions of the protein
bands are indicated by an arrow. B, expression
of FOR in adult Xenopus tissues.
A Northern blot containing 30 g of total
RNA from the indicated Xenopus tissues
was hybridized with FOR1 cDNA
and following washing was autoradiographed.
Equal loading of total RNA in
each lane was demonstrated with 18 S
ribosomal RNA. C, expression of FOR
mRNA in developmental stages. 10 g of
total RNA was isolated from the indicated
developmental stages, and Northern blot
analysis was performed using the FOR1
cDNA as a probe. As an RNA loading control,
the blot was reprobed with the cDNA
for the ribosomal protein L8 (rpL8).
FIG. 3. The expression profiles of FOR in the developing Xenopus
embryos. FOR expression was examined by whole mount in situ
hybridization using digoxigenin-labeled antisense riboprobe. The expression
of FOR is limited to the presumptive liver region indicated by
the white arrowhead. Panels A, C, and E are lateral views of developing
embryos and B, D, and F are ventral views, respectively. A and B,
embryos at stage 30 (mid-tail bud stage). The FOR expression begins to
be detected from this stage in the presumptive liver region (indicated by
the white arrowhead). C and D, embryo at stage 35. The FOR expression
in the embryo reaches a peak level at this stage. Note more intense
staining in the broader expression domain compared with the embryos
at stage 30. E and F, embryos at stage 41. The FOR expression declines
remarkably at this stage.
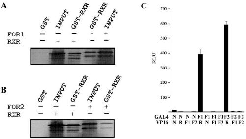
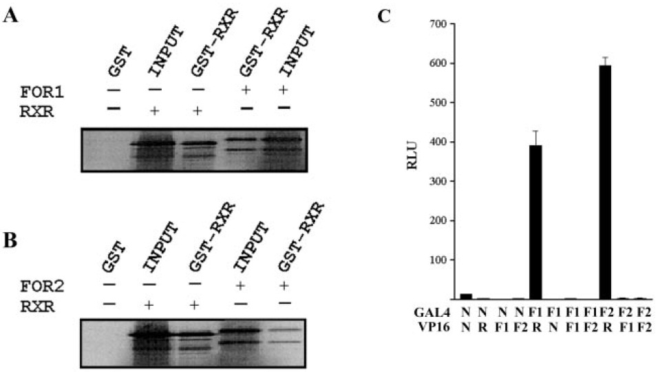
FIG. 4. FOR interacts with RXR both in vitro and in vivo. A and B, GST-pull-down assay of FOR1 and FOR2. Equal amounts of in vitro
translated, [35S]-methionine labeled FOR1 and FOR2 were incubated with either GST or GST RXR fusion protein. In vitro translated RXR was
used as a positive control. The complex of GST-FOR1 and FOR2 was extensively washed, eluted with reduced glutathione, and resolved by
SDS-PAGE. Specific bands corresponding to FOR1 and FOR2 were visualized by autoradiography. C, mammalian two-hybrid assay of FOR1 and
FOR2. CV-1 cells were transiently cotransfected with a luciferase reporter construct driven by four copies of GAL4 upstream activating sequence
and CMV promoter-driven expression vectors encoding the yeast GAL4-DBD alone, GAL4-FOR1 and FOR2-LBD, herpesvirus VP16 transactivation
domain alone, or the VP16 activation domain linked to the amino-terminal end of RXR, FOR1 LBD, and FOR2 LBD, as indicated. 48 h post
transfection, cells were lysed and luciferase activity was measured and normalized against -galactosidase activity. The result shown is the mean
of three independent experiments. F1, FOR1; F2, FOR2; R, RXR; N; empty vector.
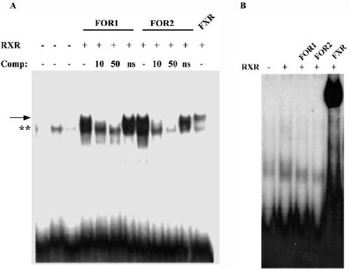
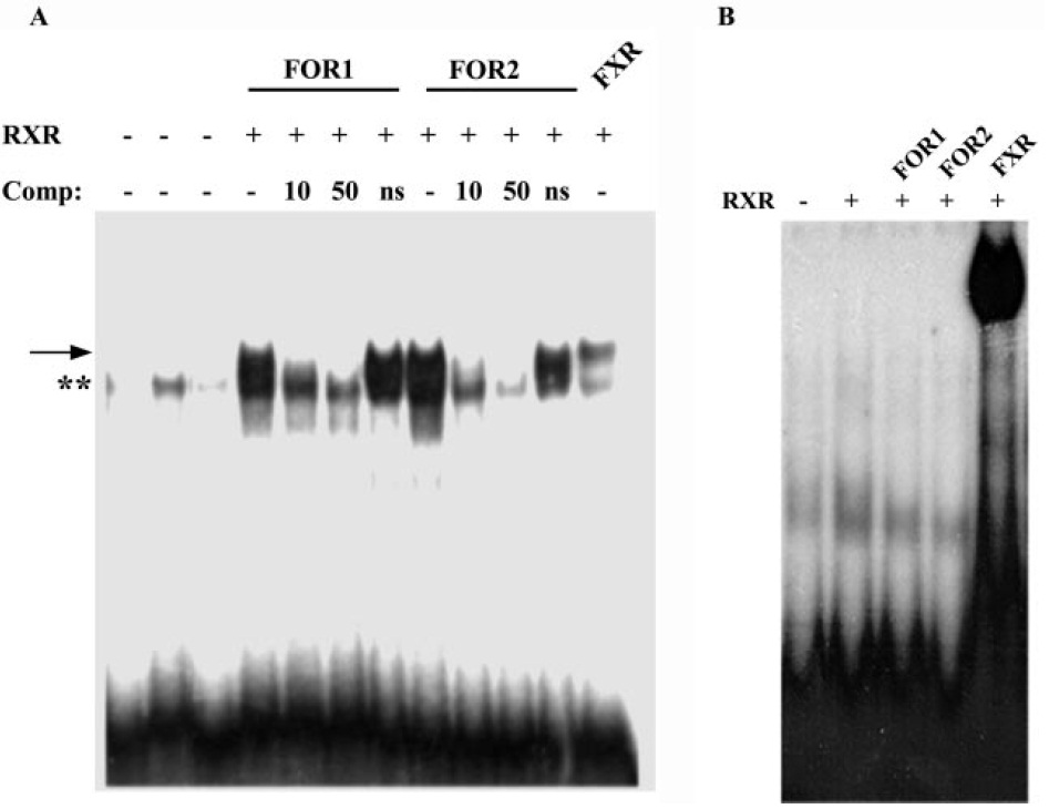
FIG. 5. FORs specifically bind IR1 element from PLTP gene promoter. End-labeled oligonucleotides corresponding to IR1 from PLTP (A) gene promoter or EcRE (B) of the hsp27 promoter were incubated with in vitro transcribed and translated FOR1, FOR2, and RXR in various combinations as indicated in the Fig. 10- or 50-fold molar excess of corresponding specific unlabeled oligonucleotides or unrelated oligonucleotides (ns) were included in the reactions as indicated. The DNA-protein complexes were resolved by 5% non-denaturing PAGE and analyzed by autoradiography.
FIG. 6. Transactivation of FOR genes induced by extract of bullfrog gallbladders. A, GAL4 chimeric FOR1 was activated by extract of
gallbladders on 293 cells. The 293 cells were transiently transfected with indicated receptors and reporter plasmids and treated with a 10 g/ml
1-butanol-soluble extract of bullfrog gallbladders or vehicle alone in triplicate. Luciferase activity was normalized to the internal control
( -galactosidase) and plotted as -fold induction relative to untreated cells. Each experiment was repeated more than three times. B and C,
dose-response profiles on the 293 cells transfected with indicated receptor and reporter that is regulated either by GAL4 (B) or by FOR response
element (PLTP, C). D, following cotransfection of GAL4-FOR2 with GAS Luc, the cells were treated with indicated fractions (40 g/ml) eluted from
a silica open column with methyl chloride and methanol (3:1, v/v). The fractions dissolved in Me2SO were tested in triplicate, and the experiments
were performed at least three times. Single and double asterisks indicate the respective p values as determined by Studentâs one-tailed unpaired
t test. GAL4N, empty vector containing GAL4 DBD only; L-hRXR , human RXR LBD; C, Me2SO vehicle alone.